设为首页 加为收藏 联系我们
当前时间:
咨询热线:400-1010-468  
http://www.shbzsw.com.cn  
E-mail:SHBZSW@163.COM  
地址:上海市世贸大厦
行业新闻 您的当前位置:首页 -> 新闻中心 -> 行业新闻  
 
“阳康”后警惕心肌炎!浅谈干细胞在心肌炎中的应用
发布时间:2023-03-06 文章来源:本站  浏览次数:1089
图片
从Long COVID(长新冠)一词诞生伊始,人们开始意识到:新冠病毒不止是一场呼吸系统的“战争”,而是一场累及全身各组织、器官的“浩劫”。研究显示,新冠患者可能会遭遇心肌炎、脑雾、肺炎、男性性功能障碍、神经系统、眼疾等多种后遗症影响,“Long COVID”俨然威胁到了人们的正常生活,各大医院甚至专门开设了新冠康复门诊。
本系列撰文《“长新冠”诊疗室》将以最大众化的几种新冠后遗症为基础,结合国际顶级学术期刊研究,深度剖析新冠后遗症的背后机制,详细阐述干细胞疗法在这场抗“遗”战疫中的应用及发展前景,看细胞疗法如何破局“长新冠”,带领我们走出疫情“余震”。
图片
最近,“阳康门诊”异常火爆,每日接诊量甚至达上百名,检查一通下来后发现:20%有轻度肺炎,30%是轻微心肌炎。
“稍微走几步路就气喘吁吁,晚上心脏“砰砰砰”跳得很快”,来看诊的不少患者都有胸闷,心悸、气喘等症状。这也让“心肌炎”再次成为“焦点”。
而在新冠“狂飙”的美国,数据更是有点吓人。美国CDE曾统计900余家医院发现,新冠感染住院者心肌炎发生率,是非新冠感染住院者的16倍!
图片
△ 美国CDE数据显示,新冠病毒的确会引发心肌炎,且年轻人患病率居高
而且男性普遍高于女性,尤其是身体健康的年轻人“中招”率更高。
新冠后诱发的“心肌炎”需要担忧吗?它与新冠到底有什么关系?新冠后出现哪些症状需警惕心肌炎?除了传统支持治疗,干细胞在病毒性心肌炎的临床应用情况怎样?让我们一起来了解下。
01 

新冠后“心肌炎”不可小觑,像一颗隐藏的炸弹随时可能爆炸

心肌炎,顾名思义就是心肌的炎症性病变。可由感染(如病毒、细菌或真菌)或非感染因素(如自身免疫疾病等)引起。
通常情况下,感染病毒后,发展到心力衰竭的概率很低,对于症状较轻的患者,日常多休息,心肌损伤就会得到修复。
但这波新冠诱发的多属于“病毒性心肌炎”,具有起病急、病情重、进展快等特点,也因为它的严重性,可短时间内导致心源性猝死,死亡率竟高达80%,这就不得不让人“惶恐”!所以,日常生活中,如果出现心慌、心悸、胸闷等情况,千万不可小觑。
尤其是“阳康”后就去运动,更是猝死的“导火索”。像赛场上的运动员,心脏问题总是令人“谈之色变”,像一颗隐藏在体内随时会被引爆的炸弹。
图片
△ 当今足坛最优秀的左后卫阿方索-戴维斯受新冠后“心肌炎”影响,不得不缺席比赛
因此,警惕“爆发性心肌炎”,日常生活中就要多注意,可根据症状轻重程度,进行简单的区分:
早期心肌炎:表现为疲乏无力、胸闷气短、心悸、头晕、食欲不振、恶心、呕吐、呼吸困难、胸痛等;
轻度病毒性心肌炎:出现心律失常,心动过速或缓慢等症状,一般可通过心电图发现心肌缺血改变;
重度病毒性心肌炎:病情凶险,死亡率极高,可达70%~80%,于数小时或数日内死亡或猝死。
一旦身体发生任何不适,及时就医,切莫大意。

