设为首页 加为收藏 联系我们
当前时间:
咨询热线:400-1010-468  
http://www.shbzsw.com.cn  
E-mail:SHBZSW@163.COM  
地址:上海市世贸大厦
行业新闻 您的当前位置:首页 -> 新闻中心 -> 行业新闻  
 
干细胞改善女性卵巢功能,延缓衰老
发布时间:2021-10-14 文章来源:本站  浏览次数:1355

图片

卵巢对于女性而言是非常重要的,除了是生殖器官还是内分泌器官,两者功能紧密相连,有不可替代的生理作用。在一定程度上,卵巢早衰代表着容颜的提早衰老,但又并非只是衰老那么简单。

自上世纪70年代以来,女性寿命不断延长,但由于经济、社会等因素女性初次生育年龄升高,生育年龄高峰后移,生育力也逐渐降低。随着年龄增加,卵巢功能发生生理性衰退是主要原因

我国60%以上符合二孩政策的女性在35岁以上,而这部分女性的基本卵泡储备和卵巢反应性急剧下降。此外,约1%的育龄女性受到卵巢早衰疾病的困扰。

图片


卵巢早衰危害多


女性一生中月经能来多长时间,是由卵巢中储备的卵子数目决定的,而女性一生中的卵子储备有限,所有人都会因为卵子耗竭而闭经,也就是绝经。

正常妇女绝经的平均年龄为50岁左右,在40岁前绝经称为卵巢早衰,而卵巢早衰在各地区发生率差异较大,可能的发生率为0.88%~14.6%。

卵巢早衰的患者比一般的女性提前10年或更长时间进入更年期,雌激素低下可导致这些患者潮热出汗、睡眠障碍、情绪低落、性生活困难、性欲低下、反复泌尿系统感染等,还容易发生骨质疏松症及骨质疏松性骨折,增加了心血管系统疾病的风险,生活质量明显下降。

图片


因卵巢早衰而绝经的常见原因


  • 卵子储备不足(如性染色部分缺失或嵌合,基因突变等均可导致虽有卵子,但数量不足而早衰竭)
  • 某些慢性疾病或消耗性疾病中卵子消耗快导致提早衰竭
  • 环境中一些物理、化学、放射、病毒、酗酒与吸烟等因素影响卵子消耗
  • 卵巢肿瘤破坏卵巢组织或手术切除双侧卵巢。

另外,目前各种恶性肿瘤在治疗中,由于大剂量的化疗药物及放疗对卵巢功能的伤害,导致部分年轻的患者也会发生卵巢早衰。尤其是血液病骨髓移植术后的女性,几乎所有的患者都会发生卵巢功能受损或早衰。同时风湿免疫系统疾病的患者,由于也需要使用免疫抑制剂,也导致这些患者发生卵巢早衰。


卵巢早衰并非衰老那么简单


卵巢衰退是一个逐渐发展的过程,一般情况下卵巢功能衰退到闭经大约需要经历1-5年的时间,也就是说,如果是短期熬夜造成的卵巢功能衰退并非不可逆

月经明显减少或月经紊乱是卵巢早衰的主要症状之一,还可能会出现潮热、出汗、心烦、健忘等类似更年期表现。

对于女性而言,长期熬夜就等于在扼杀卵巢生命,使其提早衰老,对女性的外貌健康以孕育都会造成不良的影响,甚至可能产生不孕。因而,女性应改变熬夜习惯,否则长期熬夜可能会导致不可逆性卵巢早衰,为治疗带来困难。

图片

有研究表明,早发性卵巢功能不全(POI)还有骨密度降低的风险。如果卵巢功能不全发生在早年,比如年轻、还没有停止生长的女孩子,骨骼自然生长较快的时候会影响骨骼结构

而且,早期内源性雌激素缺乏还会增加心血管疾病风险,先天原发性卵巢功能不全的成年人中有20%还会出现甲状腺功能减退,桥本氏甲状腺炎也较常见。

图片


什么是干细胞抗衰老


干细胞是各种细胞更新的来源,干细胞的活性、数量和增殖力下降以后,人体就会衰老。通过干细胞技术,可以把干细胞通过提取,然后在实验室分离优化出质量较高部分进行繁殖培育,从而得到数量充足的、全新的、更年轻的干细胞,然后再回注到人体,即可从根本上实现抗衰老的愿望。

