 |
|
|
 |
咨询热线:400-1010-468 http://www.shbzsw.com.cn E-mail:SHBZSW@163.COM 地址:上海市世贸大厦
|
|
 |
|
|
|
|
| |
| 干细胞治疗股骨头坏死的新方法 |
| 发布时间:2021-05-20 文章来源:本站 浏览次数:2067 |

股骨头坏死是一种常见的多病因的骨科疾病, 因其高危害性严重影响到患者的生活质量, 已引起公众的高度重视。近年来干细胞与再生医学的认知与技术得到了高速发展和认可, 许多临床研究已经证实干细胞对早期股骨头坏死有显著疗效, 甚至可以达到早期股骨头坏死治愈的效果。
股骨头坏死 (osteonecrosis of femeral head,ONFH) 又称缺血性股骨头坏死,多发于中青年,是骨科中常见的难治性疾病,主要病因是股骨头血液供应遭到破坏,导致骨髓成分减少与骨细胞死亡,最终导致股骨头坏死塌陷,引起髋部疼痛,降低患者的生活质量。据调查显示,日本每年新增2200例股骨头坏死患者,其中与类固醇摄入过多有关高达51%,与重度酒精摄入有关达31%,确定高峰年龄患者中,男性为40岁,女性为30岁。股骨头坏死致病因素大体上分为创伤性和非创伤性,前者主要包括股骨颈骨折、髋关节脱位等,后者主要包括长期大剂量运用糖皮质激素、酗酒、链状细胞贫血、自身免疫性疾病等。其中,长期大剂量运用糖皮质激素是股骨头坏死的主要致病因素,约占50%以上。 大多数患者因其早期临床症状不典型, 时常发生漏诊误诊, 因而在早中期没有采取积极措施,错过最佳治疗时机, 最终导致股骨头变性、关节疼痛、活动受限,病情发展至末期,已难以治疗。

3-4年内可能出现股骨头塌陷或骨关节炎,最终导致严重的疼痛感和运动功能丧失,80%患者需要接受全髋关节置换术,但因其假体寿命有限,还可能造成假体松动和感染等并发症的发生,从而严重降低患者的生活质量。而无论是哪一种致病因素,股骨头坏死治疗的最终目的是改善局部血液循环、促进骨组织再生、阻止骨坏死、防止关节软骨退行性变, 从而恢复股骨头组织正常结构。
伊丽妍 ─干细胞护肤

