子宫内膜是一个高度再生的组织,在月经周期中进行动态的,周期性的生长、分化、脱落和再生。子宫内膜作为胚胎发育的“土壤”其再生对胚胎的着床和妊娠的维持至关重要。
由于频繁的宫腔操作史、感染及部分药物的使用,子宫内膜损伤的发生逐渐增多,特别是子宫肌瘤剔除,子宫内膜炎或反复流产后清宫等导致的子宫内膜基底层破坏,造成子宫内膜重度损伤,再生修复困难'常引起子宫前后壁之间纤维瘢痕和粘连的形成。临床上可表现为月经减少、闭经、不孕、习惯性流产,早产和胎盘异常等。

有研究表明,近三分之二的胚胎种植失败是由于内膜因素所致,而宫腔粘连又是内膜所致不孕中最主要、最难解决的一个病因。因此,对于重度子宫内膜损伤的治疗是临床上亟待解决的问题。近年来,国内外学者研究发现干细胞在子宫内膜损伤的修复及再生方面同样具有重要作用。
1
子宫内膜损伤的病理学基础
在目前的研究中,子宫内膜损伤后,电子显微镜显示:子宫内膜腺上皮细胞和线粒体均发生肿胀,且线粒体嵴缩短,甚至出现液化泡;内质网扩张,核糖体数量减少。子宫内膜间质细胞结构疏松,大量的成纤维细胞聚集,细胞中含有丰富的细胞器,内质网数量增加,线粒体略有扩大。在基质中,大量的胶原蛋白呈弥漫性或聚集性分布,毛细血管狭窄或闭合,并且没有发现血细胞。此外,内皮细胞之间的紧密连接是很明显的。
损伤累及子宫内膜基底层时,无活性的立方柱状上皮替代腺上皮,腺体稀疏且无活性或呈囊样扩张,发生钙化或骨化的纤维组织替代间质细胞,功能层和基底层边界不清,代之以对激素无应答的单层细胞。在子宫内膜基底层严重受损的情况下,大量的中性粒细胞,单核细胞、巨噬细胞,淋巴细胞和成纤维细胞在子宫内膜损伤处聚集,引起急性或者慢性炎症,并且分泌多种炎性介质,造成子宫内膜细胞和腺体再生不活跃,并导致子宫内膜容受性降低。

2
子宫内膜损伤后病理性修复结果
频繁的宫腔操作、感染及部分药物的使用一旦损伤子宫内膜基底层,会使子宫内膜细胞和腺体再生障碍,新生血管形成受损,子宫内膜难以实现自我修复。临床上常见的薄型子宫内膜和宫腔粘连(IUA)即是子宫内膜损伤后修复障碍的结果。虽然目前对于薄型子宫内膜的评价尚无统一标准,但多数学者认为,薄型子宫内膜是指子宫内膜厚度低于胚胎着床所需的阈厚度,通常子宫内膜厚度>7mm是保证胚胎着床的前提。有研究表明,妊娠率与病人的年龄和胚胎质量关系不大,但却随着子宫内膜厚度的增加而增加。薄型子宫内膜病人通常对药物呈低反应或无反应状态,且导致子宫内膜容受性降低'影响胚胎种植,增加流产的风险,是导致不孕的重要原因之一。
子宫内膜基底层严重受损是导致(IUA)形成的主要原因,据报道超过90%的IUA是由于子宫内膜损伤后病理性修复所致。近年来,很多学者提出子宫内膜损伤后再生修复困难,可能与子宫内膜基底层的干细胞数量减少或缺失,亦或是功能受损有关。而外源性的补充干细胞或许成为子宫内膜损伤后修复的新的治疗方法。

