
乳腺癌已成为全球发病人数最多的第一大癌症,因其“易转移复发、高死亡率”成为女性健康“头号杀手”,免疫细胞疗法弥补了传统治疗方式的缺憾,重建免疫系统,避免复发转移,成为乳腺癌治疗的“潜力股”。
世界卫生组织国际癌症研究机构(IARC)发布的2020年数据显示,乳腺癌发病人数首次超过肺癌,约占新发癌症病例的11.4%,成为全球最常见的癌症。在新确诊的患者中,每8名就有1名是乳腺癌患者。
在我国,乳腺癌高居中国女性癌症发生率第1位。根据世界卫生组织最新的数据,中国每年大约新增乳腺癌患者42万人,而且近年来发病率每年递增3%到4%。显而易见,乳腺癌已经成为威胁中国女性健康的“头号杀手”!
目前,我们所熟知的癌症治疗方法有手术、化疗和放疗,但其“易转移、有副作用”的缺点却无法避免。
随着科学技术的不断发展,以机体免疫系统为原理的免疫细胞疗法已在临床上有所应用。免疫细胞疗法不仅可以弥补其他治疗方式的缺憾,还能避免癌症复发和转移,提升机体免疫力, 成为延长患者寿命的福音。其中,基于NK细胞、T细胞技术的乳腺癌疗法,更是取得了长足的进步。
McMaster大学的研究人员发现,经过体外扩增的NK细胞可以用于乳腺癌治疗。同时,从长期深低温保存的NK细胞并不影响它的扩增能力和抗肿瘤活性,这使得它成为推进NK细胞免疫治疗领域的一个可行细胞来源。
该项成果发表于《Journal of immunotherapy》(免疫学杂志),其研究成果使得受乳腺癌困扰的患者有了更多的治疗途径和康复希望。
McMaster大学的研究人员从脐带血中分离并体外扩增了大量激活的NK细胞,然后对这些NK细胞杀伤乳腺癌细胞的作用进行了观察。
研究人员根据冻存时间长短,分为三个组别:
长期组——深低温冻存1-10年;
实验结果显示:冷冻保存对NK细胞的扩增潜能和抗肿瘤活性都没有影响。同时,这些细胞在攻击原发性乳腺癌细胞时特别有效。
研究人员Ashkar说:“我们证明了,可以低温保存大量的NK细胞,这使得它成为推进NK细胞免疫治疗领域的一个可行的细胞来源,特别是当它用于乳腺癌时。”
在2018年,Nature Medicine刊登了一项重磅研究,美国国家癌症研究所的研究人员研发了一种新型的免疫疗法,一位患者的免疫系统经过调整后完全消除了乳腺癌细胞,为所有常规治疗无效的晚期癌症提供了一种可能的治疗方法。这是NK细胞免疫疗法首次成功应用于晚期乳腺癌。
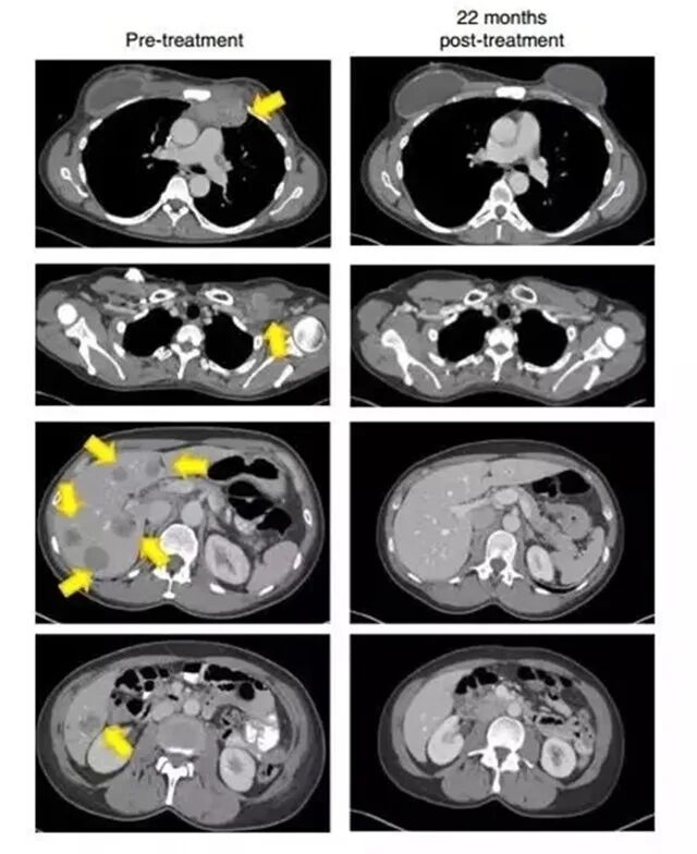
2003年,朱迪·珀金斯(Judy Perkins)被确诊为早期乳腺癌,手术后朱迪几乎痊愈了,她以为自己早已远离了死神。没想到十年后,癌症复发,并全身多处继发性癌症,鉴于病情较严重,医生预测她最多只能活3个月。
