
通过回输间充质干细胞可以抑制自身免疫细胞的活化,进而起到诱导免疫耐受。间充质干细胞治疗自身免疫性疾病具有良好的应用前景。在治疗系统性血管炎是一种不错的选择,值得进一步研究推广。
近日,一则关于:干细胞疗法帮助血管炎患者恢复走路,避免了患者截肢的痛苦,最大限度地提高了患者的生活质量的案例。
根据媒体报道,67岁的系统性血管炎患者王先生今年4月因双足趾皮肤开始发黑,继而出现坏死、溃疡而住院治疗,准备再次进行截肢。入院后,王先生并没有开展截肢手术,而是在血液科专家团队的努力后通过干细胞治疗,恢复至能够下床走路。
血管炎(vasculitis)是一组以血管壁或血管周围组织炎症伴有纤维素样坏死为主要表现的异质性疾病。当多系统、多脏器受累伴或不伴全身表现时,即为系统性血管炎(Systemic Vasculitis,SV)属于一种自身免疫性疾病。

系统性血管炎临床表现因受累血管的类型、大小、部位及病理特点不同而表现各异,常累及全身多个系统,引起多系统多脏器功能障碍,常累及的部位为皮肤、肾脏、肺脏、神经系统等,但也可局限于某一脏器,临床表现复杂,变化多样,大多数属疑难杂症。 1. 大血管炎:Takayasu 动脉炎、巨细胞动脉炎/ 颞动脉炎 、孤立中枢神经系统血管炎 、Cogans 综合征。2. 中血管动脉炎:结节性多动脉炎、Kawasaki 病。3. 小血管动脉炎:韦格纳肉芽肿、Churg -Strauss 综合征、显微镜下多血管炎、皮肤白细胞破碎性血管炎、Henoch-Schonlein 紫癜、原发性冷球蛋白血症血管炎。各地总的年发病率为39~141.54/ 百万成年人口,系统性血管炎性别分布随疾病不同而不同,总规律是除多发性大动脉炎和巨细胞动脉炎以女性多见外,其他疾病均为男性略多于女性,或无明显性别差异。总的分布是50 岁以上的患者患病率为50 岁以下患者5 倍。自身免疫性疾病是由于机体自身免疫耐受机制失调或破坏,导致自身组织器官损伤或出现功能异常的免疫病理状态。其发病机理尚未明确,因此目前也缺乏理想的治疗方法,临床治疗还是以控制发病诱因、抑制或阻断体内病理性自身免疫应答的方法进行治疗。

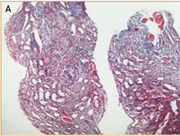
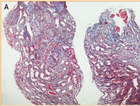
系统性血管炎病因的特殊性,该疾病目前是无法治愈,主要以激素治疗和抗炎等治疗,需要长期治疗,有严重的不良反应,也不能阻止所有患者的病情发展。间充质干细胞(Mesenchymal stem cells,MSC)是干细胞大家族中最常见的成员,同时间充质干细胞的免疫调节作用是近年来干细胞研究领域的一项重要突破。目前,间充质干细胞的免疫调节已经成为了治疗自身免疫领域研究的新热点。通过多项研究发现,间充质干细胞可以通过以下不同途径调节机体免疫系统,从而治疗不同疾病。②间充质干细胞分泌细胞因子的作用除了能够起到细胞间的相互接触作用外,还能发挥T细胞抑制作用;③间充质干细胞能够促进IDO催化色氨酸转化为犬尿素过程起到免疫抑制作用。一位73岁的老爷爷被诊断为ANCA相关性血管炎(即系统性血管炎中的小血管炎),而炎症累及器官主要为肾脏。光镜下有8个肾小球上皮呈现新月形,伴有节段性肾小球毛细血管坏死,纤维蛋白破坏,管腔内出现红细胞,间质水肿伴淋巴细胞浸润,见图1。

图1(图片来源参考文献)
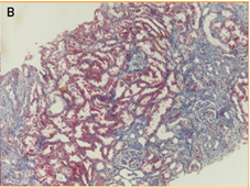
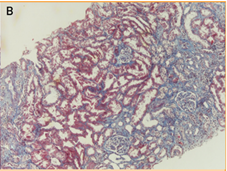
由于患者高龄再加上肾脏损害严重,因此采用了间充质干细胞治疗,每天输注5mg,共输注4个月。间充质干细胞治疗后,肾小球出现毛细血管增生,未见坏死性毛细血管炎和小动脉炎,见图2。

图片2(图片来源参考文献)
间充质干细胞输注后血清干扰素-g、白细胞介素6、肿瘤坏死因子水平下降,见图3。

图3
在此次的重症血管炎患者中,通过回输间充质干细胞治疗效果好,能够迅速促进肾功能的恢复,同时患者回输间充质干细胞后耐受性较好,未表现出严重的不良反应。
上海本正生物工程有限公司提供的干细胞是从脐带、胎盘中提取的一种修复器官机理的未完全分化的原始细胞,具有自我更新、多项分化和高度繁殖的能力,医学上称为“万能细胞”,它是形成人体各种组织器官的起源细胞。干细胞对临床上一些疑难疾病的治疗如:脑瘫、老年痴呆、脑萎缩、帕金森病、中风、肝硬化、糖尿病、红斑狼疮、股骨头坏死、软骨和关节损伤、心脏和脊髓损伤等,取得显著效果,它拥有更加鲜活细胞能量,可以快速、有效进入体内,分泌多种有益细胞因子,调节体内微环境,激活干细胞再生能力,重启时光之门,追溯青春绽放源头,实现对人体衰老状态减缓,同时有效改善身体亚健康以及预防肿瘤发生。

|