设为首页 加为收藏 联系我们
当前时间:
咨询热线:400-1010-468  
http://www.shbzsw.com.cn  
E-mail:SHBZSW@163.COM  
地址:上海市世贸大厦
行业新闻 您的当前位置:首页 -> 新闻中心 -> 行业新闻  
 
【本正干细胞】治疗膝关节软骨损伤效果显著
发布时间:2019-10-29 文章来源:本站  浏览次数:2077

      骨关节炎(Osteoarthritis,OA)是一种退行性关节疾病,在中老年群体中发病率极高,主要表现为关节疼痛及功能障碍。其发病率位列非传染性疾病排名的前10位。在中国50岁以上的人群中有8.1%的人为有症状的膝骨关节炎患者,共计3000余万人。
       间充质干细胞(MSCs)的治疗作用主要归因于其在炎症环境调控下发挥的免疫调节功能,可以用于治疗广泛的退行性和炎性疾病。如:溃疡性结肠炎、关节炎、GVHD、系统性红斑狼疮等。

1

MSCs治疗膝关节软骨损伤

MSCs治疗关节炎。下面就为您列出在人体治疗的间充质干细胞和脐带干细胞用于治疗膝关节炎的进展。

膝骨性关节炎的诊断很重要的一项是各种评分:

VAS主要评价疼痛;

WOMAC用于评价老年的膝关节炎;

Lysholm评分膝关节功能的可靠性、有效性、敏感性比较高。

膝关节炎

1

间充质干细胞治疗膝骨关节炎的初步治疗 

治疗人数: = 12人

治疗方案:关节腔内注射培养扩增的4*10^7个间充质干细胞MSC, 治疗后1年检测结果。

评价指标: VAS评分 | WOMAC评分 | 勒凯纳指数 | MRI

治疗结果:接受间充质干细胞治疗的病人,其膝关节功能指标逐渐改善,改善率在1年内接近65%至78%,软骨质量也得到改善,其中11名病人软骨缺损面积明显减少。

上图为该治疗的总结,复杂的我们就不看了,理想的治疗方案是我们基本达不到的治疗,可以看出SCs治疗方案比传统方案更加接近理想治疗方案。

2

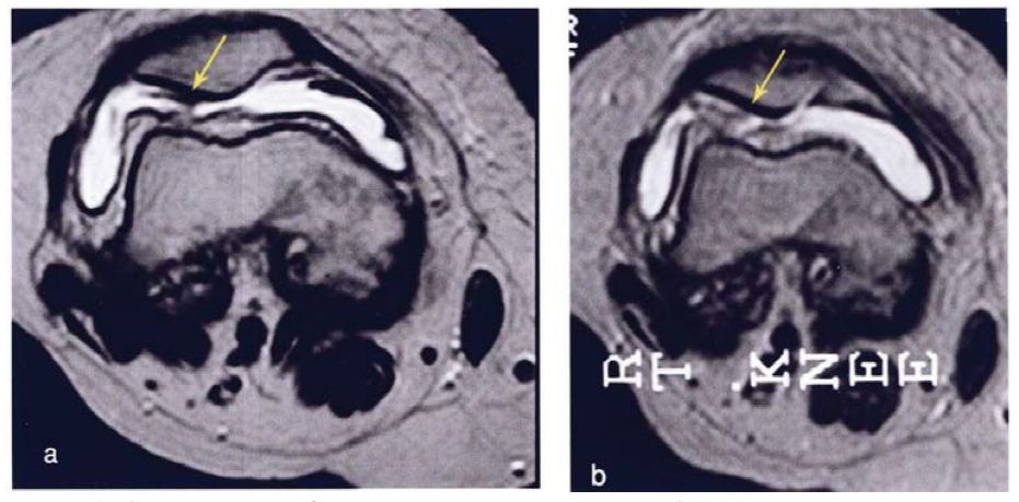
脐带干细胞治疗膝骨关节炎六例 

治疗人数: = 6人

治疗方案:关节腔内注射培养扩增的2~2.4*10^7个脐带干细胞BMSCs, 治疗后6个月,1年检测结果。

评价指标: MRI | VAS评分 | WOMAC评分 | 步行距离

治疗结果:关节内注射脐带干细胞6个月后,疼痛、功能状态和步行距离均提高。6名治疗组中3名患者在治疗前后的MRI比较可以看出,该治疗对于改善软骨厚度,修复组织延伸超过软骨下骨,以及减少软骨下骨的水肿是非常显著的。

