
你可能不知道,平均每16秒就有一个中国人,死于中风。中风可谓肆虐中国的第一杀手,是造成中国人寿命损失的第一大病因,且正在逐年呈年轻化趋势发展。尽管中风在我国已如此普遍,差不多每5个人中就有2人会在一生中患上中风,但关于中风的治疗及预后效果却差强人意。多数中风患者即便康复后再次复发的概率也极高,且复发一次比一次严重,中风后遗症如偏瘫、失语等也给患者和家庭造成较大负担。中风难治愈主要在于受损的神经元几乎无法再生,因此,一旦发病如果没有在黄金时间及时抢救,中风及后遗症就可能伴随接下来的一生。为了探寻有效的中风治疗方式,干细胞的发展为其提供了新的治疗途径。一项研究实验表明,干细胞可再生修复受损的大脑神经元,从而恢复脑中风患者后遗症症状:在9名年龄不等的中风偏瘫患者实验中,应用回输干细胞到脑内梗塞灶取得了一定的临床效益。这证明了干细胞有助于脑卒中偏瘫患者运动功能的恢复,且干细胞应用于人体安全、有效,无副作用。中风也成为脑卒中,它的本质是脑血管发生了病变,继而造成脑细胞功能损害,如果脑血管因为各种原因发生了堵塞引起细胞供氧不足就会引发脑梗塞,而如果脑血管发生破裂就会引发脑出血。这两种情况都是脑中风的典型表现。脑中风患者脑组织在短时间内缺血缺氧并坏死,会导致神经元减少,轴突链接中断,局部产生活性氧自由基而影响脑组织损伤的自我修复,进一步丧失局部脑功能和神经组织。因此,脑中风的患者通常发生偏瘫、语言障碍,或者头疼、恶心、呕吐等症状。值得注意的是,脑中风的抢救时间尤其宝贵,每延误1分钟,就会有190万个神经细胞死亡,140亿个突出和7.5英里的神经纤维损失。而每耽搁1小时的救治时间,则会使大脑变老3.6年。因此,对于脑中风患者来说,每分每秒都是极其宝贵的时间。而更为重要的是,即便是及时抢救过来,脑中风的复发率也极其高,约50%的患者会在两年内内再次发生中风,而且病情一次比一次严重,发病间隔时间也一次比一次更短。在对于中风疾病的治疗方法中,最有效的治疗方法是通过溶解或移除血块等方式疏通阻塞,来恢复大脑中受中风影响的血液流通。传统医疗分为药物和非药物,主要采用静脉或动脉的溶栓,以及中医理疗,包括针刺、推拿等。通常的溶栓治疗只能缓解暂时的症状,并不能有效改善脑中风受损的脑组织神经元,这也极大的增加了脑中风患者后遗症、致残的概率和程度。近年来,干细胞的出现以及干细胞移植技术的发展,为缺血性脑卒中的治疗提供了一条新的途径。干细胞治疗脑卒中的基础研究经验已累积较多,目前临床应用正在全球范围内展开。