设为首页 加为收藏 联系我们
当前时间:
咨询热线:400-1010-468  
http://www.shbzsw.com.cn  
E-mail:SHBZSW@163.COM  
地址:上海市世贸大厦
行业新闻 您的当前位置:首页 -> 新闻中心 -> 行业新闻  
 
胰腺癌患者接受免疫细胞治疗后,肿瘤显著缩小72%
发布时间:2025-07-01 文章来源:本站  浏览次数:467

胰腺癌是最令人望而生畏的癌症之一。根据美国癌症协会公布的《2023年度癌症统计报告》显示:晚期胰腺癌的五年生存率仅为12%,是所有常见癌症中最低的!

图片

胰腺癌因早期诊断困难、生长迅速、易转移及术后复发率高,被誉为“癌中之王”。且胰腺癌预后极差,5年生存率仅为10%左右。

目前,对胰腺癌的治疗方式主要包括手术、化疗、放疗、介入治疗及支持性治疗等。手术切除被认为是唯一能为患者提供治愈和长期生存机会的有效方法。

然而,数据显示,约80%的胰腺癌患者在确诊时已处于晚期,这意味着很多患者在确诊时已失去救治的机会。

胰腺癌为何如此“凶险”?


胰腺癌是一种极具侵袭性的恶性肿瘤,其癌细胞能够迅速扩散至周围的淋巴结和血管。当癌细胞包围较大的血管时,手术切除的难度大大增加,可能导致严重出血,甚至危及生命。

此外,胰腺癌的手术过程复杂,外科医生可能需要切除胰腺、十二指肠、胆管、胃和脾脏等多个器官。术后,患者还需经历一系列复杂的吻合手术,包括胃肠吻合、胆肠吻合和胰肠吻合。因此,胰腺癌的根治手术被认为是普通外科中最具挑战性和耗时最长的手术之一。

图片

日前,《新英格兰医学杂志》(NEJM)发表了一篇免疫细胞治疗胰腺癌的成功案例。在这则案例中,使用嵌合型T细胞(TCR-T)靶向识别肿瘤表达的突变型KRAS G12D,以此治疗了一名71岁的转移性胰腺癌患者 。

这名患者在接受162亿个免疫细胞输注后,在 6个月后的随访中,肿瘤依然持续消退,此时客观消退约72%。

这项治疗的成功案例带给大家更多希望。我们可以看到,医学的进步正在改变人们的命运。

免疫细胞为什么可以干预胰腺癌?


免疫细胞,尤其是经过基因改造的CAR-NK细胞,能够有效治疗胰腺癌的关键在于它们具备特异性识别并攻击肿瘤细胞的能力。在正常情况下,NK细胞是免疫系统的核心,负责识别并消灭异常细胞,包括癌变细胞。然而,由于某些癌细胞表面抗原的特性或肿瘤微环境的影响,NK细胞可能无法充分发挥作用。

图片

为了解决这一问题,CAR-NK细胞疗法采用基因工程技术。经过改造的CAR-NK细胞表面会表达一种称为嵌合抗原受体的特殊蛋白质,这种结构使得NK细胞能够精准地识别并结合特定的肿瘤相关抗原,从而直接靶向癌细胞并进行攻击。

一旦与目标抗原结合,CAR-NK细胞就会被激活,进而增殖并分泌细胞毒性分子,杀死表达这种抗原的癌细胞。

免疫细胞干预胰腺癌的案例


这是一个71岁女性的故事。她在67岁时被确诊为胰头腺癌,经过多次化疗和手术治疗,病情得到了控制。然而,2019年,她又发现右肺下叶有肿大结节,经过细针穿刺检查确认存在肺转移,这让她的病情更加严峻。

2020年,她接受了体外扩增的肿瘤浸润淋巴细胞治疗,但是却在6个月内观察到肺转移灶生长。在对肿瘤进行基因组研究后,发现该肿瘤的基因存在突变,即KRAS c.35G突变为p.G12D。


图片

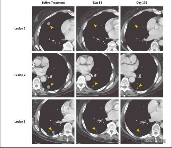
靶向KRAS G12D的细胞受体(TCR)工程化T细胞过继免疫治疗一名胰腺癌患者,患者胸部增强CT。箭头显示治疗前和治疗后的病变

随后,在2021年6月,她接受了细胞治疗的新型治疗方法。这些NK细胞被逆转录病毒转导,以表达靶向突变型KRAS G12D的HLA-C*08:02-限制性TCR。

这种方法的独特之处在于,它能够避免因输入基因工程化T细胞而导致的细胞因子释放综合征,并且还能够减轻患者在免疫重建过程中抑制性骨髓细胞的形成。

在输入这些基因工程化NK细胞前,她还接受了托珠单抗和环磷酰胺的预处理,以确保治疗的有效性和安全性。在细胞输入后不久,她开始注射大剂量白介素2,以促进回输NK细胞的扩增。

图片

血清细胞因子水平和体内NK细胞持续性

在细胞输入后1个月的第一次临床随访中,CT显示患者的肺转移灶出现消退,客观上肿瘤消退约为62%(根据《实体瘤疗效评价标准》1.1版)。

在细胞治疗6个月后的随访中,肿瘤依然持续消退,此时客观消退约72%。

血清中效应NK细胞分泌的因子如干扰素γ、TNF等的浓度在基线时较低,但在细胞输入后1日上升达到峰值(图3),在细胞输入后11日患者出院时,与基线相比,干扰素γ水平仍然升高。

在细胞治疗后约1个月,回输的细胞约占循环中全部NK细胞的13%,3个月时,约占全部NK细胞的3.3%,6个月时,约占全部NK细胞的2.4%。

写在最后


免疫细胞疗法是一种具有很大潜力的个性化癌症治疗方式,它能够识别并靶向患者肿瘤细胞中的特异性HLA限制性突变抗原,例如KRAS G12D。

然而,针对KRAS G12D突变的TCR-T疗法存在特定的HLA配体需求,即患者必须表达HLA-C*08:02等位基因。

由于这一HLA型别在全球不同人种中的分布有限,仅在白种人群中约占8%,而在黑种人群中占约11%,这一限制显著影响了该疗法的适用人群。因此,未来的研究方向可能集中在开发更广泛适用的TCR,或改进现有TCR,以适应更多常见HLA类型的患者,从而提升其在临床上的应用潜力。

值得关注的是,在一项开创性的研究中,一名胰腺癌患者接受了针对KRAS G12D热点突变的特异性TCR基因治疗后,病情出现了显著好转。这一成就为胰腺癌的治疗带来了新的希望,也为深受此类恶性肿瘤困扰的患者注入了生存的信心。

这一成功案例预示着,随着科学家们不断攻克技术难题,免疫细胞疗法在未来有望更精确地针对不同遗传背景的癌症患者,从而实现更为广泛和高效的个体化治疗。

图片
图片
图片
上一篇: 2025年最可能受益于NK细胞疗法的癌症有哪些?
下一篇: 干细胞让10年的帕金森患者重获行走自由
关于我们  |  公司掠影  |  新闻中心  | 联系方式  |  在线留言
版权所有 Copyright(C)2015-2016 上海本正清源干细胞科技集团有限公司