设为首页 加为收藏 联系我们
当前时间:
咨询热线:400-1010-468  
http://www.shbzsw.com.cn  
E-mail:SHBZSW@163.COM  
地址:上海市世贸大厦
行业新闻 您的当前位置:首页 -> 新闻中心 -> 行业新闻  
 
干细胞为治疗半月板损伤提供新契机
发布时间:2022-02-22 文章来源:本站  浏览次数:1307

图片

在骨科中,半月板损伤患者十分常见。半月板损伤不再是老年人的专属,过度运动和不良的运动方式使得二三十岁的年轻人成为了主要人群尤其是像运动员都是高发人群。
图片

德怀恩·韦德,前美国职业篮球运动员,司职得分后卫,绰号“闪电侠”。韦德曾在大学比赛中半月板遭受损伤,逼不得已选择摘除半月板。因此韦德后面参加选秀时,大家都不看好他。

干细胞因具强大分化潜力,可同时向纤维软骨和关节软骨分化,且有强大增殖能力、免疫调节能力、来源方便、损伤性小、可移植、低免疫原性等优点。所以,干细胞成为软骨组织修复应用方面重要种子细胞,为治疗半月板损伤治疗提供了新方向。

01.

传统方法干预半月板损伤有副反应

半月板在维持膝骨关节正常功能方面具有重要作用,能够吸收冲击、稳定关节、提供营养。膝关节中的半月板承受人体70%的压力是人体负重最大的关节。
图片
半月板损伤最常见的原因是外伤伸屈加扭转的活动最容易使半月板损伤,比如从高处落下突然一扭,半月板就有可能被夹在关节中间活动不了,从而发生损伤。
半月板损伤的另一个典型症状是交锁症状即患者在行走、下蹲等活动中,膝关节有被卡住的感觉,活动后可能会缓解。


图片
半月板缺少血管,血液供应差,营养由关节内滑液供给,导致半月板损伤难以自愈而临床上传统治疗方法是部分或整体切除半月板,不仅扰乱膝骨内平衡,同时提高早期骨关节炎(osteoarthritis,OA)发生几率。

02.

干细胞技术干预半月板损伤四种机制

干细胞可分化为成骨细胞,脂肪细胞,软骨细胞,滑膜细胞等多种组织细胞,且拥有良好免疫调节作用,因此应用干细胞技术用于修复骨及软骨损伤具有较高研究和应用价值。

图片

干细胞疗法主要通过四种机制干预半月板损伤:

1)定向归巢到损伤部位;

2)分化为不同细胞类型;

3)分泌为多种细胞因子参与免疫反应;

4)具有免疫抑制特性。

干细胞疗法具体修复半月板损伤机制包括:干细胞可以抑制T细胞增殖及低水平表达主要组织相容性复合物(MHCⅠ、MHCⅡ),血管细胞黏附因子(VCAM-1),可以多潜能分化、参与旁分泌过程进行免疫调节。

图片

当干细胞注入膝关节后会黏附在损伤半月板表面,为软骨提供营养并分泌生长因子、细胞因子,促进祖细胞自我增殖,抑制软骨凋亡,并且在体内归巢、存活、分化为软骨细胞,产生细胞外基质及表达细胞外基质蛋白collagen Ⅰ和collagen Ⅱ,促进半月板组织重建,有效改善半月板。

03.

干细胞技术干预半月板损伤临床效果显著


01
2013年PAK等对32例半月板损伤患者利用干细胞疗法干预获得由血管基质片段(SVF)、富血小板血浆(PRP)、透明质酸及氯化钙组成ASCs混合物,经由视觉模拟评分法(VAS)、功能性评级系数及MRI评估后得出结论,半月板损伤症状可通过干细胞疗法到缓解。
图片

△A、C,E为红-红区修复组织,B、D、F为白-白区修复组织;A、B为修复组织型胶原表达,C、D为修复组织S-100蛋白表达;E、F为修复组织I型胶原表达。


02
2014年VANGSNESS 等对55例部分关节切除患者进行同种异体干细胞干预。通过VAS及 self-Lysholm评估后得出结论,损伤症状得到缓解,1 年MRI追踪检测证实经过干细胞疗法干预的患者半月板体积显著增加。
图片
图片

△不同时间点修复组织红-红区与白-白区II型胶原表达量

图片

图片

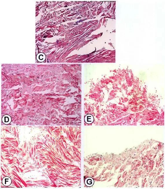
△A、C,D、F为红-红区修复组织,B、E、G为白-白区修复组织;A、B为正常半月板 Safranin-0染色结果,C为修复后3周时的修复组织;D、E为修复后8周时的修复组织;F、G为修复后12周时修复组织。


03

2015年PAK等通过开展干细胞疗法临床治疗,让1例32岁女性半月板损伤患者的软骨得到重建。
图片
图片

△不同时间点修复组织红-红区与白-白区I型胶原表达量

图片

△A为红-红区修复组织II型胶原的表达;B为红-红区修复组织S-100蛋白表达;C为红-红区修复组织I型胶原表达。


04
2016年WHITEHOUSE等对5例无血管半月板损伤患者进行干细胞疗法为手段的干预,随访24个月后,发现所有患者症状均得到显著改善,其中4例症状消失,半月板损伤彻底治愈而另外1例通过接受后续半月板切除手术后最终也得到改善,所有患者均未发生不良反应。

图片不同时间点修复组织红-红区与白-白区GAG原表达量

图片
图片

△A、C、D、F为修复半月板纽织红-红区形态,B、E、G为修复半月板纽织白-白区形态;A、B为正常半月板形态,C为修复后3周修复组织形态,D、F为修复后8周修复组织形态;F、G为修复后12周修复组织形态。


05
2019年1月9日,世界首例脐带干细胞分化功能细胞治疗半月板损伤在合作医院康复医学科顺利完成。这一则消息让人们对干细胞修复半月板损伤有了更大的期待。
图片
目前,已有18名受试者接受了膝骨关节腔内注射干细胞。随访中,细胞治疗过程中和治疗后受试者生命体征平稳、活动不受限,患者在影像学上已有明显改善。
图片

△干细胞治疗半月板损伤

综上所述,干细胞疗法在干预半月板损伤方面具有惊人潜力,能够直接或非直接地用于软骨重建。相信,通过科学家们的进一步研究,干细胞疗法将成为半月板损伤治疗的新途径!
图片

       上海本正生物工程有限公司提供的干细胞是从脐带、胎盘中提取的一种修复器官机理的未完全分化的原始细胞,具有自我更新、多项分化和高度繁殖的能力,医学上称为“万能细胞”,它是形成人体各种组织器官的起源细胞。干细胞对临床上一些疑难疾病的治疗如:脑瘫、老年痴呆、脑萎缩、帕金森病、中风、肝硬化、糖尿病、红斑狼疮、股骨头坏死、软骨和关节损伤、心脏和脊髓损伤等,取得显著效果,它拥有更加鲜活细胞能量,可以快速、有效进入体内,分泌多种有益细胞因子,调节体内微环境,激活干细胞再生能力,重启时光之门,追溯青春绽放源头,实现对人体衰老状态减缓,同时有效改善身体亚健康以及预防肿瘤发生。

图片

上一篇: 干细胞疗法修复敏感肌肤效果显著
下一篇: 干细胞治疗健康 “头号杀手” 冠心病
关于我们  |  公司掠影  |  新闻中心  | 联系方式  |  在线留言
版权所有 Copyright(C)2015-2016 上海本正清源干细胞科技集团有限公司