设为首页 加为收藏 联系我们
当前时间:
咨询热线:400-1010-468  
http://www.shbzsw.com.cn  
E-mail:SHBZSW@163.COM  
地址:上海市世贸大厦
行业新闻 您的当前位置:首页 -> 新闻中心 -> 行业新闻  
 
干细胞可修复受损神经元
发布时间:2021-10-27 文章来源:本站  浏览次数:1327

图片

图片

近期,《Cell Stem Cell》刊登了一项关于干细胞来源的神经元修复环路,重塑神经功能的文章

图片

众所周知,在我们的大脑里有着上千种不同类型的神经元,它们通过复杂而又精确的网络连接(神经环路),让我们能够进行思考和发出动作。

图片

如果神经元受损了,就会产生严重的神经功能障碍,尤其是一些神经退行性疾病,如中风、帕金森、老年痴呆等。更会引发偏瘫、运动迟缓、肌肉僵直、学习记忆能力受损等等功能障碍。

但随着再生医学的不断进展,修复神经退行性疾病将成为现实。

01

干细胞修复受损神经环路

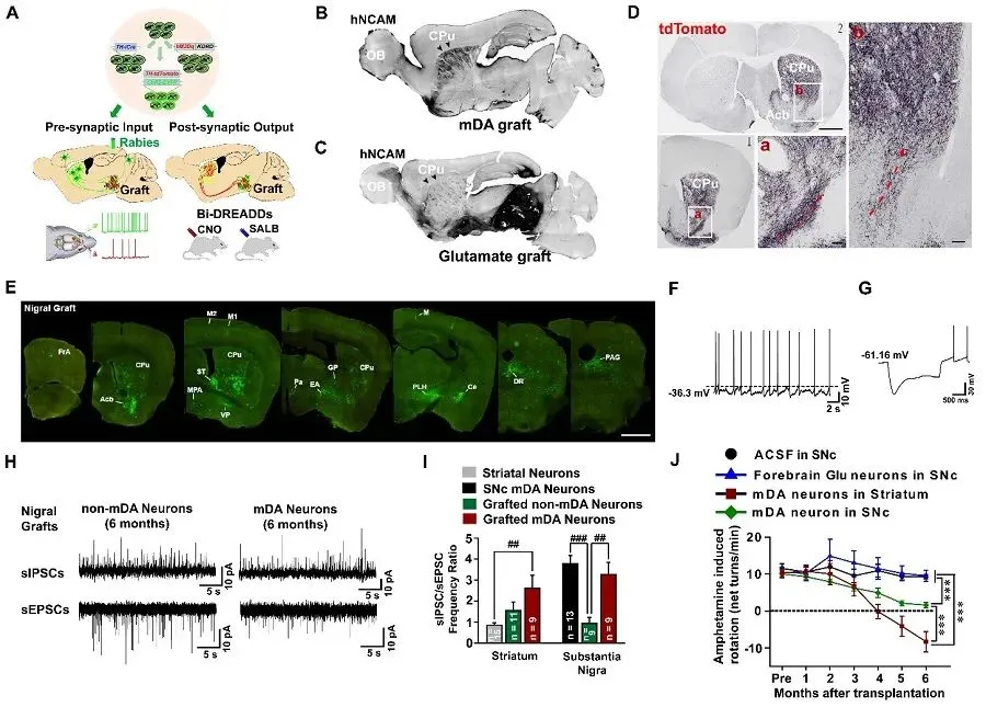
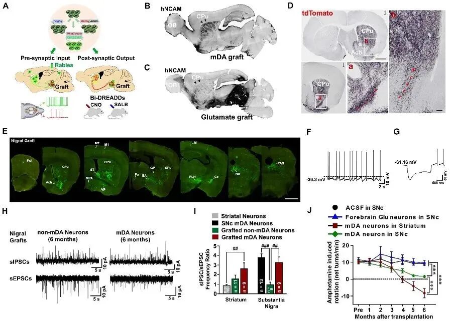
实验研究人员将分化的多巴胺能神经前体细胞,回输到帕金森(PD)小鼠黑质部位。通过人神经纤维标记物hNCAM染色发现,回输到黑质部位的人多巴胺神经细胞长出神经纤维,并延伸到纹状体的背侧和腹侧。

