
随着国内第一波新冠感染高峰患者陆续转阴,生活还没步入正轨,新的奥密克戎毒株XBB家族就“迫不及待”涌入国内,又引起国人新一轮的恐慌。之所以恐慌主要在于:XBB免疫逃逸能力更强,传播速度更快,很可能将国内疫情再次推上高峰,大范围二次感染似乎无法避免;再就是刚从“阳康”中恢复起来的国人不得不重视新冠后遗症带来的身体损害,毕竟,经此一疫,后遗症甚至长期新冠后遗症(长新冠)的存在似乎已经是个不争的事实。

新冠的狡黠在于不断的逃避免疫和变异,对于有基础疾病的老年人,感染新冠后很容易发展成重症患者,甚至危及生命。如何尽快治疗重症患者、进一步降低死亡率,将是现阶段的重点问题。
间充质干细胞(Mesenchymal stem cells,MSCs)不仅具有强大的抑炎、免疫调节功能,且能明显改善机体的微环境,促进宿主的内源性修复,拯救生命。
近日,上海大学赵春华教授团队领衔,国内外20家科研单位参与,在 Aging and Disease 杂志以封面论文发表重要工作,在7名新冠肺炎患者中进行临床试验,发现间充质干细胞疗法能迅速、显著改善重症及危重症患者的预后,有效规避细胞因子风暴,且无明显副作用,为新冠肺炎患者的临床治疗提出新思路。
目前认为,由于ACE2受体在肺泡2型细胞、血管内皮细胞等高度、广泛表达,因此新冠病毒一旦入侵人体即迅速扩散,并容易过度刺激免疫系统,产生IL-2、IL-6、GSCF、IP10、MCP1等分子,进而触发细胞因子风暴甚至导致死亡。最近发表在柳叶刀上的研究也显示,重症监护室中的新冠肺炎重症患者血浆细胞因子水平显著升高,提示细胞因子风暴在新冠病毒致死过程中扮演的重要角色。
针对这种情况,临床采用激素治疗抑制细胞因子的产生;采用非载体抗炎药和大剂量维生素C降低炎症反应的程度;或直接采用IL-6等细胞因子的单克隆抗体,减弱免疫系统的攻击性。但是这些手段主要针对免疫反应的下游,作用较为片面,免疫调节作用不强。
因此,研究者将目光转向间充质干细胞(MSCs):这是一项成熟可靠的技术,已在治疗排异和系统性红斑狼疮等免疫介导的炎症疾病治疗中得到广泛应用。间充质干细胞具有极强的分化能力;可通过干扰抗原提呈细胞的激活和成熟、抑制 T 淋巴细胞的增殖、诱导活化T细胞凋亡和影响树突状细胞的风化,进而起到免疫调节和免疫抑制作用。
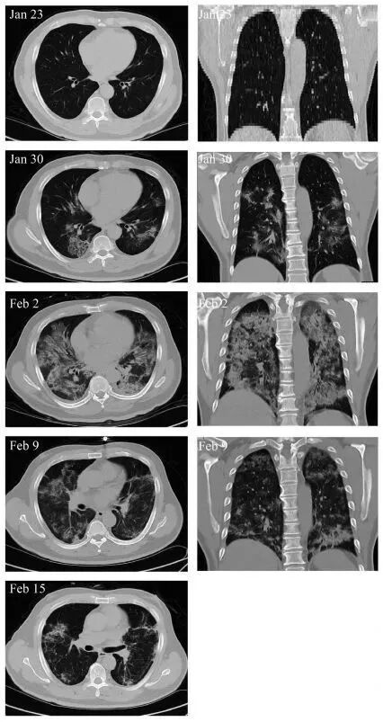
在2020年1月23日至2月16日期间,研究者共征集了7名COVID-19患者,其中包括1名危重症患者、4名重症患者和2名轻症患者,探究间充质干细胞治疗后14天内,患者的免疫系统和炎症系统功能变化,以及副作用的发生情况。
1. 无显著不良反应
间充质干细胞治疗前,患者存在高烧(38.5°C±0.5°C)、虚弱、呼吸急促和低氧饱和度的症状;治疗后所有患者的所有症状均消失,安静时血氧饱和度上升至95%以上。此外,治疗后两小时内未观察到急性过敏反应,此后也未出现迟发性超敏反应或继发感染,初步证明该疗法的安全性。
2. 迅速显著改善患者临床症状和生化指标
