设为首页 加为收藏 联系我们
当前时间:
咨询热线:400-1010-468  
http://www.shbzsw.com.cn  
E-mail:SHBZSW@163.COM  
地址:上海市世贸大厦
行业新闻 您的当前位置:首页 -> 新闻中心 -> 行业新闻  
 
干细胞修复卵巢早衰、子宫内膜,平衡激素水平!
发布时间:2024-08-15 文章来源:本站  浏览次数:647
图片

 随着衰老的到来,每个女性都不愿面对更年期,而干细胞疗法有望为女性更年期带来多重功效:修复受损组织、抗纤维化、调节荷尔蒙平衡、调节免疫以及调控激素水平等,帮助女性缓解更年期症状,延缓更年期。

更年期,似乎是女人一生躲不过的坎儿,它象征着一个女性重要的转折点——走向衰老。

尽管这是一个不可避免的经历,但对大多数女性而言,更年期却也远不仅仅是月经周期植物神经失调那么简单,它还可能引发心血管问题、骨质疏松,甚至影响心理健康,成为女性在这一时期面临的重要挑战。

面对更年期,我们不能有丝毫松懈,一旦症状出现,积极寻求医疗干预尤为重要。在女性健康领域,干细胞展现了卓越的修复和再生组织功能,已在抗衰老、女性卵巢早衰等方面取得显著成果,临床多项研究证实了干细胞在改善更年期症状方面的疗效,为女性提供了新的希望,助力她们平稳渡过更年期。

01

卵巢功能衰退
女性更年期的分水岭

更年期是人们走向衰老的一个过渡阶段,通常在女性身上表现的更为明显,所以我们说的“更年期”通常也就是指围绝经期是指女性绝经后1年内的特殊生理变更时期,我国女性绝经年龄大多在44~54之间。

在围绝经期因雌激素水平下降,女性常出现一系列不适症状,统称为“绝经综合征”,主要会出现以下改变:

首先是月经改变,表现为经期缩短、经量减少、绝经。

其次为血管舒缩症状,表现为潮热、出汗、畏寒怕冷、失眠、心悸、头痛。

还可出现精神神经症状,表现为易怒、焦虑、多疑、抑郁、自信心降低、情绪失控、记忆力减退、睡眠障碍等。

同时还伴随着泌尿生殖系统的萎缩改变、骨量下降、肌肉酸痛、性功能下降等等。

出现这一系列症状的分水岭,就是从女性卵巢功能衰退开始。

卵巢可以说是女性一生中最重要的器官,更年期的分水岭就是卵巢功能衰竭,绝经前后最明显变化是卵巢功能衰退,随后表现为下丘脑-垂体功能退化,从而表现为激素水平变化。卵巢功能一旦衰竭,就意味着绝经。

雌激素是女性青春魅力的源泉,当女性30岁后,体内自身雌激素水平慢慢下降,失去应有的平衡,一些女性衰老症状也随之出现。

图片
△ 围绝经期的女性特点

除了更年期会有的一些症状之外,很多女性身体也在悄悄发生改变,随着体内雌激素的下降,骨量呈陡坡式快速丢失,血脂异常、高血压及血糖异常、冠心病的发病率和死亡率就明显上升。更有甚者,甚至迎来肿瘤发病“小高峰”,卵巢癌、子宫肌瘤、乳腺癌等也极易受到更年期激素水平紊乱影响而发病。

所以,更年期这一过渡阶段的健康管理尤为重要,关系着女性的晚年健康。临床上针对更年期症状通常为心理疏导、给与雌激素、孕激素等药物进行治疗,但激素治疗会增加患者患乳腺癌以及血栓及胆结石的风险。

如今,干细胞技术的发展为女性健康问题带来了新的解决方案,多项临床研究也表明,干细胞的组织再生、免疫调节功能能够在女性卵巢早衰、子宫内膜疾病等方面发挥功效,为女性平稳度过更年期,维稳健康带来益处。

02

维稳更年期
干细胞平息更年期“动荡”

经历“更年期”会给女性生活带来众多困扰,所以,如何减轻症状,平稳度过更年期成为了科学家们的攻关对象。

英国《泰晤士报》曾有发表题为《科学发展接近于让更年期消失的阶段》的报道,美国加州科学家奥布里·德格雷博士指出,干细胞疗法能够使衰老过程发生逆转,且有望在20年内让更年期人为消失。

图片
△ 英国《泰晤士报》:《科学发展接近于让更年期消失的阶段》

这里提到的“消灭”更年期,或许就是从细胞疗养的角度逆转机体衰老,减缓衰老的速度。正如科学家德格雷说的那样,"我们可以通过刺激或补充干细胞,让卵巢恢复活力,同时还能让女人重返经期达到延缓衰老的可能。”

那么,神奇的干细胞是如何帮助女性延缓更年期的?它有哪些功效?