图片


回输之后能保持多长时间


干细胞不同于其他的药品或化妆品有一定的作用时间。干细胞是一种活性的物质,不会被肝脏等器官所代谢。理论上,干细胞在回输后可以永远发挥作用。

但是保持时间的概念,理解上是有差异的。比如:在40岁时抗衰老治疗后,身体会逐渐恢复到30岁-35岁的状态,同时身体的衰老过程仍在继续,身体状态会从一个新的状态再逐渐衰老。


改善卵巢功能 逆转更年期


经过多年的科学实验、临床研究,证实干细胞对多种卵巢功能退化有比较好的改善功效。

在一项干细胞治疗年轻女性的卵巢早衰的研究中,已经接受常规治疗的患者使用了间充质干细胞,并且通过微创腹腔镜的手段将细胞输入患者自身一侧的卵巢中,同时保证另外一侧卵巢不受影响。

之后,研究人员对患者的血常规、卵巢成像以及更年期症状进行定期调查。

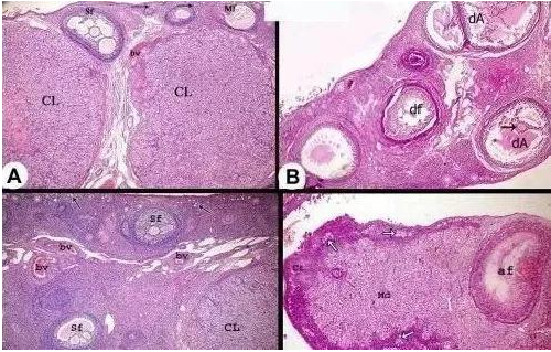
图片

干细胞治疗后,卵巢体积、各级卵泡数等都明显增加

结果显示:接受治疗的一侧卵巢相比对照侧卵巢体积有明显增大,而且患者接受干细胞治疗后也没有出现明显的副作用

更为惊奇的是,其中有2名已经完成治疗的参与者血清雌激素水平在注射干细胞后3个月就开始增加,效应至少维持了一年!而且她们的更年期症状完全被消除了。另外,也有6名参与者的月经周期也恢复了正常

干细胞有“归巢”的属性,可迁移定植于损伤部位如卵巢,并能在器官内存活生长,促卵巢细胞分化,替代并修复受损的组织,同时还会分泌细胞因子抑制卵巢细胞的凋亡,从而达到改善卵巢功能,平衡激素水平的作用,改善由生殖系统衰老引起的一系列症状,实现由内而外的年轻态。

图片

而且通过修复重建受损的卵巢细胞,能促血管血管生长,构建卵巢微环境,刺激卵泡生长,促进排卵,以及雌孕激素的正常分泌,缓解各种因激素分泌不足导致的临床症状,以达到修复的目的,为卵巢早衰引起的绝经、不孕不育等女性患者带来福音。

图片

       上海本正生物工程有限公司提供的干细胞是从脐带、胎盘中提取的一种修复器官机理的未完全分化的原始细胞,具有自我更新、多项分化和高度繁殖的能力,医学上称为“万能细胞”,它是形成人体各种组织器官的起源细胞。干细胞对临床上一些疑难疾病的治疗如:脑瘫、老年痴呆、脑萎缩、帕金森病、中风、肝硬化、糖尿病、红斑狼疮、股骨头坏死、软骨和关节损伤、心脏和脊髓损伤等,取得显著效果,它拥有更加鲜活细胞能量,可以快速、有效进入体内,分泌多种有益细胞因子,调节体内微环境,激活干细胞再生能力,重启时光之门,追溯青春绽放源头,实现对人体衰老状态减缓,同时有效改善身体亚健康以及预防肿瘤发生。

图片


上一篇: 干细胞治愈膝关节, 先做先"得"
下一篇: 干细胞让糖尿病的治愈成为可能
关于我们  |  公司掠影  |  新闻中心  | 联系方式  |  在线留言
版权所有 Copyright(C)2015-2016 上海本正清源干细胞科技集团有限公司