
更年期一词大家都不陌生也坚信自己身边的女性,人生当中都会经历这一个阶段,同时也坚信更年期扛一扛,很快就会自愈事实却并非如此。

更年期它的专业名词叫做【围绝经期综合征】,顾名思义,就是在女性绝经前后性激素波动,或者减少所致的系列症状。也就是说是性激素出现问题导致的更年期,而不是更年期导致的性激素问题。女性激素也就是雌性激素,是女性主要的荷尔蒙,雌性激素主要由卵巢的卵泡细胞等分泌。调查显示,我国仅有1%的人会去医院治疗更年期,而更年期会让女性苦不堪言

其次为血管舒缩症状,表现为潮热、出汗、畏寒怕冷、失眠、心悸、头痛。还可出现精神神经症状,表现为易怒、焦虑、多疑、抑郁、自信心降低、情绪失控、记忆力减退、睡眠障碍等。同时还伴随着泌尿生殖系统的萎缩改变、骨量下降、肌肉酸痛、性功能下降等等。临床上的治疗办法通常为心理疏导、给与雌激素、孕激素等药物进行治疗。大家都知道激素治疗会增加患者患乳腺癌的风险,以及血栓及胆结石的风险。

最近一项临床治疗指出,通过回输间充质干细胞,或能使因卵巢功能早衰而生育力下降的女性重新恢复生育能力,而且推迟患者进入更年期。
(点击识别查看详情)
相关研究结果在最近于美国芝加哥召开的第100届内分泌学会年度会议上公布。该研究主要参与者伊利诺伊大学AymanAl-Hendy教授表示:目前两名参与干预的女性经过干预后,患者的血清雌激素水平在接受干细胞治疗的3个月后出现了明显升高,并且该疗效可在患者身上持续1年之久。同时研究人员发现,患者的更年期通过干细胞治疗得到缓解,干细胞治疗6个月后患者的月经得到恢复。 该研究计划招募33名参与者进行临床治疗。研究人员会定期对患者的血常规、卵巢超声成像以及更年期症状进行调查从而得出相关的研究结论。由于研究人员发现接受干预的女性其雌激素水平有明显上升,而且开始出现经期反应。研究人员表示,超声成像结果显示,接受干预的一侧卵巢相比对照侧卵巢体积有明显提升,而且患者接受干预后也没有出现明显的负面效应。

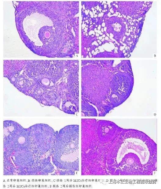
正常卵巢组织表面光滑,略带血红色,长径平均约为3mm,经过过氧化氢处理后,卵巢组织受到严重的灼伤,出现褶皱,卵巢表面变白并肿胀,长径平均约为4mm。
1周之后,MSC干预组小鼠卵巢表面光滑,白色逐渐消失,长径平均约为3mm,而损伤组卵巢表面白色也基本消失但是与正常卵巢相比体积明显变小,长径平均约为2.5mm。2周后,MSC干预组卵巢表面光滑,长径约为3.5mm,损伤组卵巢表面光滑,长径平均约为2.8mm,外观均和正常卵巢基本相同,说明损伤2周后,MSC干预组和损伤组卵巢基本恢复正常,为了进一步观察其生育力恢复情况,将各组剩余2只小鼠合笼,目前所有小鼠均已正常怀孕。一项新研究表明,患过早产卵巢机能不全(POI)的女性也许可以使用她们充质干细胞使她们的卵巢恢复生机,避免过早更年期的影响。研究人员于近日在芝加哥内分泌学会上展示了这项正在进行的ROSE临床研究的初步结果。

“两名已经完成干预的参与者的血清雌激素水平在回输干细胞后3个月就开始增加,效应至少已经维持了一年。她们的更年期症状已经被完全消除,而在将干细胞回输到卵巢后6个月,她们的月经周期就恢复了。”该研究通讯作者、伊利诺伊大学转化医学主任和妇科医学教授Ayman Al-Hendy博士说道。现在两名女性的雌激素水平已经显著增加,并开始行经,研究人员认为两名女性有可能再次怀孕。 “对接受过干预的卵巢的超声成像显示,与对照的卵巢相比,其尺寸明显增大。就目前完成干预的参与者而言,她们可以很好地耐受这些操作,没有任何副作用的迹象。” Al-Hendy说道。卵巢在50岁左右的更年期到来之前都会一直产生荷尔蒙和卵细胞,而在更年期就会停止工作。约1%的女性患有POI,甚至有些女性在青春期就会患上POI。一旦患上POI,卵巢就不再工作,女性提前进入更年期。她们不再行经、排卵以及怀孕,同时她们患更年期综合征(包括潮热、情绪波动、阴道干涩、心血管疾病、骨质疏松相关骨折以及早期认知功能衰退等)的风险增加,Al-Hendy解释道。干细胞被医学界称其为“万用细胞”,干细胞临床引用是医学发展的重要方向,也是诸多不治之症及绝症康复的崭新治疗之路。
上海本正生物工程有限公司提供的干细胞是从脐带、胎盘中提取的一种修复器官机理的未完全分化的原始细胞,具有自我更新、多项分化和高度繁殖的能力,医学上称为“万能细胞”,它是形成人体各种组织器官的起源细胞。干细胞对临床上一些疑难疾病的治疗如:脑瘫、老年痴呆、脑萎缩、帕金森病、中风、肝硬化、糖尿病、红斑狼疮、股骨头坏死、软骨和关节损伤、心脏和脊髓损伤等,取得显著效果,它拥有更加鲜活细胞能量,可以快速、有效进入体内,分泌多种有益细胞因子,调节体内微环境,激活干细胞再生能力,重启时光之门,追溯青春绽放源头,实现对人体衰老状态减缓,同时有效改善身体亚健康以及预防肿瘤发生。

|