
“
一份报告揭开了新冠长期后遗症存在的实锤,尽管感染了长达230天,死者体内各器官组织仍存在病毒!“长新冠”+不断演化的“新毒王”似乎成为了人类未来与新冠共存的常态,后疫情时代,除了疫苗等现有措施,干细胞或许也能够成为人类新的“庇护伞”。随着国内第一波新冠感染高峰患者陆续转阴,生活还没步入正轨,新的奥密克戎毒株XBB家族就“迫不及待”涌入国内,正在经受疫情开放之初最严峻挑战的国人,神经迅速绷紧。之所以恐慌主要在于:XBB免疫逃逸能力更强,传播速度更快,很可能将国内疫情再次推上高峰,大范围二次感染似乎无法避免。再就是刚从“阳康”中恢复起来的国人不得不重视新冠后遗症带来的身体损害,毕竟,经此一疫,后遗症甚至长期新冠后遗症(长新冠)的存在似乎已经是个不争的事实。近日,美国国立卫生研究院(NIH)刚刚出炉的一篇《Nature》论文燃爆全球,也给新冠长期后遗症的存在一记重重的实锤。NIH的大牛们解剖了44位新冠感染者尸体,其中包括重症、轻症及无症状者,结果触目惊心:新冠病毒可以在感染之后的几天时间内,就从呼吸道传播到心脏、大脑,以及身体的几乎每个器官,并在这些地方持续感染数月之久,甚至在症状出现后230天仍能检测到病毒存在。
△ 尸检时SARS-CoV-2感染和在人体和大脑中的持续存在
01
新冠230天后,
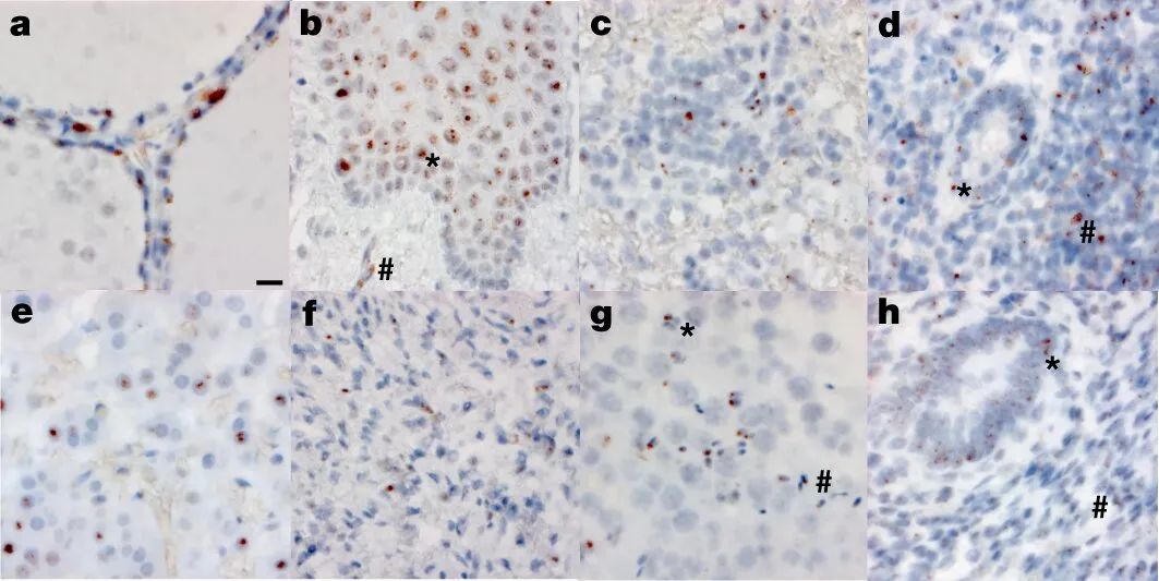
采样及时(死亡一天内)以及各种黑科技的应用,为本次研究的系统、全面加分不少,它也是疫情爆发以来,关于新冠病毒在体内和大脑中分布和持久性问题最全面的一份分析。研究中,44名死者的共同特点是生前感染过新冠病毒,但不一定是死于新冠感染症,但从他们的尸检各组织器官的取样及病毒RNA测试中发现:新冠病毒RNA广泛分布于患者体内多个组织器官,甚至对于那些只是轻症或者无症状感染的死者也是如此,而脑部更是“重灾区”。除了呼吸道,研究人员还在大脑、心脏、淋巴结、胃肠道、肾上腺和眼睛等不同组织中分离出活的新冠病毒,在55个检测样本中,25(45%)个样本分离出病毒。
△ 身体各组织器官新冠病毒RNA检测,病毒存在于各个组织器官中
其中一个最极端的患者,从感染确诊到去世,中间足足间隔了230天,却仍在他身体14个不同器官、组织内仍检出了病毒RNA残留,尤其是大脑中的多个区域,也存在持续驻留的病毒RNA。
△ 11名死于新冠感染并接受全身和大脑采样的尸检报告,时间最长达230天
而且,大部分感染31天以上才死亡的患者中,多个器官、组织中也均能检测出病毒RNA,尽管他们的核酸检测早已转阴,甚至血浆里也没有了病毒残留。更重要的是,他们还有一个共同的病毒RNA驻留器官,那就是脑子,尤其是小脑和脑干。而更令人震惊的是,在那些感染14天之内就去世的死者们体内的各个器官中,均检出了大量的病毒sgRNA,而所谓的毒sgRNA就是病毒正在复制的实锤!并且病毒sgRNA不止存在于14天之内就去世的组,14-30天去世的组也有61.5%的患者检出,31天以外去世的组有42.9%的患者检出。这么说来,44位感染过新冠的死者中39位直接死因可归为新冠感染,比例高达88%!细思极恐。NIH的大牛们不止给出了新冠长期驻留体内的实锤,也揭开了新冠确是存在长期感染及引发后遗症的真相。这从以往的数据中就可窥见一二,新冠不只是一种呼吸系统疾病,累及的器官也不止肺部一处,而是会在人体多个组织器官,包括胃肠道、心血管、大脑和神经系统等产生影响。