设为首页 加为收藏 联系我们
当前时间:
咨询热线:400-1010-468  
http://www.shbzsw.com.cn  
E-mail:SHBZSW@163.COM  
地址:上海市世贸大厦
行业新闻 您的当前位置:首页 -> 新闻中心 -> 行业新闻  
 
干细胞疗法针对65例股骨头坏死的案例报告
发布时间:2021-11-23 文章来源:本站  浏览次数:1239

图片

股骨头坏死(ONFH)又称缺血性股骨头坏死,是骨科中常见的难治性疾病,主要病因是股骨头血液供应遭到破坏,导致骨髓成分减少与骨细胞死亡,最终股骨头坏死塌陷,引起髋部疼痛,降低患者的生活质量。图片
目前,ONFH的发病机制不明确, 无统一的标准治疗方案。国内外多数研究者认为 ONFH 的发生与长期大量酗酒、长时间大剂量应用激素等密切相关。年轻患者因髋关节置换的假体使用寿命有限,一生可能会面临多次翻修风险,因此,保髋治疗是其首选方案。
关于如何修复股骨头坏死,临床上通常采用高压氧、体外冲击波、脉冲电磁场、药物治疗、针灸等方法,但治疗效果有限,这些方法只能改善患者的症状,无法根治。
近年来,干细胞具有血管再生及骨再生重建作用,成为早期ONFH治疗研究的热点。

干细胞治疗ONFH的作用机理

干细胞应用于ONFH,主要在于一方面干细胞治疗坏死区后,能利用其自身的高分化增殖潜能,生成新生毛细血管及成骨细胞,帮助坏死区骨组织重建,坏死区血管再生,血液循环改善,坏死骨被新生骨组织长入替代、进而缓解髋关节疼痛,部分延缓了股骨头坏死的进程。早期研究发现股骨头坏死区的血管堵塞严重影响了干细胞传输。

Gangji等证实了股骨头坏死区的干细胞数量及活性明显下降,Wyles 等发现间充质干细胞能促进成骨细胞形成、抑制破骨细胞活性, 众多研究者通过干细胞,大大改善了股骨头继续坏死的发生率。另一方面坏死区的干细胞利用其旁分泌作用机制,分泌及诱导多种细胞活性因子集聚,共同作用促进成血管、成骨。

干细胞治疗ONFH的方式

髓芯减压灌注法:该方法需要在X线透视引导下,首先对坏死区进行钻孔减压,通过减压通道,将干细胞注射至坏死区内,此方法既保留了髓芯减压术的优势,也发挥了干细胞的作用,但髓芯减压术可能会加快骨坏死区塌陷。

经皮置管注射法:陈兴灿等在 X 线透视引导下,经皮肤将穿刺针置于股骨头坏死病灶区,经穿刺针留置导管, 连接微泵装置,通过微泵将干细胞注入坏死灶内。经皮置管注射法可将干细胞直接注射到坏死病变部位,经过局部微循环作用于周围坏死区,不需经过分支血管输入,可留置导管多次注入干细胞,但有发生感染的风险。

血管介入输入法:通过介入穿刺技术,将制备的干细胞悬液通过旋股动脉输入,经血液循环到达股骨头坏死区,从而发挥干细胞作用。血管灌注法可使干细胞经血液循环,随着支配股骨头血供的血管到达坏死区域,从而辅助血管与骨修复。该方法需要特定的介入手术室,在持续射线引导下进行,需要手术操作者具有一定的介入穿刺技术能力,操作相 对较困难,结果可能出现干细胞输入偏差。

近期,《中国组织工程研究》杂志发布了一项关于股骨头坏死的回顾性研究:探讨了干细胞疗法联合髓芯减压的有效性和安全性,在长达7.5年的随访中,分析股骨头塌陷率和髋关节置换率。

案例1:对65例1/2期股骨头坏死受试者进行干细胞和髓芯减压(批准号:2018-JS037),7.5年随访塌陷及髋关节置换情况。

结果发现,非置换的有50例,其中35例无塌陷(占54%)现象,即非置换率即髋关节保存率为77%;Harris髋关节功能评分大于75分的35例,平均为(79.5±11.9)分,临床成功率70%;目测类比评分(评测疼痛感)下降为(2.3±0.5)分,疼痛感缓解明显;需要辅助负重行走的情况从60.9%下降为18%。

图片图片

图中A和C:典型病例术前正位和蛙式位X射线片,股骨头内不规则高密度影;

图B和D:典型病例术后7.5年正位和蛙式位X射线片,股骨头外形规整,无塌陷。

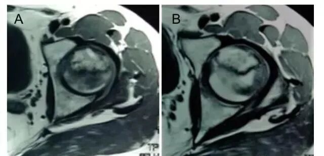
此外,MRI片上坏死面积较术前明显减小,治疗前坏死面积为(31.0±5.3)mm2,治疗后为(24.3±3.5)mm2,具有差别意义。

图片
图A:MRI图像股骨头坏死;   图B:显示移植后股骨头坏死面积缩小。

通过此项临床治疗的中远期评估,发现干细胞疗法联合髓芯减压能有效降低塌陷率,提高临床成功率。

案例2:《中华物理医学与康复杂志》报道:研究者对40例股骨头坏死患者采用体外冲击波和干细胞结合的治疗方式,并对其随访12个月与24个月,干细胞组和对照组的Harris评分和疼痛评分之间存在显著差异,干细胞治疗的患者明显有所好转,生活能力提高,疼痛减少。

图片

近年来,干细胞的独有特性为再生医学领域与股骨头坏死疾病领域开辟了新的治疗方法,干细胞疗法联合髓芯减压针对股骨头坏死的临床应用具有广阔的前景,相信在未来不久治愈更多的患者!
图片

       上海本正生物工程有限公司提供的干细胞是从脐带、胎盘中提取的一种修复器官机理的未完全分化的原始细胞,具有自我更新、多项分化和高度繁殖的能力,医学上称为“万能细胞”,它是形成人体各种组织器官的起源细胞。干细胞对临床上一些疑难疾病的治疗如:脑瘫、老年痴呆、脑萎缩、帕金森病、中风、肝硬化、糖尿病、红斑狼疮、股骨头坏死、软骨和关节损伤、心脏和脊髓损伤等,取得显著效果,它拥有更加鲜活细胞能量,可以快速、有效进入体内,分泌多种有益细胞因子,调节体内微环境,激活干细胞再生能力,重启时光之门,追溯青春绽放源头,实现对人体衰老状态减缓,同时有效改善身体亚健康以及预防肿瘤发生。

图片


上一篇: 干细胞让糖尿病患者胰岛素用量减少90%
下一篇: 干细胞可有效预防并治疗高血压
关于我们  |  公司掠影  |  新闻中心  | 联系方式  |  在线留言
版权所有 Copyright(C)2015-2016 上海本正清源干细胞科技集团有限公司