3
干细胞在子宫内膜损伤修复中的作用
由于干细胞独特的生物学特性,使得其在再生医学和免疫治疗领域具有极大的应用前景。基于各种动物实验模型及临床实验的研究,发现干细胞在子宫内膜损伤修复方面具有重要作用,认为干细胞的功能及发挥其治疗作用可能有如下机制。
①分化为子宫内膜细胞和(或)血管细胞的能力
干细胞具有高度自我更新和多向分化潜能,在全身多种组织中广泛存在,体外培养条件下可实现扩增,并具有“横向分化”或"跨系分化”的能力,在特定条件下可分化为神经细胞、成骨细胞、软骨细胞、脂肪细胞等。干细胞因其这一特性而成为组织工程研究的首选种子细胞。对于子宫内膜损伤的病人,利用干细胞的分化潜能,能否使损伤的子宫内膜再生,从而补充缺失的子宫内膜,国内外学者做了很多研究。均发现干细胞向子宫内膜样细胞方向分化的可行性,为子宫内膜损伤后应用干细胞治疗提供实验依据。
血管新生是子宫内膜损伤后修复过程中必不可少的环节。应用细胞因子、细胞或其他物质刺激缺血组织的血管新生,提高组织的供血供氧,从而促进组织的修复,称为治疗性血管新生。基于干细胞的治疗性血管新生,首先要求移植的干细胞具有趋化和迁移能力'亦称为归巢能力,即迁移到损伤的特定区域'并且定居于此,进而发挥各种组织修复功能。

大量的实验证明,干细胞具有向损伤组织趋化和迁移的能力。直接分化为血管细胞是干细胞促进血管新生的一个机制,在组织发生损伤,尤其是缺血损伤的时候,血管结构破坏,缺血、缺氧,导致组织细胞坏死,机体自身机制启动血管新生。这个过程需要大量的内皮细胞、周细胞和血管平滑肌细胞的参与修复,当接受干细胞移植后,干细胞以其旁分泌功能,为血管新生提供血管细胞的来源,促进和加速损伤区域新生血管的形成,进而促进组织的修复。
②分泌多种生物活性分子促进损伤细胞恢复和抑制炎症的能力
很多研究者强调,干细胞具有丰富的分泌活性,其发挥作用可能是由于旁分泌因素。这些因素包括不同类型的细胞因子的分泌,如生长因子、抗炎和促炎因子、抗凋亡因子等。体外培养的干细胞可以分泌血管内皮生长因子、肝细胞生长因子、碱性成纤维细胞生长因子、胎盘生长因子、血小板衍生因子等众多与血管新生相关的细胞因子。
基于干细胞移植的实验证明,干细胞在体内也可以通过分泌并提高组织内的血管生长因子水平,利于血管新生,从而促进缺血组织的修复。移植的干细胞进入损伤部位后可通过自分泌和旁分泌作用产生细胞因子。当组织发生损伤,血管系统遭到破坏的病理条件下,干细胞对损伤组织分泌的信号如炎性因子立即做出反应,通过分泌血管活性因子,刺激内皮细胞的增殖与分化,招募血管周细胞或(和)血管平滑肌细胞。当组织损伤严重的情况下,内源性的干细胞尚不足以维持内环境的稳态,需借助于移植外源性的干细胞,发挥血管新生的作用'促进组织的修复。