02 

炎性因子释放增多,是引发“爆发性心肌炎”的主因

另外,从“阳康门诊”医生那里得知,这些有着心率加快、心悸、胸闷等症状的“阳康”患者,经肌钙蛋白等指标检查后普遍发现,心肌存在轻度损伤。
很显然,这是新冠病毒入侵心肌所致,那么,病毒如何就诱发了“心肌炎”呢?
人体的免疫系统可以说是非常复杂的,但在病毒的持续攻击下,难免处于“疲惫”状态,此时的病毒就很容易“趁虚而入”,可能的机制有:
病毒直接侵犯:病毒直接侵犯心肌细胞或肺泡内感染的巨噬细胞向肺外移行;
细胞接到的细胞毒性:淋巴细胞移行至心肌细胞,引起炎症,诱发细胞因子释放综合征;
干扰素过度反应:干扰素刺激先天性和适应性免疫系统过度反应。
图片
△ 新冠病毒与血管紧张素转换酶2(ACE2)结合,可能发生的高炎症状态(即细胞因子风暴),如炎症细胞因子(IL-6和TNF-α)会导致心肌损伤(如病毒性心肌炎)和死亡率增加
而一旦病毒入侵成功,损伤的心肌细胞不仅会诱发心肌炎,也有可能引起其他心脏问题。
哥伦比亚大学心脏病学家们通过观察氧化应激(不稳定分子的有害产生)和炎症信号的增加,以及钙的变化发现:患有COVID-19的人患重大不良心血管事件(包括心脏病发作、中风和死亡)的可能性高达55%。他们也更有可能有其他心脏问题,如心律失常(心律异常)和急性心力衰竭、心源性休克等。
图片
△ 哥伦比亚大学心脏病学家发现,感染COVID-19的小鼠心脏的纤维化和扩张百分比增加,这是小鼠早期心肌病的常见指标。
从从本轮新冠大规模爆发的“心肌炎”案例来看,感染病毒后炎性因子释放增多,心肌被病毒侵袭严重受损,是引发爆发性心肌炎的主因。
显微镜下,可以清晰的看到心肌组织会呈现局限性或弥漫性的急性或慢性炎症性病变,有炎性细胞浸润、心肌细胞损伤坏死及纤维化等病理改变。
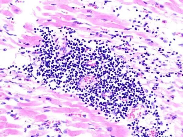
图片
△ 病毒感染后的心肌细胞显微镜照片
尽管因新冠病毒感染后暴发性心肌炎作为死亡原因是罕见的,但新冠感染后因炎性因子释放而导致全身症状重,且心肌都有不同程度的受损,足以看得出新冠病毒对心肌的侵害有多大。
但很让人头疼的是,临床上目前针对病毒性心肌炎没有特效药,主要以综合各种药物进行治疗。
比如以清除敏感细菌为主的抗生素治疗;以保护心肌细胞为主的药物治疗;以及使用干扰素或干扰素诱导剂预防和治疗心肌炎;肾上腺皮质激素的应用;针对免疫情况选用免疫增强剂、转移因子、胸腺肽针剂、干扰素等,或者是针对出现的症状进行对症治疗。
临床治疗手段有限,像抗生素等治疗方法不仅对患者病情有要求,其副作用也不可忽视。除了传统的临床治疗手段之外,近几年,干细胞疗法在心肌炎的多种病症中也展现了不错的疗效,从疾病诱发机制上,为剖析和解决疾病难题带来了新选择。

03 

控炎、修复、再生,干细胞从根源上促进心脏功能恢复

病毒感染心肌细胞,诱导免疫系统过激反应,炎性因子释放过度,是导致心肌坏死,暴发性心肌炎的主要因素。
而作为“万用细胞”的干细胞早就在心肌炎的治疗中展现了它的安全有效性。
干细胞不仅具有良好的免疫调节功能,能够使免疫处于平衡状态,且干细胞的再生功能还能为受损的心肌细胞做好“替补”工作,同时还能促进血管新生,改善心肌缺血,提高缺血心肌的收缩功能,在心血管疾病治疗中显示出强劲潜力。
此外,除了免疫调节、组织再生功能,干细胞还具有旁分泌功能,分泌促血管新生因子、干细胞因子等,通过组织间隙作用于周边细胞,促进血管新生、抑制心肌细胞凋亡,促进心肌前体细胞增生分化,从而促进心脏功能的恢复。
目前,一大批临床试验已经验证,干细胞在修复受损心肌细胞,增强保护心脏能力上,为挽救心脏累疾病做出贡献。