研究中1例危重症患者存在高血压史,一度达到3级高血压,1月31日接受间充质干细胞治疗,疗效尤其显著。其直接效应表现在:治疗后2周内,血浆淋巴细胞水平明显下降,血浆C反应蛋白水平从105.5 g/L(2月1日达峰191.0 g/L)降低10倍左右,恢复到10.1 g/L,表明炎症反应迅速缓解;在不额外吸氧的情况下,血氧饱和度从89%升高至98%,表明肺泡换气功能基本恢复。间充质干细胞有效阻止免疫系统对器官的攻击。
2月1日,患者血浆天冬氨酸转氨酶、肌酸激酶活性和肌红蛋白分别激增至57 U/L、513 U/L和138 ng/ml,表明肝脏和心脏遭受严重损害;但这些功能性生化指标的水平均在治疗后2?4天降至正常参考值,2月13日恢复至正常水平,分别为19 U/L,40 U/L和43 ng/ml。另外,MSC治疗能显著加快治疗进程。治疗后4天,新冠肺炎危重症患者呼吸频率降至正常范围、发烧和呼吸急促等症状消失。治疗后9天,胸部CT成像显示毛玻璃样混浊和肺炎浸润已大大减少。
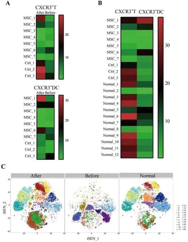
3. 有效规避细胞因子风暴
研究者通过质谱流式分析发现间充质干细胞治疗后,导致细胞因子风暴的元凶——过度活化的免疫细胞CXCR3 + CD4 + T细胞、CXCR3 + CD8 + T细胞和CXCR3 + NK细胞在3-6天内消失。另外,CD14 + CD11c + CD11bmid调控的树突状细胞数量急剧增加。另外,与安慰剂对照组相比,MSC治疗组的TNF-α水平显着降低而IL-10水平升高。以上结果在重症患者中尤其显著。
4. 间充质干细胞本身不会感染新冠病毒
研究者对患者体内回输的间充质干细胞作RNA测序,发现其不表达新冠病毒受体ACE2或TMPRSS2。此外,抗炎和营养因子如TGF-β、HGF、LIF、GAL、NOA1、FGF、VEGF、EGF、BDNF和NGF等在MSC中高表达,进一步证明了其免疫调节和保护功能。此外,SPA和SPC在MSC中也高度表达,提示MSC后续分化为新冠病毒易感的肺泡2型细胞的潜在可能性。
结论:本研究为新冠肺炎重症患者提出了除激素治疗、抗炎治疗以外的新思路,运用成熟的间充质干细技术有效规避细胞因子风暴(MSCs介导的对细胞因子风暴的免疫调节作用,促进宿主内源性修复),改善机体微环境,大大减少副作用,并显著促进治疗的进展。该方法的安全可靠性已经临床实践检验,为降低新冠重症、危重症患者的死亡率提供新的希望!
干细胞是从脐带、胎盘中提取的一种修复器官机理的未完全分化的原始细胞,具有自我更新、多项分化和高度繁殖的能力,医学上称为“万能细胞”,它是形成人体各种组织器官的起源细胞。干细胞对临床上一些疑难疾病的治疗如:脑瘫、老年痴呆、脑萎缩、帕金森病、中风、肝硬化、糖尿病、红斑狼疮、股骨头坏死、软骨和关节损伤、心脏和脊髓损伤等,取得显著效果,它拥有更加鲜活细胞能量,可以快速、有效进入体内,分泌多种有益细胞因子,调节体内微环境,激活干细胞再生能力,重启时光之门,追溯青春绽放源头,实现对人体衰老状态减缓,同时有效改善身体亚健康以及预防肿瘤发生。
|