|
随着社会压力加大,不健康生活方式,心脑血管疾病已然成为当今人类健康的“头号杀手”!而心肌梗死,是心血管疾病当中最严重的一种。据统计,我国每年约有54万人死于心梗,平均每分钟就有1人死于心梗。
心梗的发病率快,致死率之高,让它成为了严重危害人类健康的重大疾病之一。但关于它的治疗,临床上也主要以疏通阻塞冠状动脉、恢复缺血缺氧心肌功能为首要目的,再加之吸氧、卧床休息、避免情绪波动等护理方式以减轻心脏负荷。这些方法只能改善心肌缺血和心力衰竭的症状,使闭塞的血管再通,但要使受损的心脏恢复功能,目前仍无有效方法。近年来,以干细胞为核心的再生医学备受关注。据央视新闻报道,干细胞不仅可以美容、抗衰老,更是有具体的使用范围和适应症,能干预多种适应疾病。而临床上使用不同来源的间充质干细胞对心肌梗死进行干预修复的治疗也逐渐增多。一项来自《OMJ》杂志的文章证实,通过使用间充质干细胞技术可以改善恢复心肌梗死症状,使梗死面积明显减少,组织病理学检查显示心肌组织再生迹象,并证明了间充质干细胞改善心梗的安全、有效性。这对心梗患者来说,无疑是一道福音。
△ 间充质干细胞
对急性心肌梗死模型修复潜力的比较研究
心肌梗死也称心梗,是冠状动脉急性、持续性缺血缺氧所引起的心肌坏死。临床上多有剧烈而持久的胸骨后疼痛,休息及硝酸酯类药物不能完全缓解,伴有血清心肌酶活性增高及进行性心电图变化,可并发心律失常、休克或心力衰竭,常可危及生命。在我国,每年约有350万人死于心血管疾病,其中心肌梗塞及其并发症的患病人数约250万。可以说,我国的心梗人群已经非常之多。那心梗为何如此难治愈呢?首先,心梗发病快,致死率非常高。在缺乏及时救治的情况下几乎可达100%,即使相应的研究和治疗技术已经使其死亡率明显下降,但住院死亡率仍可高达15%。得到有效救治,心梗复发率通常也极高。10年内20%的人会再次出现心衰症状,预后不佳,5年的存活率小于50%,接近肺癌。其次,心梗发生后的心脏不会再长出新的心肌来修复心脏。尤其对于急性心梗患者,如果不能在4-6小时内回复血流重建,心肌细胞就会永久死亡。此时的梗死部位会形成瘢痕组织,导致血液无法正常运输,因此也就会造成缺血性损伤,导致心脏功能下降,严重影响日后生活质量。而现有的治疗方案包括介入治疗、溶栓治疗、急症外科搭桥手术等,也只是改善症状,并不能修复已经受损的心肌细胞,从根源上修复和改善心梗。临床上急需新的干预策略。近年来,随着再生医学的不断发展,干细胞在干预多种疑难疾病上展现了突出效果。越来越多的科学家也开始致力于利用干细胞来修复心梗。心梗的病理主要是因为冠状动脉斑块破裂导致血管闭塞,从而引起心肌坏死。目前,已经有研究表明:干细胞的修复作用涉及分泌细胞生长因子以及旁分泌因子,可以改善心肌梗死缺血性损伤后的伤口愈合;同时还可以调节受伤心脏的免疫反应,从而促进心脏组织的修复。在这项研究中,从脐带中分离出 MSCs,以评估其在心肌梗死(AMI)动物实验里心肌再生的功效。
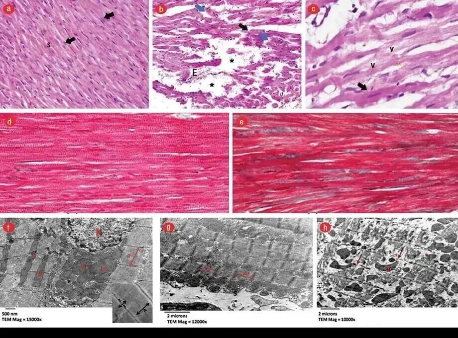
△AMI+BM-MSC和AMI+AT-MSC与 AMI+CF相比
显示出组织学变化的改善
科学家将42只雌性动物模型被分为两组:优化组和实验组。优化组进一步细分为对照组和AMI诱导组(使用ISO)。实验组细分为AMI+无细胞培养基静脉使用组、AMI+BM-MSC干细胞组和AMI+AT-MSC干细胞组,分别静脉使用各自的细胞类型。间充质干细胞诱导使用后28天,进行心电图 (ECG),并收集心脏组织样本用于组织学评估和细胞追踪。结果显示:与AMI组相比,使用间充质干细胞修复了心电图ST段、QT和QRS间期恢复所显示的心脏功能。梗死面积明显减少,组织病理学检查可见心肌组织再生征象。
△ 实时 PCR 显示 Y 染色体在雄性 BM-MSC 和 AT-MSC 使用的雌性动物心脏中表达,而在 AMI+CFM 组中未检测到
