设为首页 加为收藏 联系我们
当前时间:
咨询热线:400-1010-468  
http://www.shbzsw.com.cn  
E-mail:SHBZSW@163.COM  
地址:上海市世贸大厦
行业新闻 您的当前位置:首页 -> 新闻中心 -> 行业新闻  
 
干细胞为脑中风及其后遗症患者带来福音
发布时间:2023-09-07 文章来源:本站  浏览次数:1011
图片

  // 前言 //  

中风是全世界第二大死因,也是造成残疾的首要原因。中风时,大脑的血液循环被阻断或大幅降低,导致大脑受损,大脑的氧气和营养供给被切断,大脑的细胞在几分钟之内就会死去。

有研究表明,中风引起的脑部损害可能会超过中风的直接影响的区域,并且在发病后24小时之内就会出现更严重的症状。干细胞技术的发展,为中风患者的康复提供新的医疗策略!

脑中风,是一种突发的脑血液循环障碍性疾病,发病迅速、死亡率和致残率极高。我国脑中风发病率逐年递增,每年罹患脑中风病的人数多达 200 万。
脑中风可导致众多严重的临床症状,如突然昏倒意识不清、面部扭曲口眼歪斜、口齿不清表达费力、半身不遂行动障碍等。
脑中风最初是血液不能顺利进入大脑,从而导致脑组织的缺血、缺氧,进而引起脑组织损伤。
图片

 脑血管堵塞、脑出血都是脑中风典型症状

此外,脆弱的神经细胞的生存也遭遇威胁,神经细胞生理功能改变或丧失,部分神经细胞死去,神经网络传递受阻,严重的缺血缺氧还可以导致神经阻断。

目前,对于脑中风的治疗有静脉注射溶栓剂、西药、中药、针灸和推拿等传统治疗手段,但由于神经元的死亡是不可逆的,所以治疗效果非常不理想

#1

干细胞修复脑中风后遗症的作用机制

神经细胞及神经网络的损伤自然情况下被视为不可逆性损伤,加之神经细胞属于高度分化的细胞(无增殖能力),无法对损伤的神经细胞进行替代、补充。这是脑中风一旦患病,后遗症严重的主要原因。
图片
干细胞具有再生各种细胞、组织、器官的潜能,在一定条件下可以诱导分化成人体所需的细胞,比如中风病人所需的神经细胞。此外,干细胞还具有强大的旁分泌和免疫调节作用,能够分泌多种营养因子修复神经细胞,调节炎症反应
因此,干细胞技术依靠细胞替代和调节细胞因子分泌量两个主要思路对脑中风进行干预。

1

细胞替代

假设脑中风是一场发生在人脑中的战役,在这场战役中有的细胞不幸殒命“战死(坏死) ”,有的细胞成了“残兵( 受损) ”,他们都不能再坚守岗位发挥本职作用。
图片
而细胞替代即利用干细胞的多向分化能力,人工诱导产生新的“兵源(新细胞) ”,替代残兵补上空缺,为战役增加助力,以期能战胜疾病,已在多个实验证明干细胞可发挥此作用,且部分已有临床尝试。

2

调节多种细胞因子分泌

▶ 释放神经营养因子
输入体内的干细胞会向受损区域迁移、分化,并分泌神经营养因子。神经营养因子作用于神经元细胞体,促进神经反射活动的恢复,如学习、记忆等功能恢复;
▶ 降低轴突生长抑制因子表达
目前已明确的轴突生长抑制因子主要为 Nogo-A、MAG、OMgp,已有实验证明干细胞能抑制 Nogo-A 抑制因子表达、脑出血后损伤部位表达增多的 OMgp、MAG 也可在回输了间充质干细胞后得到下调;
▶ 抑制神经细胞凋亡
半胱氨酸天冬氨酸蛋白酶(caspase-3) 是一种能促进细胞凋亡的蛋白酶,可用来评估神经细胞凋亡情况。干细胞可降低caspase-3 的表达,由此抑制神经细胞的凋亡。

#2

干细胞修复脑中风后遗症的案例

近年来,国内外大量临床研究报道了干细胞干预中风的安全性、可行性和有效性,表明干细胞是中风疾病中极具前景的干预方案。
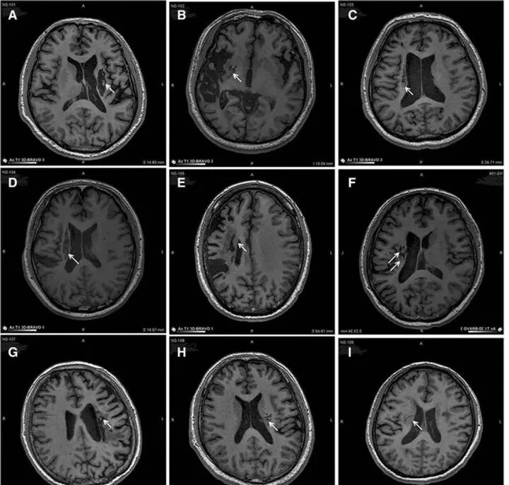
2019年,《干细胞转化医学》(Stem Cells Translational Medicine)杂志上公布,干细胞回输有助于脑卒中偏瘫患者运动功能的恢复。9名年龄在30至65岁之间的偏瘫患者参与了这项临床研究,他们在中风后5-24个月接受干细胞脑内回输,干细胞被回输至脑内梗塞灶附近。影像学研究的结果表明,干细胞输入区出现了新的神经组织,这也证明了干细胞干预偏瘫性脑卒中拥有一定的临床益处
图片

△通过24个月的随访临床结果,显示了相对于基线的分数变化

图片

△9例患者的影像学显示病变区域的组织都发生了明显变化

回输到脑内梗塞病灶的干细胞,通过分化为神经系统的各类细胞、分泌营养因子,促进神经和血管再生,修复受损的血-脑脊液屏障,减轻炎性反应等促进脑梗死动物的神经功能恢复,让9例临床患者偏瘫的症状得到了明显改善。
2021年6月14日,《干细胞转化医学》发表的一项美国Ochsner-LSU健康科学中心的临床研究报告显示,干细胞强大的旁分泌功能对脑神经具有良好的保护作用,能减轻脑卒中后损伤和改善神经功能障碍
图片
研究报告指出,间充质干细胞(MSCs)通过分泌神经保护因子的旁分泌信号传导来限制初始组织损伤,从而防止中风后急性脑损伤。主要体现在以下三个方面:
1)维持中风后脑血流量。
2)促进微血管及神经网络修复。
3)调节脑卒中后炎症反应。

#3

小结与展望

中风难治愈主要在于受损的神经元几乎无法再生,因此,一旦发病如果没有在黄金时间及时抢救,中风及后遗症就可能伴随接下来的一生。
随着干细胞技术的发展,干细胞能再生组织、器官及干细胞的免疫调节功能得到了更多的场景应用,也为干预修复脑中风后遗症提供了新途径。
目前,全球已开展大量采用干细胞技术干预中风的临床研究。干细胞能有效改善脑中风患者的神经功能缺损,提高患者自主行为能力和肢体运动功能,期待再生医学的进步能够帮助更多患者与家庭。
上一篇: 1vs27,肿瘤的天敌——NK细胞
下一篇: 糖尿病并发症“虎视眈眈”,看干细胞如何逆转?
关于我们  |  公司掠影  |  新闻中心  | 联系方式  |  在线留言
版权所有 Copyright(C)2015-2016 上海本正清源干细胞科技集团有限公司