图片

研究成员进一步通过遗传学技术和狂犬病毒介导的示踪技术,追踪了黒质治疗的人多巴胺能神经元接受的上游神经支配,发现回输的人多巴胺能神经元接受与内源黒质多巴胺能神经元相似的神经支配。

图片

这些结果都说明,PD模型小鼠脑内移植的人多巴胺能神经元特异性的修复和重建了受损的黒质-纹状体神经连接,并且其结构和功能与内源神经连接高度一致。

02

干细胞治疗神经退行性疾病—帕金森

帕金森是常见的老年性神经退行性疾病,由黑质产生多巴胺的神经元被破坏导致纹状体多巴胺缺乏所致。

图片

干细胞治疗帕金森病的临床试验已经开展多年,目前已经有不少的临床试验数据输出。

图片

国外开展的一项临床试验对7例帕金森病患者使用了间充质干细胞治疗。在随访期间,受试者相关评分显著提高,面部表情、步态和僵硬发作等症状有主观改善;2名患者显著减少了帕金森病药物的剂量。

图片

国内的一项临床研究纳入了26例帕金森病患者,经导管将间充质干细胞回输到大脑后动脉及小脑上动脉。结果发现,治疗后患者疾病评分明显下降,无不良反应。这项临床研究说明间充质干细胞疗法可明显改善帕金森患者的日常活动和运动功能,且无副作用。

03

干细胞治疗神经退行性疾病——老年痴呆

老年痴呆,即阿尔茨海默病(AD)。它是一种发病隐匿的神经退行性疾病,最显著的特征是大脑皮层中神经元和突触的慢性丧失,以及大脑质量的显著降低。

图片

而干细胞能够调节脑内炎症性环境,重建神经微环境,通过降低损害正常神经结构的因素(如减少β淀粉样蛋白等的异常堆积)促进受损神经单元的恢复和突触连接,从而有效改善病症。


主要作用机制包括:

保护神经元,修复脑损伤

01

抑制营养不良的神经元突起数量、增强神经可塑性,改善认知障碍

02

调节神经炎症,调节促炎和抗炎生物标志物的稳态,改善疾病症状

03

研究人员还发现,干细胞通过分泌GDF15介导神经干细胞的分化,促进内源性神经再生,增强突触活性。这是干细胞干预AD的其它机制,即重建神经微环境,有利于受损神经细胞的恢复,为临床应用提供思路。

目前,国外学者已经进行了临床治疗,将脐血间充质干细胞(HUCB-MSCs)回输到AD患者双侧海马和1个楔前叶。

图片

研究证明,干细胞是一种安全可行的方法,无干细胞相关不良反应。随访2年,未发现脑出血、肿瘤形成等生理生化指标。
2018年,治疗阿尔兹海默症的干细胞药物AstroStem获批在日本福冈(TrinityClinic Fukuoka)商业化使用。

图片

干细胞作为具有再生、修复能力的“万能细胞”已经在神经系统恢复领域产生了巨大影响,通过干细胞来源的特定神经元,可以在结构和功能上修复受损的脑神经功能环路。

这将为帕金森病、阿尔兹海默症、脑中风等神经系统性疾病及神经退行性疾病患者带来新的治疗选择,为改善预后,提高生活质量带来新希望。

图片

       上海本正生物工程有限公司提供的干细胞是从脐带、胎盘中提取的一种修复器官机理的未完全分化的原始细胞,具有自我更新、多项分化和高度繁殖的能力,医学上称为“万能细胞”,它是形成人体各种组织器官的起源细胞。干细胞对临床上一些疑难疾病的治疗如:脑瘫、老年痴呆、脑萎缩、帕金森病、中风、肝硬化、糖尿病、红斑狼疮、股骨头坏死、软骨和关节损伤、心脏和脊髓损伤等,取得显著效果,它拥有更加鲜活细胞能量,可以快速、有效进入体内,分泌多种有益细胞因子,调节体内微环境,激活干细胞再生能力,重启时光之门,追溯青春绽放源头,实现对人体衰老状态减缓,同时有效改善身体亚健康以及预防肿瘤发生。

图片


上一篇: 干细胞类风湿性关节炎的救星
下一篇: 干细胞让岁月无痕,让健康延展
关于我们  |  公司掠影  |  新闻中心  | 联系方式  |  在线留言
版权所有 Copyright(C)2015-2016 上海本正清源干细胞科技集团有限公司