这个研究证明了两种不同来源的间充质干细胞都对心肌梗死的修复起到了一定效果,不仅缩小了心肌梗死面积,还再生了心肌组织,对促进伤口的愈合,恢复心脏功能起到关键作用。近年来,我国频发政策支持以及促进干细胞的临床研究应用。截止目前,国内共50余个干细胞项目完成备案,囊括:系统性红斑狼疮、小儿脑瘫、关节炎等多种难治疾病,其中关于心肌梗死的临床研究项目有2个。此外,干细胞修复心肌梗死的相关项目连续获得了中央财政的拨款支持。2017年,与心肌梗死相关的项目《基于干细胞与生物材料的功能性心肌组织仿生构建与心梗治疗修复研究》也获得了中央财政经费600万元的支持。2018年2个与心肌梗死相关的项目获得了共计2744万元的中央经费支持。临床上已有数据表明脐带间充质干细胞、间充质干细胞等多种来源的干细胞能够有效改善急性心肌梗死的状态,具有巨大的临床应用潜能。同时很多的临床实验结果也表明干细胞能够改善急性心梗的病症,缓解病人的痛苦。2006年,欧洲心脏病学会发布了关于利用干细胞修复心脏疾病的共识,详细阐述了干细胞用来修复急性和慢性心梗的潜在价值,推动了相关临床应用的实行。2006年,多项中心临床研究招募204名经过成功再灌注修复的急性心肌梗死患者,随机分组。干细胞修复组接受间充质干细胞来源的祖细胞的冠状动脉内灌注,4个月后显示间充质干细胞修复组的左心室射血分数显著改善。2015年,BMC Medicine发表了一项利用间充质干细胞进行急性心梗恢复的多项中心临床试验结果。试验中招募116位急性心肌梗死患者经过成功再灌注后,被随机分配至试验组与对照组,分别接受经冠状动脉间充质干细胞使用或安慰剂使用。在18个月随访中,试验组和对照组之间未见不良事件发生率和实验室检测指标,包括肿瘤、免疫学、血清学等的差异;至随访4个月时,试验组心肌存活率(PET检查)及心梗区缺血再灌注情况(SPECT检查)有较大改善;干细胞使用后18个月时,试验组左心室射血分数LVEF较对照组有较大提高;干细胞使用后18个月时,试验组左心室收缩末期容积和舒张末期容积的绝对跌幅较对照组更明显。在合适的时间窗内,使用干细胞联合常规临床相关治疗,经冠状动脉的间充质干细胞用于急性心肌梗死的患者是安全和有效的。2017年,欧洲心脏病学会在European Heart Journal杂志发表了利用干细胞改善急性心梗和心脏病的新共识,总结了过去十年内干细胞用于修复急性心梗的进展,并提出了未来的研究方向。
伊丽妍 ─干细胞护肤

(点击识别查看详情)
2011年,合作医院进行了关于超声心动图评价应用干细胞对急性心梗患者左室重构的抑制作用的研究。科研人员分析了24例患者在接受干细胞修复后的1个月、6个月的各项指标变化。结果表明,在常规治疗的同时进行使用间充质干细胞,可有效预防和限制左心室重构的发生和发展,提高局部和整体心肌收缩能力。2017年,合作医院心内科报道了利用间充质干细胞修复急性心梗的研究。研究涉及50例急性心梗患者,这些患者被随机分成对照组和试验组。结果显示,干细胞能加快修复心肌的速度,缓解心梗病症。当下,间充质干细胞已被应用于临床的多种疑难性疾病干预中,相信随着间充质干细胞在心肌梗死这类重大心血管疾病领域上的重大突破,这将为更多心脏疾病患者带来新的希望。
上海本正生物工程有限公司提供的干细胞是从脐带、胎盘中提取的一种修复器官机理的未完全分化的原始细胞,具有自我更新、多项分化和高度繁殖的能力,医学上称为“万能细胞”,它是形成人体各种组织器官的起源细胞。干细胞对临床上一些疑难疾病的治疗如:脑瘫、老年痴呆、脑萎缩、帕金森病、中风、肝硬化、糖尿病、红斑狼疮、股骨头坏死、软骨和关节损伤、心脏和脊髓损伤等,取得显著效果,它拥有更加鲜活细胞能量,可以快速、有效进入体内,分泌多种有益细胞因子,调节体内微环境,激活干细胞再生能力,重启时光之门,追溯青春绽放源头,实现对人体衰老状态减缓,同时有效改善身体亚健康以及预防肿瘤发生。

|