设为首页 加为收藏 联系我们
当前时间:
咨询热线:400-1010-468  
http://www.shbzsw.com.cn  
E-mail:SHBZSW@163.COM  
地址:上海市世贸大厦
行业新闻 您的当前位置:首页 -> 新闻中心 -> 行业新闻  
 
干细胞治疗视网膜变性疾病的6大优势
发布时间:2024-09-26 文章来源:本站  浏览次数:1027

图片
视网膜变性是一类导致进行性视觉退化的疾病,其主要原因是神经视网膜成分,特别是光感受器(PR)和下方的视网膜色素上皮(RPE)的持续损失。成年哺乳动物的视网膜再生能力有限,因此,PR或RPE细胞的死亡会导致不可逆的视力丧失。
年龄相关性黄斑变性(AMD)是65岁以上老年人失明的主要原因,而色素性视网膜炎(RP)则是最常见的遗传性视网膜变性疾病,影响着每3000-7000人中的1人。
图片




视网膜色素变性的临床表现

临床表现:
早期出现夜盲症状,即在光线较暗的环境下视力显著下降。
周边视野缺损,患者无法看到视野边缘的物体。
疾病进展可能导致中心视力下降和色觉异常。
眼部典型体征:
周边视网膜上出现“骨细胞样”的色素沉着。
视网膜动脉血管变得纤细。
视盘(即视神经乳头)呈现蜡黄色。
视野变化:
患者视野缺损进行性加重,表现为环形暗点逐渐扩大。
最终可能导致中心视野明显缩小。
视网膜电图检查:
a波和b波的振幅下降,反映视网膜功能受损。
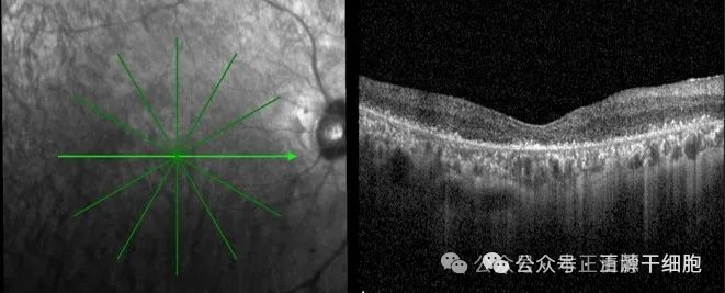
OCT(光学相干断层成像)检查:
清晰显示视网膜层外层结构的弥漫萎缩和变薄,这是视网膜色素变性病理过程中的重要特征。
图片
▲图示:视网膜色素变性患者超广角眼底照相及自发荧光
图片
▲图示:视网膜色素变性患者OCT扫描
对于大多数视网膜变性疾病,包括干性年龄相关性黄斑变性(干性AMD)、Stargardt病、RP以及某些其他类型的遗传性视网膜营养不良,目前依然缺乏有效的治疗方法。




干细胞治疗视网膜变, 性疾病

6大优势


细胞介导疗法正逐渐发展成为一种极具前景的治疗策略,其核心在于利用来源于干细胞的健康且具有功能的细胞,替代功能障碍的视网膜细胞。在各种器官的细胞替代疗法中,干细胞疗法之所以被视为理论上最现实的疗法,主要基于以下6大优势:
1.眼睛的神经解剖学结构相对不复杂;
2.眼睛具有免疫特权状态;
3.易于进入内眼进行操作和成像;
4.干细胞的自我更新能力;
5.干细胞的分化潜能;
6.可调控性和安全性。
图片




