设为首页 加为收藏 联系我们
当前时间:
咨询热线:400-1010-468  
http://www.shbzsw.com.cn  
E-mail:SHBZSW@163.COM  
地址:上海市世贸大厦
行业新闻 您的当前位置:首页 -> 新闻中心 -> 行业新闻  
 
NK细胞疗法,掀起抗癌新革命
发布时间:2023-07-28 文章来源:本站  浏览次数:771
图片
据世界卫生组织统计,癌症已成为全球第二大死因,近六分之一的死亡由癌症造成,在我国,癌症生存率只有40%。
人为什么会得癌症?一个惊人的事实是,每个人体内都有癌细胞
不止癌症患者,正常人每天也都会产生5000个左右的癌细胞,但多数人的癌细胞并不会形成真正的癌症。
因为人体内有一群“健康卫士”在保护我们,它是癌症的天敌,也是世界上最好的医生。它就是免疫细胞
一旦癌细胞出现,免疫细胞就会高效地识别和消灭,保护我们的身体健康。这就是大多数人不会得癌症的原因。
图片
不只是癌症,人体90%以上的疾病与免疫系统失调有关如果失去免疫细胞的保护,即使最轻微的感染也足以让人丧命。
癌症治疗,不少人所熟知的方法无非是手术和化疗,少数知道有放疗。而随着生物技术迅速发展,以机体免疫功能抑制为基础NK细胞免疫疗法已被广泛应用于临床,并取得一定成绩,成为继手术、放疗和化疗之后又一重要肿瘤干预手段。

一个NK细胞就可杀死27个癌细胞

其中,自然杀伤细胞,也就是NK细胞,是免疫军团中的“特警部队”,对抗癌细胞和病毒最强、最有效的免疫细胞
NK细胞直接、灵敏、反应速度极快,不需要被激活就能直接消灭癌细胞,被医学界公认为“抗癌第一道防线”。
研究发现,一个NK细胞就可杀死27个癌细胞。NK细胞对几乎所有常见的癌细胞类型都有杀伤作用,包括肺癌、乳腺癌、肝癌、淋巴癌、食道癌等。
我们来看一下超高清显微镜下,NK细胞是如何攻击并消灭癌细胞的:



攻击 瓦解 消灭



从上图可以看出:NK细胞可以构筑起一道坚固的城墙,及时发现并杀死病变细胞,从而有效避免癌症发生。
但是一旦NK细胞的活性降低,它就会从王者退化为青铜,战斗力就会锐减,病毒、细菌和癌细胞就可能逃脱监视,大大增加患病及患癌风险。

图片

细胞的衰老=人的衰老=患病概率提高
40岁以后,NK细胞的数量、活性及功能会急剧下降,各种疾病都会不请自来。及时补充体内NK细胞的数量,成为激活免疫打败癌症的关键。
那么,什么方法能够补充NK细胞数量,延长NK细胞的生命呢?

NK细胞疗法——抗癌的新星

通俗地说,细胞免疫疗法就是采集人体自身免疫细胞,经过体外培养,使其数量倍增,然后再回输到人体一方面用来消除癌细胞、突变细胞,另一方面激活和增强机体免疫力,控制癌细胞的转移和复发。这类疗法包括CAR-T、TCR-T、NK等,目前在全球被广泛的研究。
尽管我们所有人体内都有NK细胞,它们可以迅速进行防御并直接攻击肿瘤细胞,起到保护我们远离癌症的作用。但是人体内NK细胞数量较少,仅占白细胞的10%。并且研究发现,人类到了25岁以后,免疫力逐步下降,NK细胞数量变得更少,肿瘤患者及肿瘤术后患者体内NK细胞的数量及活性都发生了一定的改变,不能非常有效地发挥抗癌作用。
1、它是人体与生俱来的免疫细胞,是走在首位的“战士”,几乎所有的肿瘤细胞都会先受到NK细胞的攻击。
2、它是免疫系统中的“吹哨人”,情况反馈及时,一旦发现“敌情”,迅速“上报”并启动整个免疫系统的免疫防御和免疫杀伤功能。
3、它具有广谱的抗肿瘤作用,不需要肿瘤特异性识别,且不会被细胞表面的主要组织相容性复合体(MHC)抑制活性限制。启动时间最快,而T细胞则需要经过抗原提呈之后才能分清“敌我”。
美国国家癌症中心早于1985年已经把NK细胞免疫疗法列为继手术、放疗、化疗之后癌症干预第四种方法。

