设为首页 加为收藏 联系我们
当前时间:
咨询热线:400-1010-468  
http://www.shbzsw.com.cn  
E-mail:SHBZSW@163.COM  
地址:上海市世贸大厦
行业新闻 您的当前位置:首页 -> 新闻中心 -> 行业新闻  
 
干细胞让40岁脑中风患者完全康复
发布时间:2023-09-18 文章来源:本站  浏览次数:1071
图片
脑卒中
脑卒中,俗称中风,临床上又叫脑血管意外。是指起病迅速由脑血管病变引起的局限性或全脑功能障碍,持续时间超过24小时或因其死亡的临床症候群。
图片
脑卒中是一种突发性脑血液循环障碍,发病迅速,发病率和死亡率都很高。伴随着人口老龄化,预计中风患病率将逐渐增加 。因此,脑卒中的预防和后遗症的治疗已成为亟待关注的科学问题。
中风可分为缺血性中风和出血性中风。缺血性中风是由血管阻塞导致流向大脑特定区域的血流减少。出血性中风是由脑部血管破裂引起的,导致脑部或蛛网膜下腔出血 。
脑卒中是神经系统的常见病和多发病,其死亡率和致残率都很高,是目前人类疾病3大死亡病因之一。尤其是急性中风主要表现为偏瘫,影响患者生活质量的同时,也给家庭带来沉重的负担。
现有治疗手段的局限
脑卒中黄金救治时间窗很短,因此识别早期脑卒中发病很关键。采用FAST评估方法,如果出现图中症状,立即拨打120急救电话。时间就是生命。缺血性脑卒中的最佳治疗时间是在发病后的3-4.5小时内(俗称黄金救治时间窗)。
图片

FAST评估

目前,脑卒中的治疗方案有限。静脉注射组织纤溶酶原激活剂(t-PA)可以使阻塞的血管再通化;然而这种治疗受到短时间窗口(≤4.5小时)和继发性脑出血风险的限制。机械血栓切除术(MT)可以将治疗时间窗口延长至24小时,但这种特殊手术只能在少数合格的医院进行,需要对适应症和禁忌症进行严格的筛查;只有少数患者可以接受MT治疗。

此外,康复治疗只能带来有限的功能改善,神经损伤一旦形成,则会产生大量永久性残疾患者。因此,开发缺血性卒中的新疗法势在必行。                  
干细胞治疗脑中风

间充质干细胞具有的分化为神经元细胞的潜能,间充质干细胞已然成为缺血性疾病一种新的治疗手段,主要包括脑卒中、冠状动脉疾病和外周动脉疾病等。多项研究表明,间充质干细胞出色的神经保护作用是治疗缺血性脑卒中的重要原因。

目前的研究报道表示,间充质干细胞主要通过旁分泌作用、免疫调节作用和抗细胞凋亡作用发挥治疗缺血性脑卒中的作用。

案例:

图片
中国台湾邱琮朗主任等人开展了一项 临床试验,使用脐血干细胞治疗急性脑卒中。
患者为40岁男性,该患者有高血压和终末期肾病血液透析病史,在急诊科就诊时表现为急性左侧偏瘫,经检查发现右侧颅外段颈内动脉区域发生脑梗塞。
患者中风发作后第8天接受脐血干细胞输注,又过了8天出院,并在 1、3、6 和12个月随访以评估NIHSS评分、神经功能和MRI结果。 
输注后,患者的神经功能逐渐改善。在 12 个月时,NIHSS 评分(A)从 9 分降到 1 分,Berg 平衡量表评分(B)从 0 分增加到 48 分,Barthel 指数评分(C)从 0 分增加到 90 分。
图片

NIHSS 是用于评估卒中引起的功能损害程度,Berg 量表是用于评定平衡功能,Barthel 指数是对患者日常生活活动的功能状态进行测量,这三个量表都是脑卒中康复评价工具。
图片

中风后 2 小时、8 天进行的弥散加权成像(DWI)显示右侧放射冠有梗死(白色强度增加),3 个月后开始退散,6 个月后消失(A到D)
图片

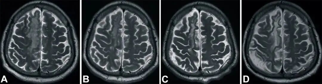
 梗死发生后 2 小时、8 天、3 个月和 6 个月获得的 T2 加权图像显示右侧放射冠的白色强度增加(A到D)
结果表明,接受干细胞治疗之后,这名缺血性卒中成年患者在短时间内明显康复。
案例:


2021年,一篇发表于《中国组织工程研究》的一篇综述,通过Meta分析明确间充质干细胞治疗缺血性脑卒中的安全性与疗效,并提供相关循证医学证据。

图片

图片

文章纳入20个随机对照试验,共1127例缺血性脑卒中患者,结果显示:治疗3个月时,间充质干细胞组美国国立卫生研究院卒中量表评分、运动功能评分、功能独立性评分优于对照组。

表明:间充质干细胞能一定程度改善缺血性脑卒中患者的神经功能缺损、运动功能、日常生活能力。

目前来看,不仅是理论上提出间充质干细胞治疗缺血性脑卒中的可行性,在众多临床治疗中,间充质干细胞治疗缺血性脑卒中也在稳步推进中。截至到近期,美国临床治疗数据库中已注册了近1400项间充质干细胞治疗相关疾病的临床试验,其中22例是MSC治疗缺血性脑卒中相关研究。

图片

       干细胞是从脐带、胎盘中提取的一种修复器官机理的未完全分化的原始细胞,具有自我更新、多项分化和高度繁殖的能力,医学上称为“万能细胞”,它是形成人体各种组织器官的起源细胞。干细胞对临床上一些疑难疾病的治疗如:脑瘫、老年痴呆、脑萎缩、帕金森病、中风、肝硬化、糖尿病、红斑狼疮、股骨头坏死、软骨和关节损伤、心脏和脊髓损伤等,取得显著效果,它拥有更加鲜活细胞能量,可以快速、有效进入体内,分泌多种有益细胞因子,调节体内微环境,激活干细胞再生能力,重启时光之门,追溯青春绽放源头,实现对人体衰老状态减缓,同时有效改善身体亚健康以及预防肿瘤发生。

图片


上一篇: 干细胞有效改善肾功能,逆转肾衰竭
下一篇: 干细胞将改善2.5亿老年人健康问题
关于我们  |  公司掠影  |  新闻中心  | 联系方式  |  在线留言
版权所有 Copyright(C)2015-2016 上海本正清源干细胞科技集团有限公司