1、修复受损组织:干细胞能够分泌多种细胞因子,抑制细胞凋亡,修复受损的组织和器官。它们就像是一支强大的“生力军”,为身体提供对抗衰老和疾病的力量。

2、调节荷尔蒙平衡:通过干细胞的调节作用,卵巢功能得以恢复,荷尔蒙平衡得到维持。这不仅有助于缓解更年期症状,还能让女性有更多的时间享受青春的美好。

3、免疫调节:干细胞通过免疫调节作用,抑制机体免疫反应,促进受损组织自身修复。这有助于减轻因更年期引起的各种不适症状。

4、抗纤维化:干细胞通过修复卵巢间质,防止卵巢纤维化,从而对受损卵巢起到保护作用。

5、多向分化潜力:干细胞进入损伤卵巢后可能直达损伤部位,并分化成部分血管内皮细胞,提供营养。这有助于促进卵巢功能的恢复。

6、调控作用:干细胞可改变部分基因表达,并通过基因改变达到调控卵巢功能的作用。这为更年期症状的缓解提供了新的治疗思路。

图片
△ 干细胞调控免疫系统示意图

干细胞,是维持机体器官生长和新陈代谢的源泉动力,因此,要想延迟衰老的到来,唤醒干细胞,是势在必行之事。

干细胞凭借着“归巢”属性可迁移定植于损伤部位如卵巢,并能在器官内存活生长,分化为相应的细胞,替代并修复受损的组织,同时还会分泌细胞因子抑制细胞凋亡,从而达到改善受损器官的功能,平衡激素水平的作用,改善由生殖系统衰老引起的一系列症状,实现由内而外的“年轻态”。

如今,大量的研究数据和临床表现证明,对于正常女性临近更年期,或者有延缓卵巢衰老的需求都可以接受干细胞治疗,那么,干细胞都能够解决女性更年期的哪些困扰呢?

1、由内而外抗衰老  

在抗衰老整形美容方面,干细胞可谓有着“先天”的优势。在《协和医学杂志》发布的《间充质干细胞在整形美容领域的应用》中就有明确提到:“随着组织干细胞的老化与流失,可能导致许多衰老相关疾病。补充外源性干细胞是抗衰老的有效方法。”

该文章详细描述了干细胞在整形美容领域上的应用,包括皮肤抗老、毛发/组织再生等,可见,干细胞在皮肤抗衰上有着不错疗效。

图片
△ 文章详细阐述了干细胞在整形美容领域的应用

除了“面子工程”,抗衰更应注重内在人体系统的疗养,来自美国国立卫生研究院Isabel Beerman等人在《老年学杂志》(The Journals of Gerontology)上发表的综述认为,干细胞疗法具有恢复机体老化系统功能的潜力,并认为,理论上外源性补充强大的干细胞不仅可以为系统补充额外的年轻干细胞,还可以修复老化系统,从而达到治疗机体虚弱、衰老的目的。

图片
△ 干细胞疗法恢复衰老系统功能的潜力:我们做到了吗?