上图a示意治疗前软骨,b为治疗后6个月软骨,箭头所示为软骨修复位置。

3

关节内注射两种不同剂量的干细胞治疗膝骨关节炎:随机对照临床治

治疗人数:= 30人

治疗方案:关节腔内注射培养扩增的1*10^7(低剂量组)、1*10^8(高剂量组)个间充质干细胞MSC, 治疗后3个月、6个月、12个月检测结果。

评价指标: 主诉 | VAS评分 | WOMAC评分 | 关节运动角度范围 | MRI

治疗结果:治疗后VAS评分得到改善,WOMAC评分在6个月之后才得到改善。治疗后12个月后软骨的体积和质量都得到提高,并且高剂量组具有更好的改善效果。

上图中可以看出不论是低剂量组或者是高剂量组,VAS评分(疼痛指标)都是下降的。

4

MSC治疗膝骨关节炎随机对照治疗 

治疗人数: = 30人

治疗方案:关节腔内注射培养扩增的4*10^7个间充质干细胞MSCs, 治疗后8天,3个月,6个月,12个月检测结果。

评价指标: MRI | VAS评分 | WOMAC评分 | 主诉

治疗结果:与对照组相比,BMSCs治疗后疼痛显著降低,膝关节功能指数显著改善,而软骨损伤显著减少。

      上图所示,颜色越红代表软骨质量越差。可以看出治疗前(左边)的软骨大部分是黄色,治疗后蓝色明显偏多,表示治疗后软骨质量增加。


5

关节内注射MSC对膝骨关节炎患者疼痛及膝关节功能的影响 

参组人数:N = 61人

治疗方案:关节腔内注射10ml的间充质干细胞BMSC, 治疗后1周,1个月,6个月检测结果。

评价指标: VAS评分 | WOMAC评分 | X射线检查

研究结果:6个月后,治疗组的膝关节疼痛显著改善,生活质量显著提高。

       上图可以看出从左往右随着治疗的变化软骨逐渐得到修复
       脐带血和胎盘等组织来源的间充质干细胞(MSC)在膝关节炎治疗中是安全和有效的。膝关节炎也因此成了干细胞走向临床应用的重要突破口之一。
      作为干细胞应用的理想种子细胞,间充质干细胞来源非常广泛。因其安全性及有效性也已有广泛的临床治疗也一直备受瞩目。

        相信不久的将来,间充质干细胞将作为药品正式进入临床应用,不仅可以改善膝关节炎患者的生存质量,整个再生医学产业也将迎来巨大的机会。    

     上海本正干细胞技术有限公司提供的干细胞是从脐带、胎盘中提取的一种修复器官机理的未完全分化的原始细胞,具有自我更新、多项分化和高度繁殖的能力,医学上称为“万能细胞”,它是形成人体各种组织器官的起源细胞。干细胞对临床上一些疑难疾病的治疗如:脑瘫、老年痴呆、脑萎缩、帕金森病、中风、肝硬化、糖尿病、红斑狼疮、股骨头坏死、软骨和关节损伤、心脏和脊髓损伤等,取得显著效果,它拥有更加鲜活细胞能量,可以快速、有效进入体内,分泌多种有益细胞因子,调节体内微环境,激活干细胞再生能力,重启时光之门,追溯青春绽放源头,实现对人体衰老状态减缓,同时有效改善身体亚健康以及预防肿瘤发生。

上一篇: 【本正干细胞】11种重大疾病的克星
下一篇: 【本正干细胞】助脑瘫患儿重获新生
关于我们  |  公司掠影  |  新闻中心  | 联系方式  |  在线留言
版权所有 Copyright(C)2015-2016 上海本正清源干细胞科技集团有限公司