NK细胞的作用

1、免疫监视
NK免疫细胞能高度识别、监视体内细胞病变,防止超敏反应,执行免疫监视和抗肿瘤的作用。
2、清除病原体
NK免疫细胞具有抵抗外来的细菌和病毒的作用,在病毒感染时不需要抗原刺激,可以产生细胞因子,例如白细胞介素、干扰素等因子,对肿瘤的发生和感染起到一定的杀伤作用。
3、抗衰老
免疫细胞可诱导老细胞凋亡,促进信息报产生,提升精力、体力、延缓衰老。
4、杀伤肿瘤细胞
NK细胞是机体重要的免疫细胞,可靶向性杀伤肿瘤细胞,是未来治疗肿瘤的体细胞
5、调节人体免疫功能
NK细胞还可以调节人体免疫功能,防止产生免疫功能异常以及自身免疫性疾病

NK细胞疗法屡创生命奇迹

作为抗癌的第一道防线,NK细胞已经成为免疫治疗临床试验中重要的一环,早在2000年,研究就已经证实小鼠癌症的发生和NK细胞自身的缺陷有关。这为后续的研究奠定了基础。
此后在2013年,对超过3500名癌症患者长达11年的随访中,确定NK细胞的活性越好和更好的癌症治疗效果以及更低的癌症复发风险相关。
在最新的研究中,NK细胞疗法被广泛用于各种癌症的治疗,包括:血液系统肿瘤、神经母细胞瘤、卵巢肿瘤、横纹肌肉瘤、乳腺癌、胃癌等等,在这些研究中,都取得了不错的治疗效果,包括在19例的AML患者接受输注后有5名癌症患者获得缓解。
案例1:国外知名杂志《Oncotargets and Therapy》的一例试验报告显示:NK细胞疗法让晚期肝癌患者肿瘤显著缩小,从生存期仅3个月到超过4年!

图片

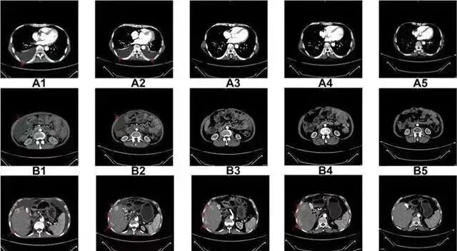
△  NK细胞治疗前和治疗期间的CT扫描结果

案例2:国内一名60岁的卵巢癌晚期患者,在接受了体外扩增,高度活化的同种异体NK细胞的治疗后,CA125水平从11,270降至580,所有腹水都消失了。此外,CT扫描的肿块体积减小,并且没有出现副作用。

图片

案例3一名广泛期小细胞肺癌患者,在进行4个疗程化疗和4次高度活化NK细胞回输后,患者第一次进行治疗后的CT复查,结果显示,肿瘤缩小到了原来的1/8。而且距发病第六年的CT复查中,仍旧没有发现任何异常及复发的迹象。


图片

大量临床案例表明:NK免疫细胞已成为治疗肿瘤医治的新方法,弥补了手术、放疗、化疗“不完全、易转移、副作用大”的弊端。可以重建肿瘤患者免疫系统,提高患者的免疫力,改善肿瘤病人的生活质量。
图片

       干细胞是从脐带、胎盘中提取的一种修复器官机理的未完全分化的原始细胞,具有自我更新、多项分化和高度繁殖的能力,医学上称为“万能细胞”,它是形成人体各种组织器官的起源细胞。干细胞对临床上一些疑难疾病的治疗如:脑瘫、老年痴呆、脑萎缩、帕金森病、中风、肝硬化、糖尿病、红斑狼疮、股骨头坏死、软骨和关节损伤、心脏和脊髓损伤等,取得显著效果,它拥有更加鲜活细胞能量,可以快速、有效进入体内,分泌多种有益细胞因子,调节体内微环境,激活干细胞再生能力,重启时光之门,追溯青春绽放源头,实现对人体衰老状态减缓,同时有效改善身体亚健康以及预防肿瘤发生。

图片


上一篇: 干细胞治疗膝关节病症的究极法宝
下一篇: 免疫细胞辅助干细胞治疗红斑狼疮效果明显
关于我们  |  公司掠影  |  新闻中心  | 联系方式  |  在线留言
版权所有 Copyright(C)2015-2016 上海本正清源干细胞科技集团有限公司