在这项随机、双盲、安慰剂对照临床试验中,研究人员确定了老化干细胞的功能及表型的改变与它们所在的系统年龄相关特征保持一致,证明老化的干细胞是系统走向衰老的关键因素,且研究也证实了人类同种异体间充质干细胞可发挥免疫调节作用并促进组织、系统修复,达到抗衰老目的。

2、提升激素水平   

卵巢的一个重要功能就是分泌女性激素,更年期女性常出现的一些异常症状也大多与体内激素水平下降有关。在《Case report》上发表的一篇文章证实,卵巢早衰的妇女回输间充质干细胞后雌激素分泌增加,还有效缓解了更年期症状。

图片
△ 回输人间充质干细胞可增加卵巢早衰女性雌激素的产生并减轻更年期症状:两例病例报告和文献综述

在这篇文章中,两位患有卵巢早衰的志愿者回输间充质干细胞,通过腹腔镜将间充质干细胞注射入右侧卵巢组织内,发现与注射了生理盐水的左侧卵巢相比,右侧卵巢体积增加,血清中雌激素水平升高,更年期症状明显缓解,这种缓解作用持续到了研究结束。

图片
图片
△ 检测血清中促卵泡生长激素和促黄体生成素的水平变化,它们表现出了与雌激素水平相同的变化趋势。

在不同时间点对血清中的雌激素水平进行检测,观测到了雌激素水平的整体上升,甚至患者自述出现了一次月经,同时患者表示她的更年期症状,如潮热、盗汗等,也有所改善

3、改善卵巢功能   

卵巢对于女性衰老意义重大,卵巢好了,女性才能从根本上实现“年轻态”。

2018年,第100届内分泌学会年度会议公布了一则利用“干细胞治疗年轻女性卵巢早衰”的研究,结果显示:干细胞让卵巢早衰女性恢复生育能力,且推迟了患者的更年期。

图片
△ 干细胞疗法可能有助于逆转更年期的影响,恢复生育能力

在这项研究中,2名患者在回输干细胞3个月后,血清激素水平开始显著增加,效应至少维持了一年,更重要的是,她们的更年期症状也有所消除。另外还有6名参与者恢复了正常的月经周期。

图片
△ 干细胞治疗后,卵巢体积、各级卵泡数等都明显增加

此外,在多项间充质干细胞治疗中均被证明干细胞可以恢复卵巢功能,并为女性不孕症提供健康的治疗方法,干细胞可以通过产生细胞因子和其他参与增殖和组织形成的因子来修复受损的卵巢功能。

在体内和体外,由这些细胞产生的(HGF)肝细胞生长因子(HGF)、(VEGF)血管内皮生长因子(VEGF)、胰岛素样生长因子-1(IGF-1)和(FGF-2)成纤维细胞生长因子-2等因子均有诱导动脉发生的报道。当VEGF和HGF联合作用时,血管直径增大,有助于血管面积扩张,从而促进受伤的卵巢功能恢复。

图片
△ 利用干细胞治疗卵巢损伤的机制流程图[4]

该流程图显示了通过各种方法注射间充质干细胞治疗卵巢早衰的过程,间充质干细胞通过旁分泌信号传导起作用,参与卵巢纤维化、血管生成、免疫系统调节和细胞凋亡的控制。

4、宫腔粘连   

宫腔粘连是指子宫内膜修复障碍,通常由子宫损伤引起,可能导致月经异常出血、反复流产、继发性不孕等一系列并发症。对于严重受损的子宫内膜,子宫内膜干细胞的丧失可能会影响其再生。在2021年的一项研究中讨论了各种干细胞的特性及其在子宫组织再生中的应用。

图片
△ 干细胞疗法可改善子宫内粘连和子宫内膜损伤

该项研究表明,利用干细胞疗法修复受损的子宫内膜已成为一种有前景的新治疗方法,应用来自脐带血的干细胞可以促进子宫结构和功能的恢复。

在2011年,发表在《J Hum Reprod Sci. 》杂志上的一则案例则利用干细胞来实现子宫内膜再生的目的,宫腔粘连患者接受干细胞治疗后成功受孕。

图片
△ 该项研究创新性地使用干细胞治疗一名33岁的重度宫颈粘连患者,该患者在接受干细胞治疗前已尝试过刮宫、周期性激素治疗等,效果均欠佳。

研究团队在对患者行刮宫后,在超声引导下用注射器经宫颈向宫底及宫腔内注入干细胞悬液,术后辅以阿司匹林和周期性激素治疗。超声检查结果显示患者术后子宫内膜再生较好,并且,患者通过体外受精( in vitro fertilization,vr)成功怀孕,随访至妊娠第8周胎儿生长良好。

