设为首页 加为收藏 联系我们
当前时间:
咨询热线:400-1010-468  
http://www.shbzsw.com.cn  
E-mail:SHBZSW@163.COM  
地址:上海市世贸大厦
行业新闻 您的当前位置:首页 -> 新闻中心 -> 行业新闻  
 
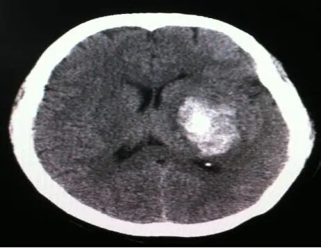
干细胞为脑出血后遗症的康复带来希望
发布时间:2023-07-17 文章来源:本站  浏览次数:861
图片

脑出血,俗称“脑溢血”,属于中枢神经系统损伤,是指非外伤所导致的脑实质出血,由自身原因引起的脑内血管自发性破裂,从而造成脑内出血。脑出血具有“发病迅猛、且没有预兆、病情凶险、变化快、复发率高、高致残率和死亡率”的特点,早期死亡率很高,急性期的病死率可达30%~40%,幸存的患者会留有多种不同程度的后遗症,如昏迷、偏瘫、认知障碍、语言障碍、吞咽障碍等。

图片

我国是世界上脑出血疾病发病率较高的国家,中老年人是脑出血发病的主要人群,以40—70岁为最主要的发病年龄,且越来越年轻化,秋冬季尤甚,是目前中老年人主要致死性疾病之—,脑出血已成为严重的社会问题和医学难题。

脑出血常见病因:高血压脑血管畸形动脉瘤血液病、抗凝或溶栓治疗、血管炎、瘤卒中、梗死后出血、凝血障碍疾病等,极易引发脑出血。

脑出血常见诱发因素:气候变化、吸烟、饮酒、肥胖、情绪激动、过度劳累等。

脑出血易发人群:中老年人、高血压病、糖尿病、阻塞性睡眠呼吸暂停、长期吸烟饮酒、肥胖或超重、作息不规律、工作压力比较大的人群。

图片

目前,临床上对脑出血后遗症的治疗主要为药物治疗、康复治疗、中医药治疗、高压氧治疗、生物反馈治疗治疗等,但这些传统的治疗方式,对脑出血后遗症的效果并不理想,且后遗症的治疗过程缓慢且漫长,不仅患者自己的身体和心理承受巨大的压力,也给患者家庭带来沉重的经济负担和生活压力。

在临

床上对于脑出血后遗症的治疗,还是缺乏更有效的手段,国内外的科学家都在通过科学研究,努力开发出一种新的、安全的、有效的治疗手段,去对抗这类让人们饱受折磨的疾病。

近年来新兴起的干细胞治疗,作为一种安全有效的治疗手段,渐渐进入科学家的视野,让临床治疗脑出血后遗症成为了可能。

干细胞治疗技术属于“再生医学”,是一种全新的治疗手段。干细胞是一类具有自我更新能力的多潜能细胞,可迁移至损伤部位,分化成少突胶质细胞、神经元和星形胶质细胞等,具有自我更新和再生各种组织器官的潜在功能,在合适条件下还可以分化为神经细胞,达到在结构和功能上的修复或替代,使神经通路得以再生,为神经再生提供支架与桥梁。同时干细胞还可以产生多种细胞外基质,填充机体损伤后遗留的空腔,为再生轴突提供支持物。干细胞还可分泌不同类型的神经营养因子以及支持因子,改善局部微环境,促进机体内组织的再生。同时干细胞具有向内皮祖细胞和神经细胞分化的能力,利于受损神经细胞修复,并通过自身免疫调控,减轻免疫反应,实现神经保护功能。

干细胞对脑出血后遗症的作用机制:

1.分泌多种营养性细胞生长因子,提高脑部神经保护、营养支持;

2.激活内源性神经干细胞的增殖分化;

3.抑制神经细胞凋亡;

4.促进轴突和髓鞘的再生;

5.促进微血管内皮细胞增殖而新生血管,形成功能性血管网络,重建血液循环;

6.免疫调节和抗炎作用,消除出血部位的脑水肿,减少炎症因子水平,减少神经细胞的损伤和坏死。

图片

干细胞技术在我国始终保持着快速发展的节奏,已经成为了脑出血后遗症的全新治疗手段,相信在不久的将来,干细胞联合综合康复治疗脑出血后遗症,会提高患者生活自理能力,改善生活质量,为患者的康复带来新的希望。

图片

       干细胞是从脐带、胎盘中提取的一种修复器官机理的未完全分化的原始细胞,具有自我更新、多项分化和高度繁殖的能力,医学上称为“万能细胞”,它是形成人体各种组织器官的起源细胞。干细胞对临床上一些疑难疾病的治疗如:脑瘫、老年痴呆、脑萎缩、帕金森病、中风、肝硬化、糖尿病、红斑狼疮、股骨头坏死、软骨和关节损伤、心脏和脊髓损伤等,取得显著效果,它拥有更加鲜活细胞能量,可以快速、有效进入体内,分泌多种有益细胞因子,调节体内微环境,激活干细胞再生能力,重启时光之门,追溯青春绽放源头,实现对人体衰老状态减缓,同时有效改善身体亚健康以及预防肿瘤发生。

图片

上一篇: 一文解答干细胞9大疑问
下一篇: 干细胞调节免疫失衡,终结过敏之痛
关于我们  |  公司掠影  |  新闻中心  | 联系方式  |  在线留言
版权所有 Copyright(C)2015-2016 上海本正清源干细胞科技集团有限公司