04 

间充质干细胞攻克病毒性心肌炎

在攻克病毒感染性心肌炎的研究中,一项研究采用脐带间充质干细胞对柯萨奇病毒诱导心肌炎的机制进行了研究。
结果表明间:充质干细胞可显着减轻心肌损伤,减少促炎细胞因子的产生并改善心脏功能,这将有利于未来间充质干细胞治疗心肌炎。
图片
△ 脐带间充质干细胞来源的外泌体通过激活 AMPK/mTOR 介导的自噬通量通路减轻病毒性心肌炎
国内关于病毒性心肌炎的研究也取得了一定进展,最新研究显示,间充质干细胞还具有免疫调节和抗氧化作用,且其不能被柯萨奇病毒(CVB3)感染 ,这使得MSCs成为治疗病毒性心肌炎(VMC)的主要细胞来源。

05 

间充质干细胞研究炎症性心脏病

对于病毒感染阴性但体内仍持续存在病毒的患者,炎症性心肌炎的传统治疗方法有限且疗效欠佳。既然炎症性心肌病存在免疫功能紊乱,那么,间充质干细胞治疗就具有了独特优势。
有实验证实,间充质干细胞通过心肌内注射或静脉输注的方法,可减轻柯萨奇病毒B3(Coxsackievirus B3,CVB-3)感染性心肌炎和自身免疫性心肌炎的症状,减少心肌损伤和功能紊乱。
图片
△ 间充质干细胞治疗炎症性心肌病的研究进展

06 

间充质干细胞改善非缺血性心肌病

有研究学者发现间充质干细胞(MSCs)同样适用于非缺血性心肌病的治疗。
一项临床试验招募22 名非缺血性心肌病患者随机分配静脉回输MSCs 或安慰剂,治疗后发现MSCs 治疗组6分钟步行距离明显增加,同时改善功能状态评分。
图片
△ 静脉回输同种异体间充质干细胞治疗非缺血性心肌病
因此,凭借着干细胞的多向分化、组织再生、免疫调节等功能,干细胞在心肌疾病的治疗上展现了越来越多的优越感,在目前开展的多项临床试验中,间充质干细胞修复心肌再生,调节免疫炎性都成为了治疗心肌疾病的新手段。
新冠远还没有结束,变异毒株随时可能趁虚而入再次影响人们的身心健康,“后阳康”时代下,我们仍需谨慎,对于感染病毒后诱发的多后遗症切莫大意,而除了临床对症治疗之外,干细胞医疗的发展也正在给更多患者带来新选择、新希望。
图片

       干细胞是从脐带、胎盘中提取的一种修复器官机理的未完全分化的原始细胞,具有自我更新、多项分化和高度繁殖的能力,医学上称为“万能细胞”,它是形成人体各种组织器官的起源细胞。干细胞对临床上一些疑难疾病的治疗如:脑瘫、老年痴呆、脑萎缩、帕金森病、中风、肝硬化、糖尿病、红斑狼疮、股骨头坏死、软骨和关节损伤、心脏和脊髓损伤等,取得显著效果,它拥有更加鲜活细胞能量,可以快速、有效进入体内,分泌多种有益细胞因子,调节体内微环境,激活干细胞再生能力,重启时光之门,追溯青春绽放源头,实现对人体衰老状态减缓,同时有效改善身体亚健康以及预防肿瘤发生。

图片

上一篇: 干细胞为干眼症提供了新的前景
下一篇: 干细胞治疗智力障碍安全有效
关于我们  |  公司掠影  |  新闻中心  | 联系方式  |  在线留言
版权所有 Copyright(C)2015-2016 上海本正清源干细胞科技集团有限公司