这也说明了,干细胞疗法可以促进子宫内膜的再生和修复,破坏纤维化的形成,并通过旁分泌和免疫调节促进血管再生,为宫腔粘连,子宫内膜损伤的修复有较大益处。

5、子宫内膜损伤    

子宫内膜损伤是导致不孕的重要因素,约有20%至40%不孕女性是由子宫内膜损伤引起的。干细胞疗法作为近年来新兴的技术,为该病的治疗提供了新的希望。

2022年的一项研究总结了干细胞修复子宫内膜损伤的机制,并从损伤位点的替代、旁分泌作用、与生长因子的相互作用以及其他新靶点四个方面阐明了其作用的物质基础。

图片
△ 干细胞治疗子宫内膜损伤的研究进展

干细胞修复子宫内膜损伤主要是由于其分化能力、旁分泌活性和免疫调节作用,干细胞除了可直接分化为子宫内膜细胞外,多能干细胞(PSC)还可以分化为其他细胞,如基质细胞和血管内皮细胞,参与子宫内膜修复

此外,干细胞还可通过分泌细胞因子和趋化因子来调节环境B细胞、NK细胞和巨噬细胞的行为,从而起到修复子宫内膜的作用。

图片
△ 干细胞修复子宫内膜损伤的机制

在一项医院中开展的人脐血干细胞修复子宫内膜的研究中有20名女性患者接受了常规治疗联合脐血干细胞宫腔注射的治疗方法。后两周和三周分别进行了彩超检查,发现子宫内膜明显增厚,子宫动脉血流也得到提升。证明了脐血来源的干细胞具有修复子宫内膜的作用。

图片
△ 人脐带血间充质干细胞移植对子宫内膜修复作用的临床研究

6、子宫瘢痕治疗   

在对子宫瘢痕的治疗上,干细胞的组织再生功能也显示出巨大的潜力。2021年,中国上海交通大学医学院国际和平妇幼保健院在《Stem Cell Research & Therapy》上发表一项研究,揭示了干细胞促进大鼠子宫瘢痕模型的形态和功能再生的重要机制

图片△ 干细胞促进大鼠子宫疤痕模型的形态和功能再生

该研究指出,剖宫产瘢痕缺陷 (CSD) 的特点是纤维化组织的存在和剖宫产引起的肌肉密度降低。严重的CSD最终可能导致不孕或产科并发症。干细胞在组织再生方面显示出巨大的潜力。

图片
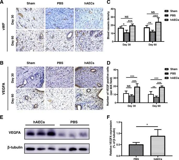
△ 干细胞对受损子宫血管生成的影响

该项研究证明了在大鼠子宫疤痕模型中的有效治疗作用。干细胞促进子宫内膜、子宫肌层和子宫疤痕处血管的再生。干细胞可能通过上调 VEGFA 促进血管生成,并通过上调子宫疤痕中的 MMP-8 促进胶原蛋白降解。

干细胞在女性健康的治疗及维养上有着独特的优势,干细胞的组织再生能力能够修复受损组织,帮助女性子宫内膜、卵巢功能的修复,干细胞的旁分泌、细胞因子作用还可以调节机体炎症环境,改善激素水平,对女性更年期症状,女性衰老病症有着潜在好处,为更多女性提供治疗的选择和希望。

图片

       干细胞是从脐带、胎盘中提取的一种修复器官机理的未完全分化的原始细胞,具有自我更新、多项分化和高度繁殖的能力,医学上称为“万能细胞”,它是形成人体各种组织器官的起源细胞。干细胞对临床上一些疑难疾病的治疗如:脑瘫、老年痴呆、脑萎缩、帕金森病、中风、肝硬化、糖尿病、红斑狼疮、股骨头坏死、软骨和关节损伤、心脏和脊髓损伤等,取得显著效果,它拥有更加鲜活细胞能量,可以快速、有效进入体内,分泌多种有益细胞因子,调节体内微环境,激活干细胞再生能力,重启时光之门,追溯青春绽放源头,实现对人体衰老状态减缓,同时有效改善身体亚健康以及预防肿瘤发生。

图片



上一篇: 干细胞在干预肺纤维化中展现出了良好的前景
下一篇: 干细胞疗法不再让血管 “添堵”
关于我们  |  公司掠影  |  新闻中心  | 联系方式  |  在线留言
版权所有 Copyright(C)2015-2016 上海本正清源干细胞科技集团有限公司