(点击识别查看详情)
关于如何修复股骨头坏死,临床上通常采用高压氧、体外冲击波、脉冲电磁场、药物治疗、针灸等方法,但治疗效果有限,只能改善患者的症状,无法根治。因此在缺乏有效治疗的情况下, 多数患者最终只能选择股骨头假体置换。近年来随着干细胞的深入研究和再生医学的高速发展, 一些专家发现干细胞疗法能有效地改善股骨头坏死的血供问题,利用干细胞分化潜能可促进骨细胞的修复,能有效延缓股骨头坏死的速度。目前, 已有大量有关股骨头坏死与干细胞治疗的相关报道, 证实干细胞在股骨头坏死的发病及治疗中具有重要作用。因此,利用干细胞干预早期病症有望成为未来主流的治疗方式之一。 (1) 疏通发生病理改变的股骨头内血管, 改善静脉回流, 降低骨内压力恢复或改善股骨头内的血供。(2) 改善或增加股骨头坏死区周围及髋部组织的血液循环。(3) 保护血管内皮, 促进血管内皮细胞修复再生及血管新生。《中国组织工程研究》杂志发布了一项关于股骨头坏死的回顾性研究:探讨了干细胞疗法联合髓芯减压的有效性和安全性,在长达7.5年的随访中,分析股骨头塌陷率和髋关节置换率。案例一:对65例1/2期股骨头坏死受试者进行干细胞治疗和髓芯减压,7.5年随访塌陷及髋关节置换情况结果发现,非置换的有50例,其中35例无塌陷(占54%)现象,即非置换率即髋关节保存率为77%;Harris髋关节功能评分大于75分的35例,平均为(79.5±11.9)分,临床成功率70%;目测类比评分(评测疼痛感)下降为(2.3±0.5)分,疼痛感缓解明显;需要辅助负重行走的情况从60.9%下降为18%。
图中A和C:典型病例术前正位和蛙式位X射线片,
股骨头内不规则高密度影;
图B和D:典型病例术后7年正位和蛙式位X射线片,
股骨头外形规整,无塌陷。
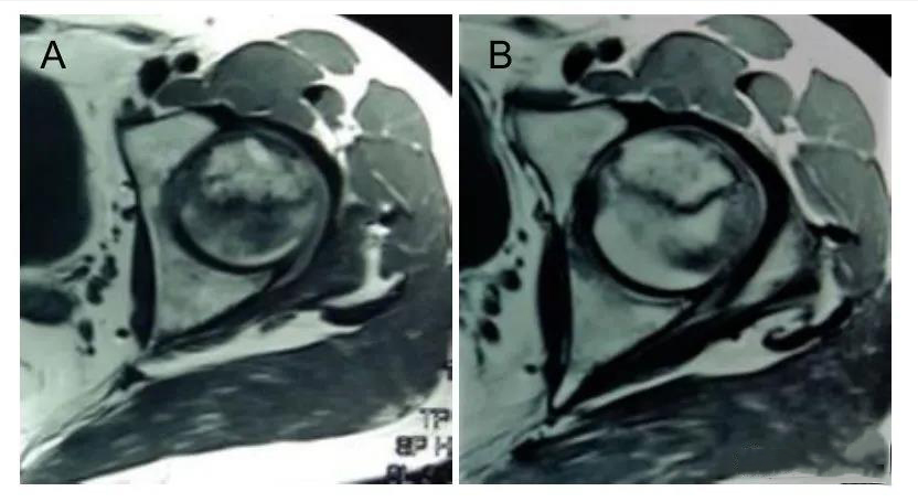
此外,MRI片上坏死面积较术前明显减小,治疗前坏死面积为(31.0±5.3)mm2,治疗后为(24.3±3.5)mm2,具有差别意义。
图A:MRI图像股骨头坏死;
图B:显示治疗后股骨头坏死面积缩小。
通过此项临床应用的中远期评估,发现干细胞疗法联合髓芯减压能有效降低塌陷率,提高临床成功率。案例二:选择2010年5月至2013年5月医疗小组对股骨头坏死病例27例, 男21例, 女6例;年龄36~55岁, 平均40.5岁进行治疗。致病原因:长期饮酒19例, 外伤后5例, 长期服用激素2例, 不明原因1例。提取培养人脐带MSCs。并对患者进行髓芯减压植骨术联合脐带MSCs治疗。27例患者治疗后12~20个月 (平均18个月) 随访, 按Harris髋关节功能评分, 疼痛消失, 能从事各种劳动, X线片或MRI显示股骨头基本正常23髋 (76.7%) ;疼痛明显减轻, 行走基本正常或者轻微跛行7髋 (23.3%) ;行走间距延长28髋 (93.3%) , 髋关节功能障碍明显好转18髋 (60%) 。干细胞还能重建骨组织中的神经回路。在股骨头坏死的早中期,骨中的交感神经纤维化情况较轻,干细胞能启动修复神经细胞功能,调控骨代谢、骨内微循环,恢复髋关节功能。此外,干细胞疗法对晚期的股骨头坏死也有缓解病症的作用。
股骨头坏死是由多病因综合导致的骨缺血性、难治性疾病。干细胞疗法对股骨头坏死的干预疗效确切, 使髋关节功能在一定程度上得以恢复,改善股骨头坏死区域的血液循环,能促进坏死区骨组织及血管的再生、缓解髋关节症状及延缓股骨头坏死进程等。而干细胞疗法联合髓芯减压植骨支撑术为股骨头坏死患者带来福音。

上海本正生物工程有限公司提供的干细胞是从脐带、胎盘中提取的一种修复器官机理的未完全分化的原始细胞,具有自我更新、多项分化和高度繁殖的能力,医学上称为“万能细胞”,它是形成人体各种组织器官的起源细胞。干细胞对临床上一些疑难疾病的治疗如:脑瘫、老年痴呆、脑萎缩、帕金森病、中风、肝硬化、糖尿病、红斑狼疮、股骨头坏死、软骨和关节损伤、心脏和脊髓损伤等,取得显著效果,它拥有更加鲜活细胞能量,可以快速、有效进入体内,分泌多种有益细胞因子,调节体内微环境,激活干细胞再生能力,重启时光之门,追溯青春绽放源头,实现对人体衰老状态减缓,同时有效改善身体亚健康以及预防肿瘤发生。

|
|
|