


对于慢性胃炎,通常是在调整饮食结构的基础上进行治疗。不过西医治疗虽然见效快但根治困难,复发率高,部分患者仍需长期服药,而中医治疗方式灵活,但存在观点不统一,作用机制不明确等弊端。脐带间充质干细胞是指存在于新生儿脐带组织中的一种多功能干细胞,相对于成人的间充质干细胞更加纯净、原始,细胞的增殖、分化及免疫调节能力都更强,具有免疫原性低、抗炎及促进胃黏膜组织细胞再生等特点。使用脐带间充质干细胞来综合调理胃部疾病,尤其是萎缩性胃炎,有很好的干预效果。来源于脐带的间充质干细胞(MSCs)是一种具有自我复制能力和多向分化潜能的成体干细胞,属于原始的未分化的细胞。它具有高度繁殖的能力,拥有更加鲜活的细胞能量,可以快速、有效进入体内,分泌多种有益细胞因子,调节体内微环境,激活体内干细胞再生能力;它既有间质细胞,又有内皮细胞及上皮细胞的特征,具有的多向分化和自主趋化性,能自动归巢到体内受损部位,分化为血管内皮功能细胞等,从根源综合调理修复胃肠道黏膜屏障。在使用脐带间充质干细胞之后,干细胞会靶向修复受损的胃部,分化成胃粘膜细胞、胃腺体细胞,恢复胃黏膜的弹性和蠕动性,根源修复胃腺体的分泌功能,让不能够正常行使生理功能的胃,恢复胃动力,从根本上综合调理,修复胃肠道。
2019年,国内25例慢性胃炎患者参加了一项脐带间充质干细胞调理慢性胃炎的治疗。
研究团队每隔一天对受试者使用低氧环境来源的脐带间充质干细胞进行修复调理。然后观察这25例患者的临床症状、临床效果及对其中调理效果为“治愈和有效”的患者进行胃镜检查的结果。
结果显示:使用干细胞调理后,这25例受试者的上腹部不适、嗳气、反酸、厌食等临床症状均得到缓解。
在这25例受试者中,调理效果为“治愈”的有10例,为“有效”的有13例,为“无效”的有2例。这25例患者干细胞综合调理的总有效率为92%。
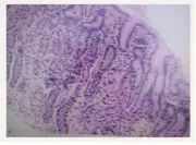
图1为干细胞使用前,对这25例患者进行胃镜检查的结果;图2为干细胞使用后,显示调理效果为, “治愈和有效”的患者进行胃镜检查的结果
对其中调理效果为“治愈和有效”的患者进行胃镜检查的结果显示:其胃内以淋巴细胞、浆细胞为主的慢性炎症细胞基本消失。结论:用低氧环境来源的脐带间充质干细胞对慢性胃炎患者进行综合修复调理的临床效果确切,可有效地缓解其临床症状。
上海本正生物工程有限公司提供的干细胞是从脐带、胎盘中提取的一种修复器官机理的未完全分化的原始细胞,具有自我更新、多项分化和高度繁殖的能力,医学上称为“万能细胞”,它是形成人体各种组织器官的起源细胞。干细胞对临床上一些疑难疾病的治疗如:脑瘫、老年痴呆、脑萎缩、帕金森病、中风、肝硬化、糖尿病、红斑狼疮、股骨头坏死、软骨和关节损伤、心脏和脊髓损伤等,取得显著效果,它拥有更加鲜活细胞能量,可以快速、有效进入体内,分泌多种有益细胞因子,调节体内微环境,激活干细胞再生能力,重启时光之门,追溯青春绽放源头,实现对人体衰老状态减缓,同时有效改善身体亚健康以及预防肿瘤发生。

|