设为首页 加为收藏 联系我们
当前时间:
咨询热线:400-1010-468  
http://www.shbzsw.com.cn  
E-mail:SHBZSW@163.COM  
地址:上海市世贸大厦
行业新闻 您的当前位置:首页 -> 新闻中心 -> 行业新闻  
 
【本正干细胞】治疗神经性疾病再创奇迹
发布时间:2019-12-25 文章来源:本站  浏览次数:2307
 干细胞是一种具自我复制及多向分化潜能的细胞,它可在一定条件下分化为体内几乎所有细胞类型,如神经细胞、肝细胞、心肌细胞及上皮细胞等。

   近年来,干细胞移植已在多种神经系统疾病干预中得到广泛应用,如老年痴呆症、帕金森病等。目前利用干细胞干预神经病理性疼痛也受到科研者专家的特别关注。

传统方法干预神经病理性疼痛效果不佳
   神经病理性疼痛( neuropathic pain,NP) 是由中枢或外周神经系统原发性病变或功能障碍而引起疼痛综合征,其表现为持续性自发痛和痛觉过敏等症状。由于该病异质性,临床上对神经病理性疼痛干预效果不理想。
   目前,药物和手术仍是神经病理性疼痛主要传统干预方式,但效果均不尽理想,因传统方法不能对损伤神经进行修复或促进神经再生功能。所以,专家寻找有效途径干预神经病理性疼痛显得尤为重要。

干细胞为干预神经病理性疼痛提供新途径

   干细胞可通过向受损神经及疼痛传导相关区域迁移、分化为神经元及神经胶质细胞、分泌神经营养因子、抑制胶质细胞活化、抑制炎性反应、减轻体内氧化应激及改善微循环等特征。
   干细胞诸多特性为临床上干预神经病理性疼痛提供了新思路。以下是干细胞干预神经病理性疼痛六种机制:
1. 归巢效应:干细胞通过向受损神经及痛觉传导通路发生迁移后发挥生物学作用,形成干细胞的“归巢”效应。
2. 分化为神经细胞:干细胞在“归巢”后分化为特定神经元或神经胶质细胞替代受损神经细胞,发挥神经修复作用。

3. 分泌神经营养因子:干细胞通过分泌 GDNF、NT-3、b FGF 及 NRG-1 等神经营养因子,促进受损神经元及神经胶质细胞存活与功能修复,从而缓解神经病理性疼痛。
4. 抑制神经胶质细胞活化与炎症反应:干细胞移植通过抑制小胶质细胞及星形胶质细胞活化来减少促炎因子如 IL-1β及IL-17释放,增加抗炎因子如IL-10表达,抑制iNOS活性,减轻炎症反应来缓解神经病理性疼痛。5. 抑制氧化应激反应:干细胞通过降低脊髓后角中活性氧成分( reactive ox-ygen species,ROS) 表达,可减轻神经病理性疼痛严重程度。

6. 改善微循环:干细胞通过增加毛细血管密度来改善局部血流量及缓解热痛觉过敏现象。

   20015年至2018年专家们开展58例神经系统疾病临床治疗,其中包括脊髓损伤20例,脑卒中13例,多发性硬化11例,周围神经损伤7例,运动神经元病7例。
   所有患者通过干细胞疗法干预后,结果显示:与治疗前比较治疗后血液中白细胞,中性粒细胞,淋巴细胞计数增加,肝肾功能水平均升高,但均在正常范围内。

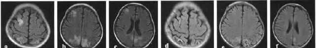
头部 MRl T2 Flare像:a-c是移植前;d-f是移植后8个月

   免疫检测未发现异常,治疗后脑脊液中白细胞和红细胞数量增加,有利于修复受损神经系统。唯一出现副反应是头痛或发热,但两者均在短期内会自动消退。

   综上所述,干细胞通过分化为神经细胞、释放神经营养因子、抑制胶质细胞活化与炎症反应、减轻氧化应激及改善微循环等多种途径有效缓解神经病理性疼痛。

   目前干细胞可治疗神经系统、循环系统、消化系统等多种疾病,在老年性痴呆、帕金森病、糖尿病足等疾病方面已显示良好效果,已被大多数学者所公认是治疗神经性疾病的好方法。

       上海本正干细胞技术有限公司提供的干细胞是从脐带、胎盘中提取的一种修复器官机理的未完全分化的原始细胞,具有自我更新、多项分化和高度繁殖的能力,医学上称为“万能细胞”,它是形成人体各种组织器官的起源细胞。干细胞对临床上一些疑难疾病的治疗如:脑瘫、老年痴呆、脑萎缩、帕金森病、中风、肝硬化、糖尿病、红斑狼疮、股骨头坏死、软骨和关节损伤、心脏和脊髓损伤等,取得显著效果,它拥有更加鲜活细胞能量,可以快速、有效进入体内,分泌多种有益细胞因子,调节体内微环境,激活干细胞再生能力,重启时光之门,追溯青春绽放源头,实现对人体衰老状态减缓,同时有效改善身体亚健康以及预防肿瘤发生。

上一篇: 【本正干细胞】放疗+免疫治疗联合抗癌效果显著
下一篇: 【本正干细胞】抗衰有效实现肌肤“逆生长”
关于我们  |  公司掠影  |  新闻中心  | 联系方式  |  在线留言
版权所有 Copyright(C)2015-2016 上海本正清源干细胞科技集团有限公司