设为首页 加为收藏 联系我们
当前时间:
咨询热线:400-1010-468  
http://www.shbzsw.com.cn  
E-mail:SHBZSW@163.COM  
地址:上海市世贸大厦
行业新闻 您的当前位置:首页 -> 新闻中心 -> 行业新闻  
 
【本正干细胞】抗衰老,驻颜有术
发布时间:2019-06-12 文章来源:本站  浏览次数:2437

  生命是一个由发育、成熟,然后逐渐走向衰老的过程,衰老是人类生命发展的自然规律,在整个生命活动中,机体细胞时刻处在新生细胞替代衰老退化细胞的过程中,即细胞更新。

       当细胞更新的速度小于衰老速度时,就产生更新不足,新鲜的细胞补充不足,细胞无法被替换,一部分成体干细胞在基因的调控下进入休眠状态,细胞动态失衡,体内衰老的细胞越积越多,细胞总体发生老化,各个组织器官得不到及时的修复,生理功能就会逐渐衰退,表现为全身各个系统功能下降,代谢缓慢。

       干细胞老化导致人体衰老这一自然现象,靠自身机体是无法改变的。干细胞的数量减少,自我更新和分化的能力下降,提示干细胞生理性衰老可能是人体衰老的重要原因之一。

        衰老程度可通过外观、血液生化指标、脏器相关指标、行为学及分子生物学等多方面进行检测。如反映抗氧化能力的血清超氧化物歧化酶(SOD)活力、谷胱甘肽过氧化物酶(GSH—PX)活力,丙二醛含量等。

       SOD是机体内重要抗氧化酶之一,其活力和含量反映了机体清除氧自由基的能力。丙二醛能引起突变使细胞结构和功能被破坏,以此反映体内自由基产生和老化程度。血管内皮生长因子(VEGF)促进新生血管形成、抑制丙二醛生成并增强SOD活性而对抗衰老。所有这些因子的改变均由于其特定的功能细胞老化、功能下降,及没有足够的干细胞对其进行及时更新所致。

       因此,抗衰老的策略也应考虑从整体水平改善功能,设法增加干细胞的数量,提高干细胞的自我更新和分化能力,活化体内休眠的干细胞是有效的方法。

       为此,通过干细胞移植抗衰老的治疗,可以提高整体的细胞再生能力通过细胞再生、繁殖恢复组织和器官的正常生理功能,才能从根本上抑制衰老,延长生命时间,真正达到抗衰老的目的。

       从分化功能上讲,移植越早期的干细胞,细胞分化能力就越强,更新速度就越快,因而从根本上改变人体内细胞的总体衰老。

 干细胞抗衰老的临床疗效和安全性

       专家们在间充质干细胞抗衰老作用的动物实验中发现,干细胞移植组存活日期明显长于对照组,移植3个月后评价心功能的指标,心脾质量指数,器官组织学衰老程度评分结果以及血生化指标皆优于对照组,证实移植干细胞能有效地延缓衰老进程。

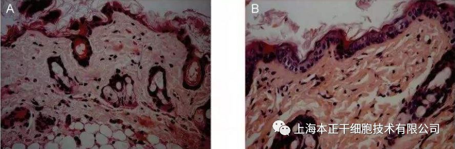
干细胞移植后各脏器呈现较之前状态,具体表现在以下几个方面(如图)。

超声心动图显示对照组左室舒张期容积低于移植组

移植后对照组和移植组肺脏组织学

对比未移植干细胞的对照组肺气肿改变明显:气腔扩大,正常肺泡结构破坏

       对照组皮肤表皮各层界限不清楚,真皮层成纤维细胞数量减少,胶原纤维变细,毛囊数明显减少,皮下脂肪层变薄;干细胞移植组表皮组织结构相对较完整,细胞分层较清晰。

      通过整体水平、器官水平、组织细胞水平、蛋白质水平、分子水平,以及器官结构和功能方面的检测、数据分析,显示与对照组相比,间充质干细胞移植可以使存活天数延长,抗氧化能力以及免疫功能得到明显提高,延缓了各脏器组织学、结构和功能衰老进程,提示间充质干细胞移植有抗衰老作用。

       2019年3月份上海本正生物治疗中心接受干细胞治疗抗衰老50例,其中女38例,男12例,年龄在40~80岁,无慢性疾病史,采用静脉滴注方式移植多能干细胞1.0×108。50例患者,术中无一例患者有不良反应,术后发热患者3例,体温最高达39℃嘱患者多饮水,或口服对乙酰氨基酸症状可自行好转,自觉周身不适2例,头痛1例,无需特殊处理,24小时后可自行缓解。

术后随访患者:

①外在变化:术后2~3天患者皮肤变光滑、润泽,肤色变白;1月左右细小皱纹减轻、变浅,面部色斑变淡;3月后,头发可出现增多、白转黑现象,皮肤开始变得紧致以及肌肉变得紧实,女性乳房、臀部变得紧致富有弹性。

②免疫力增强,原来易感冒的人不易再感冒。

③睡眠改善,不容易疲劳,精力充沛,记忆力好转。

④肌肉变得有力,腰膝酸软疼痛症状减轻。

⑤食欲好转,腹胀、便秘现象减轻甚至消失,肠炎症状好转。

⑥男性功能改善,前列腺肥大增生减轻好转,女性卵巢早衰患者月经的恢复,更年期症状的改善,女性乳房及臀部变得紧致有弹性,乳晕由黑转红现象。

⑦代谢率提高,减肥不再困难,体态发生变化,肥胖的人身材变得苗条,脂肪重新分布,机体年轻态的恢复。

⑧全面提高人体功能,改善人体退变现状,使机体保持青春活力和年轻状态。

⑨3月后复查血清超氧化物歧化酶(SOD)活力测定均明显升高。

       随着现代科学技术的发展,尤其是干细胞研究的不断深入,通过输注干细胞抗衰老,是目前最为有效的抗衰老治疗手段。1998年,美国《科学》杂志将干细胞的研究成果列在十大科学进展的首位。干细胞抗衰老是再生医学中最核心的医疗技术,它最显著的作用就是补充种子细胞替代衰老细胞。

上海本正干细胞技术有限公司提供的干细胞是从脐带、胎盘中提取的一种修复器官机理的未完全分化的原始细胞,具有自我更新、多项分化和高度繁殖的能力,医学上称为“万能细胞”,它是形成人体各种组织器官的起源细胞。干细胞对临床上一些疑难疾病的治疗如:脑瘫、老年痴呆、脑萎缩、帕金森病、中风、肝硬化、糖尿病、红斑狼疮、股骨头坏死、软骨和关节损伤、心脏和脊髓损伤等,取得显著效果,它拥有更加鲜活细胞能量,可以快速、有效进入体内,分泌多种有益细胞因子,调节体内微环境,激活干细胞再生能力,重启时光之门,追溯青春绽放源头,实现对人体衰老状态减缓,同时有效改善身体亚健康以及预防肿瘤发生。


上一篇: 【本正干细胞】拯救糖尿病患者
下一篇: 【本正干细胞】让您远离痛风
关于我们  |  公司掠影  |  新闻中心  | 联系方式  |  在线留言
版权所有 Copyright(C)2015-2016 上海本正清源干细胞科技集团有限公司