大量的基础研究表明,干细胞可通过分化为神经系统各类细胞、分泌营养因子促进神经和血管再生、修复受损的脑脊液屏障、减轻炎性反应等促进脑梗死的神经功能恢复。目前临床应用中常用的干细胞类型分为外源性干细胞和内源性神经干细胞,外源性干细胞包括胚胎干细胞、造血干细胞、神经干细胞、间充质干细胞以及诱导多能干细胞等。近年来,国内外大量临床数据报道了干细胞治疗中风的安全性、可行性和有效性,表明干细胞是中风疾病中极具前景的治疗方案。随着干细胞技术的发展,干细胞能再生组织、器官及干细胞的免疫调节功能得到了更多的场景应用,也为脑中风治疗提供了新途径。
伊丽妍 ─干细胞护肤

(点击识别查看详情)
在这项研究中,9名年龄在30-65岁之间的偏瘫患者在中风后5-24个月接受干细胞脑内治疗,干细胞回输至脑内梗塞灶附近。连续24个月的随访数据显示,所有剂量的干细胞治疗耐受性都很好,没有发生神经系统恶化或与治疗相关的不良并发症,这证明了干细胞应用的安全性问题。
△ 通过24个月的随访临床结果,显示了相对于基线的分数变化
回输到脑内梗塞病灶的干细胞,通过分化为神经系统的各类细胞、分泌营养因子,促进神经和血管再生,修复受损的血-脑脊液屏障,减轻炎性反应等促进脑梗死动物的神经功能恢复,让9例临床患者偏瘫的症状得到了明显改善。
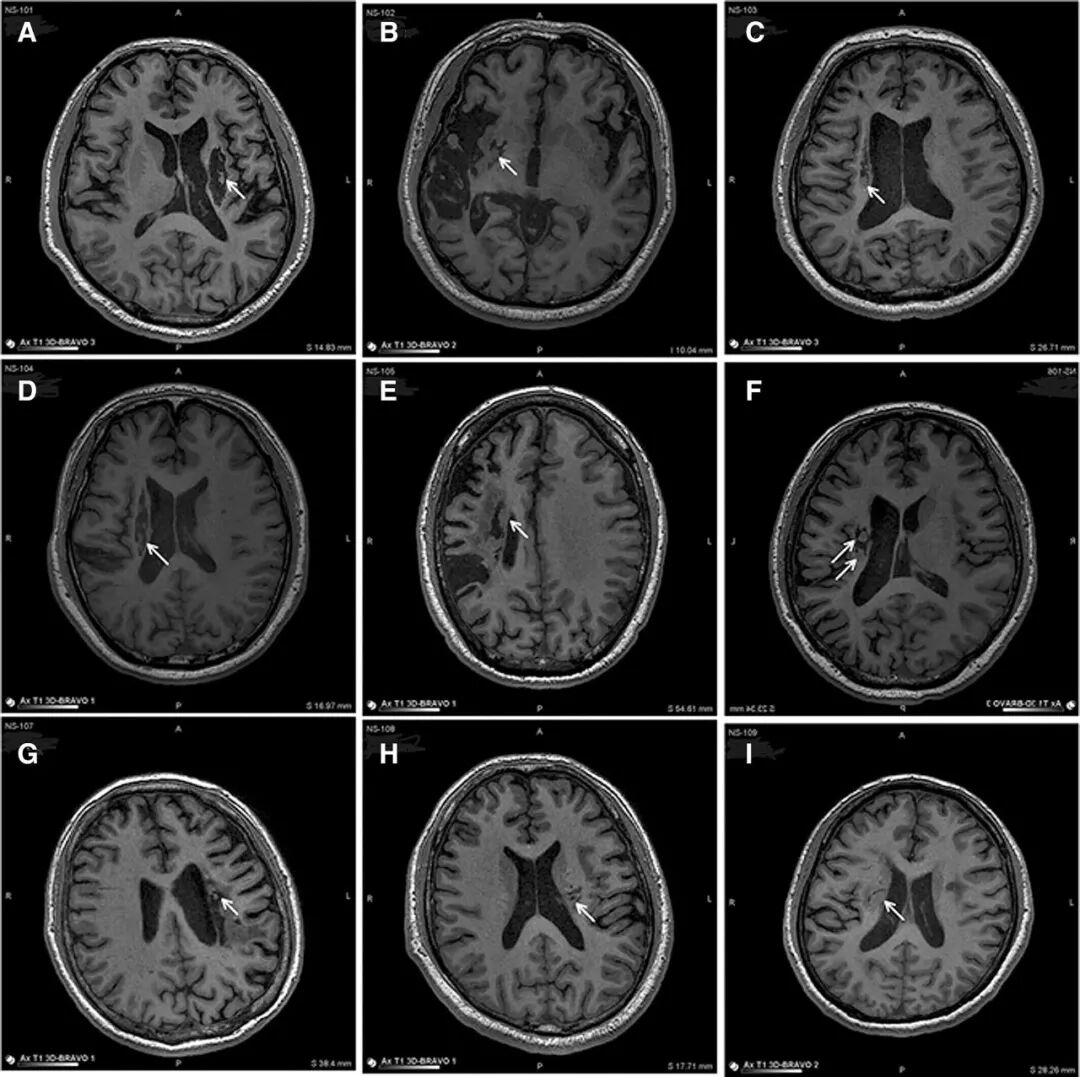
△ 9例患者的影像学显示病变区域的组织都发生了明显变化
影像学研究的结果表明,干细胞输入区出现了新的神经组织,这也证明了干细胞治疗偏瘫性脑卒中拥有一定的临床益处。目前,关于干细胞治疗脑中风的临床研究正在全球范围内开展,也有许多已经开展了更为深入的临床应用,随着我国近年来细胞政策的逐渐开放,政府的支持与鼓励,以及细胞政策的不断完善,都将推动这一进程快速向前,让干细胞能够惠及更多脑中风患者,为他们解除病痛烦恼。
上海本正生物工程有限公司提供的干细胞是从脐带、胎盘中提取的一种修复器官机理的未完全分化的原始细胞,具有自我更新、多项分化和高度繁殖的能力,医学上称为“万能细胞”,它是形成人体各种组织器官的起源细胞。干细胞对临床上一些疑难疾病的治疗如:脑瘫、老年痴呆、脑萎缩、帕金森病、中风、肝硬化、糖尿病、红斑狼疮、股骨头坏死、软骨和关节损伤、心脏和脊髓损伤等,取得显著效果,它拥有更加鲜活细胞能量,可以快速、有效进入体内,分泌多种有益细胞因子,调节体内微环境,激活干细胞再生能力,重启时光之门,追溯青春绽放源头,实现对人体衰老状态减缓,同时有效改善身体亚健康以及预防肿瘤发生。

|