干细胞治疗视网膜色素变性

并恢复视力案例

维罗妮卡·麦克道格尔自小患有视力障碍,随着年龄的增长,她的视力逐渐恶化,即便使用最强的处方眼镜也无法改善。15岁时,她因视力问题放弃了驾驶。在高中和大学期间,她的视力持续下降,阅读和看黑板变得极为困难,尽管得到了一些支持她的老师的帮助,但她最终还是不得不辍学。24岁时,她被诊断出患有视网膜色素变性,这是一种罕见的退行性疾病,最终会导致失明。这一诊断让她所有的梦想破灭,她的心态也从快乐积极变得愤怒沮丧。
维罗妮卡的母亲了解到了加利福尼亚干细胞机构。维罗妮卡申请并成功参与了这项治疗,她在左眼接受了干细胞治疗。几周后,她的视力开始稳步提高。治疗后大约一个月,她发现自己能够看到眼角之外的事物,这是她自小失去周边视力后从未有过的体验。
图片
这次治疗给了维罗妮卡第二次生命的机会。她重返大学,生活变得更加活跃。然而,在她即将完成学位的大四时期,她的视力又开始恶化。幸运的是,她能够参加第二次临床治疗,这一次她的视力恢复得比以往任何时候都好。
维罗妮卡对研究人员充满了感激之情,他们的努力使她的视力得以恢复。她感到非常幸运能够有两次接受干细胞治疗的机会。




干细胞治疗视网膜色素变性患者

非随机临床治疗成果

在《Stem Cell Research & Therapy》上,近期发表了一项关于干细胞治疗视网膜色素变性患者的非随机临床治疗成果。14名由经验丰富的眼科医生确诊为晚期视网膜色素变性的患者,旨在探索间充质干细胞对该疾病的治疗潜力。
图片
研究人员将患者的右眼设为实验组,并根据玻璃体内注射间充质干细胞的浓度不同,细分为低剂量、中剂量和高剂量三个亚组。左眼则作为对照组,未接受干细胞治疗。
图片




实验结果分析

平均最佳矫正视力:
所有患者的平均最佳矫正视力在治疗后均有所改善。值得注意的是,低剂量组的患者相比于对照组(左眼)显示出最显著的视力改善。
短期疗效评价:
评估了患者的视力、视野和生活质量。几乎所有患者的视力都得到了一定程度的改善,接受治疗的眼睛在光线和颜色感知方面表现更佳。这种改善在随访期间得以持续,未观察到明显的视力下降。
安全性评估:
间充质干细胞治疗后,患者出现了眼睛炎症和眼压升高的短暂反应,但这些反应均可自愈。
低剂量组的患者炎症反应最轻微,且所有组的炎症反应均在14天内恢复到治疗前水平。眼压升高的情况在所有组中均在1天内恢复正常。在整个治疗期间,没有患者的视力或视野出现迅速下降,眼底评估也显示疾病特征稳定。这表明间充质干细胞治疗对于视网膜色素变性患者是安全且无毒的。
写在最后
干细胞治疗为视网膜色素变性(RP)等视网膜变性疾病带来了前所未有的希望。通过一些列临床治疗的成功,我们已经见证了间充质干细胞治疗在提高患者视力、改善生活质量方面的潜力。更重要的是,所有参与治疗的患者均未出现视力或视野的迅速下降,眼底评估显示疾病特征稳定,这表明间充质干细胞治疗对于视网膜色素变性患者来说是安全且无毒的。
随着研究的深入和技术的进步,干细胞疗法有望成为治疗视网膜色素变性及其他导致视力丧失疾病的有效手段。
图片

       干细胞是从脐带、胎盘中提取的一种修复器官机理的未完全分化的原始细胞,具有自我更新、多项分化和高度繁殖的能力,医学上称为“万能细胞”,它是形成人体各种组织器官的起源细胞。干细胞对临床上一些疑难疾病的治疗如:脑瘫、老年痴呆、脑萎缩、帕金森病、中风、肝硬化、糖尿病、红斑狼疮、股骨头坏死、软骨和关节损伤、心脏和脊髓损伤等,取得显著效果,它拥有更加鲜活细胞能量,可以快速、有效进入体内,分泌多种有益细胞因子,调节体内微环境,激活干细胞再生能力,重启时光之门,追溯青春绽放源头,实现对人体衰老状态减缓,同时有效改善身体亚健康以及预防肿瘤发生。

图片




上一篇: 干细胞可以有效控制和逆转荨麻疹
下一篇: 干细胞化身“止痛小能手”,助力患者摆脱神经疼痛折磨
关于我们  |  公司掠影  |  新闻中心  | 联系方式  |  在线留言
版权所有 Copyright(C)2015-2016 上海本正清源干细胞科技集团有限公司