

同样的年龄,有的人青春依旧,有的人看似迟暮。其实,在女性与衰老这场拉锯战中,起着决定性作用的便是——卵巢。它可以说是操控着女人青春和衰老的“魔力之手”,会影响到女性皮肤、神经、免疫等400多个组织器官的青春与活力。可以说,卵巢就是女性的“青春之源”。
通常情况下,女性在50岁左右开始进入绝经期,但往往有些女性因为种种原因导致45岁前就出现停经及更年期症状,这不仅影响了女性的生育能力,更让女性提前陷入“早衰期”。而卵巢早衰的治疗,临床上也主要以补充激素暂缓症状为主,根本无法治愈,且长期的激素干扰恐怕还会引发副反应。
干细胞被喻为“万能细胞”,近年来颇为火热,成为科学家们探索难治性疾病的新选择。一项干细胞治疗年轻女性卵巢早衰的结果显示:干细胞让卵巢早衰女性恢复生育能力,且推迟了患者的更年期。值得一提的是,其中有2名已经完成治疗的参与者血清雌激素水平在回输干细胞后3个月就开始增加,效应至少维持了一年!而且她们的更年期症状完全被消除了。另外,也有6名参与者的月经周期也恢复了正常。
这对卵巢早衰患者而言,无疑是最好的结果,干细胞或许能够成为她们新的治疗选择。
卵巢老1岁,女人老10岁,可见卵巢对女性的意义尤为重大。
近年来,卵巢早衰发病越来越年轻化,对女性造成了不小的麻烦,她们怕绝经、怕衰老、怕无法怀孕……
而在日常生活中更困扰她们的是一些摆脱不了的症状:潮热、盗汗、头痛、血压不稳、心悸、骨关节疼痛、情绪变化、睡眠不佳,甚至几个月都不来月经,对于一些三四十岁还想要孩子的患者来说,更是难上加难。
这些都是更前期综合征,因为卵巢的早衰让这一切都提前了,面对这些综合征,很多女性的态度是“过了这一阵儿就好了”,而她们不知道,围绝经期的危害不仅是综合征,在她们默默忍受痛苦的时候,身体也在悄悄改变:随着体内雌激素的下降,骨量呈陡坡式快速丢失,血脂改变进而引发心脏病等。
卵巢早衰绝对不能混过去,只有积极进行医疗干预,才可以挽回年轻,但传统的方法也只能暂缓症状,甚至激素的使用还会增加乳腺癌等恶性肿瘤的患病风险。
经过多年的科学实验、临床研究以及医学报道,干细胞对多种卵巢功能退化有比较好的改善功效。
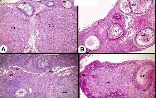
研究证实羊膜干细胞可以有效改善卵巢功能,促进卵泡的形成与发育,抑制卵巢颗粒细胞的凋亡,促进新血管生成,减少卵巢萎缩纤维化,恢复卵巢功能并明显改善生育功能。
▲ 干细胞治疗后,卵巢体积、各级卵泡数等都明显增加
干细胞有“归巢”属性,可迁移定植于损伤部位如卵巢,并能在器官内存活生长,分化为卵巢细胞,替代并修复受损的组织,同时还会分泌细胞因子抑制卵巢细胞的凋亡,从而达到改善卵巢功能,平衡激素水平的作用,改善由生殖系统衰老引起的一系列症状,实现由内而外的年轻态。
其实,不仅仅是治疗卵巢早衰,大量的研究数据和临床表现证明,对于正常女性临近更年期,或者有延缓卵巢衰老的需求都可以接受干细胞治疗。而干细胞也不止是抗衰的“新武器”,更在多种疾病治疗中得到广泛应用,比如血液系统疾病、神经系统疾病、心血管系统疾病以及代谢性疾病等等,并取得良好的临床效益。
(点击识别查看详情)
羊膜干细胞(Human Amniotic Epithelial Stem Cells, hAESCs)由胚胎发育第8-9天的囊胚期上胚层(epiblast)分化而来,其原始祖性仅次于源自内细胞团的胚胎干细胞(Embryonic Stem Cells, ESCs),仍保留ESCs的主要分子标志物,具有向三个胚层组织细胞分化的潜能。羊膜干细胞制剂( iCELL hAESCs )是本正生物依托中科院生化细胞所科研团队,联合浙江大学生命科学学院自主研发的干细胞产品,拥有20年的基础研究及临床制备经验,获得多项国内和国际专利,2019年10月通过中国食品药品检定研究院审核取得《检验报告》。
羊膜干细胞的组织来源符合伦理要求,独具的低免疫原性(异体免疫耐受性强)、无端粒酶活性、无致瘤性等特性保证了其临床使用的安全。羊膜干细胞具备强大的神经细胞营养支持、抗炎症和促进组织再生修复和免疫调节能力,在神经损伤和神经退行性疾病、组织纤维化相关疾病和免疫性疾病等多种难治性疾病的临床治疗以及抗衰保健领域拥有广阔的应用前景,是公认的再生医学的理想种子细胞。
干细胞在机体抗衰、医美整形、疾病治疗和再生医学等方面均有广阔的应用前景。今天的细胞永远比明天年轻,尽早存储年轻健康的种子细胞,随着技术的不断进步,在未来一定使我们受益匪浅!
上海本正生物工程有限公司提供的干细胞是从脐带、胎盘中提取的一种修复器官机理的未完全分化的原始细胞,具有自我更新、多项分化和高度繁殖的能力,医学上称为“万能细胞”,它是形成人体各种组织器官的起源细胞。干细胞对临床上一些疑难疾病的治疗如:脑瘫、老年痴呆、脑萎缩、帕金森病、中风、肝硬化、糖尿病、红斑狼疮、股骨头坏死、软骨和关节损伤、心脏和脊髓损伤等,取得显著效果,它拥有更加鲜活细胞能量,可以快速、有效进入体内,分泌多种有益细胞因子,调节体内微环境,激活干细胞再生能力,重启时光之门,追溯青春绽放源头,实现对人体衰老状态减缓,同时有效改善身体亚健康以及预防肿瘤发生。

|