在常规的化疗和激素疗法失败后,朱迪在美国国家癌症研究院找到了一项新型免疫疗法的临床试验,治疗方法是收集她的肿瘤浸润淋巴细胞(TIL),确定可以识别她癌症的淋巴细胞,并在实验室中扩增并使用这些细胞。
四个月后,朱迪接受了900亿个有特异性杀伤能力免疫细胞的输注,一周过后,她感觉自己的身体起了明显的变化,比如胸部的肿瘤感觉逐渐缩小。又过了一两周,胸腔内的肿瘤完全消失了。
22个月后,影像检查显示(黄色箭头)肿瘤消失得无影无踪
该结果对于癌症治疗领域而言,是一个历史性的突破。因为Judy Perkins已经是终末期癌症病人,相当于被传统疗法宣告了“死刑”,而细胞免疫疗法让她迎来了新生。
肿瘤是很难完全消除的,当你宏观上发现它在某一个部位存在的时候,它可能也存在于身体的其他地方,这就是手术、放化疗后易复发转移的原因。
以乳腺癌为例,手术后约有30%-40%的乳腺癌患者会出现复发或转移。
如果能够在术后五年内——这个“治愈”癌症的“黄金时段”及时补充免疫细胞,把血管、淋巴中游走准备“着陆”的癌细胞扼杀在摇篮中,这样就可以提前降低癌症转移风险,在癌症转移的早期阶段有效掐灭癌细胞蔓延的火苗。
而且作为覆盖全身的“防卫系统”,只有恢复免疫系统功能,才能更好的起到抵御病毒、感染、癌细胞的作用。而对于癌症患者,免疫力本就很差的情况下,重建免疫系统功能,恢复免疫力成为了避免转移的根本措施。
在此建议大家通过体外补充足够数量的免疫细胞,这不仅能弥补因放、化疗而缺失的免疫细胞,还可以增强机体免疫力,重建治疗后的免疫系统,在对抗病毒感染、肿瘤组织上,让你的健康的免疫细胞发挥更强劲的功效,也为你未来的健康多一重生命保障。
' fill='%23FFFFFF'%3E%3Crect x='249' y='126' width='1' height='1'%3E%3C/rect%3E%3C/g%3E%3C/g%3E%3C/svg%3E)
干细胞是从脐带、胎盘中提取的一种修复器官机理的未完全分化的原始细胞,具有自我更新、多项分化和高度繁殖的能力,医学上称为“万能细胞”,它是形成人体各种组织器官的起源细胞。干细胞对临床上一些疑难疾病的治疗如:脑瘫、老年痴呆、脑萎缩、帕金森病、中风、肝硬化、糖尿病、红斑狼疮、股骨头坏死、软骨和关节损伤、心脏和脊髓损伤等,取得显著效果,它拥有更加鲜活细胞能量,可以快速、有效进入体内,分泌多种有益细胞因子,调节体内微环境,激活干细胞再生能力,重启时光之门,追溯青春绽放源头,实现对人体衰老状态减缓,同时有效改善身体亚健康以及预防肿瘤发生。

|