③低免疫原性和具有免疫调节功能
普遍接受的干细胞的主要的免疫学特性是低免疫原性和免疫抑制能力,目前更多的关注集中到干细胞对免疫应答的调节能力。最早认识到干细胞对免疫应答的调节能力是源于发现移植的同源异种干细胞能逃避受体的免疫监视。
体现干细胞的免疫抑制能力的最好的例子,是输入同种异源的干细胞能够有效治疗对免疫抑制剂不敏感的重症急性移植物抗宿主病(GVHD)。干细胞还具有固有免疫的某些功能'如分泌多种细胞因子和生长因子,调节NK细胞、B细胞、中性粒细胞、巨噬细胞等多种免疫细胞的活性,最终诱导抗炎效应和(或)免疫耐受状态。越来越多的临床和基础实验的研究都显示出干细胞对子宫内膜修复的可行性。
干细胞在子宫内膜修复方面的作用可能是由于其强大的分化能力,也可能是由于其分泌的生物活性分子在对组织的修复再生、抗炎及免疫调节方面发挥重要作用,近年来临床上应用干细胞修复受损子宫内膜进行了很多次尝试。
干细胞修复子宫内膜取得成果,有患者相继怀孕并顺利生产
案例:干细胞治疗显奇效
印度艾哈迈达巴德(生殖医学和干细胞治疗中心)用间充质干细胞治疗了一名33岁的重度宫腔粘连患者,该患者在接受干细胞治疗前 已尝试过 刮宫 、周期性激素治疗等,效果均欠佳。
干细胞治疗方案:对患者刮宫后,在产生引导下用注射器经宫底及宫腔内注射入患者干细胞悬液,术后辅以阿司匹林和周期性激素治疗。超声检查结果显示患者术后子宫内膜再生较好,并且,患者通过体外受精(in vitro fertilization,IVF)成功怀孕,随访至妊娠第八周胎儿生长良好。

图1:宫腔镜检查-子宫内膜粘连

图2:粘连松解术后宫腔镜检查

图3:排卵前摘除宫内节育器后子宫内膜变薄

图4:子宫内膜发育良好,低阻力血管达4区。

图5:胚胎移植后孕囊、卵黄囊、胚胎极及β-HCG阳性试验

图6:可见胚胎有心脏活动

图7:3D扫描8周的胎儿

2013年,Zhao等针对反复流产导致的难治型IUA病人,常规治疗无效后,行宫腔粘连分解术,术后利用间充质干细胞联合雌激素人工周期治疗,使其成功受孕。
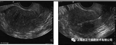
2014年,印度新德里全印度医学院妇产科和干细胞研究所的Singh博士对一位重度IUA病人进行了自体骨髓间充质干细胞治疗,病人治疗前均有继发性闭经或不孕病史,且行传统宫腔粘连分解术及雌激素治疗失败,间充质干细胞治疗后 3、6、9个月,所有病人内膜厚度较治疗前均有明显增加,其中5例病人恢复了闭经。

图1:患者移植前子宫内膜厚度

图2:同一患者移植后子宫内膜厚度
我国也有研究团队,研制出胶原支架复合自身干细胞的方法,通过将干细胞附着在胶原支架上,然后将其放到病人宫腔中,结合传统的宫腔镜的改进,实现对受损子宫内膜的功能性修复,有病人相继怀孕并顺利生产,目前这项研究仍在继续。这是干细胞在世界再生医学领域的重要成果,也是在生殖领域的成功突破。
干细胞具有广阔的临床应用前景,基于其独特的生物学功能,以干细胞为中心的再生治疗或替代治疗将为重度子宫内膜损伤的治疗带来新的希望。同时,干细胞的“干”性由于其来源及培养试剂和方法不同而不完全相同,我们可以根据不同组织来源的干细胞的一些功能差异,选择性地将其应用于临床'进而更好地为临床服务。

上海本正干细胞技术有限公司提供的干细胞是从脐带、胎盘中提取的一种修复器官机理的未完全分化的原始细胞,具有自我更新、多项分化和高度繁殖的能力,医学上称为“万能细胞”,它是形成人体各种组织器官的起源细胞。干细胞对临床上一些疑难疾病的治疗如:脑瘫、老年痴呆、脑萎缩、帕金森病、中风、肝硬化、糖尿病、红斑狼疮、股骨头坏死、软骨和关节损伤、心脏和脊髓损伤等,取得显著效果,它拥有更加鲜活细胞能量,可以快速、有效进入体内,分泌多种有益细胞因子,调节体内微环境,激活干细胞再生能力,重启时光之门,追溯青春绽放源头,实现对人体衰老状态减缓,同时有效改善身体亚健康以及预防肿瘤发生。

|