根据Journal of American Medical Association发表的一篇文章,87.4%的新冠患者被确认至少有一种后遗效应,其中有许多症状表现为疲劳(53.1%)、呼吸困难(43.3%)和胸痛(21.7%)。那么,在当今“新毒王”+“长新冠”的双重洗礼下,国内外的干细胞研究成果如何?是否能够成为疫情时代下人类新的“庇护伞”?早在2020年12月,日本为应对国内新冠后遗症就已宣布开始针对新冠后遗症的间充质干细胞研究计划,利用间充质干细胞通过抗炎和组织再生作用治疗新冠肺炎后遗症。
△ 全球首次在日本开始治疗 COVID-19 后遗症的成人干细胞疗法
间充质干细胞是一类具有自我复制和多向分化潜能的干细胞,它不仅能够促进损伤组织的再生与修复,还拥有良好的免疫调节能力。当免疫系统激活不足时,间充质干细胞可以促进炎症反应,当免疫系统过度激活时,间充质干细胞则可以抑制炎症,起到调控免疫细胞的功能,并对各种炎症性相关疾病均有很好的应用前景。早在国内疫情爆发之时,干细胞也被迅速列入抗击新冠肺炎的“国家科技攻关紧急专项”,中国科学院院士王福生团队一直致力于相关研究。2022年,王福生院士团队在柳叶刀子刊eBioMedicine上发表了使用间充质干细胞治疗新冠肺炎重症患者随访1年的结果,证实了间充质干细胞对于新冠肺炎患者肺部病变的改善和症状的缓解具有长期益处。患者在接受间充质干细胞治疗后症状得以改善,生活质量提高,睡眠困难、日常活动和数字评定量表评分均得到显著改善。在12个月的随访过程中,实验组的有17.9%的患者CT图像恢复正常,而这些在安慰剂组中均未见到,证实了间充质干细胞可以逆转新冠病毒带来的肺部损害。在随访过程未出现不良事件,其安全性也是值得肯定的。
△ 间充质干细胞对重症 COVID-19 患者肺损伤的影响
不止如此,抗疫的这些年来,国内外各临床机构、研究院所在干细胞治疗新冠及后遗症上的研究也不胜枚举,全球科学家们众志成城,共同探寻有效的应对方案,而面对未来很长时间内与人类共存的新冠病毒,间充质干细胞已经成为了抗疫的“新武器”。临床上正在探索新冠后遗症的机制,干细胞疗法也从治疗新冠转向了长期干预新冠后遗症的新方案,相信随着研究的深入,干细胞疗法也将为饱受新冠后遗症折磨的患者带来康复希望。
随着国内防疫政策的变化,反复且愈演愈烈的新冠疫情远没结束,以干细胞为主的细胞疗法也正在如火如荼的研究中前行,干细胞在新冠治疗及后遗症干预上的成效是科学界有目共睹的,相信随着研究的深入,细胞疗法也能成为干预后遗症的众多方案中的安全且潜在有效的治疗选择,为更多患者带来新希望。
' fill='%23FFFFFF'%3E%3Crect x='249' y='126' width='1' height='1'%3E%3C/rect%3E%3C/g%3E%3C/g%3E%3C/svg%3E)
干细胞是从脐带、胎盘中提取的一种修复器官机理的未完全分化的原始细胞,具有自我更新、多项分化和高度繁殖的能力,医学上称为“万能细胞”,它是形成人体各种组织器官的起源细胞。干细胞对临床上一些疑难疾病的治疗如:脑瘫、老年痴呆、脑萎缩、帕金森病、中风、肝硬化、糖尿病、红斑狼疮、股骨头坏死、软骨和关节损伤、心脏和脊髓损伤等,取得显著效果,它拥有更加鲜活细胞能量,可以快速、有效进入体内,分泌多种有益细胞因子,调节体内微环境,激活干细胞再生能力,重启时光之门,追溯青春绽放源头,实现对人体衰老状态减缓,同时有效改善身体亚健康以及预防肿瘤发生。

|