胰腺癌素有“癌中之王”的恶名。一旦进入晚期,患者生存期往往不到一年,疗效也极为有限。然而,近日一项来自日本的震撼案例为全球患者带来了新希望。
研究机构于国际医学期刊《Cureus》发表了一则引人瞩目的病例报告。一位70多岁的晚期胰腺癌复发患者,在接受免疫细胞疗法后,竟然出现了影像学上的完全缓解,肿瘤标志物水平显著下降,患者整体健康状态明显改善。究竟是什么神奇的疗法取得了如此效果?让我们一探究竟。
这位患者此前已接受胰腺癌根治术,但术后2年便出现复发,且伴随肝脏和淋巴结转移。患者尝试常规化疗(FOLFIRINOX),却因严重副作用而不得不中止。医生们决定采用一种创新的联合免疫疗法进行尝试:

WT-1树突状细胞疫苗(诱导特异性T细胞攻击肿瘤)
α-GalCer树突状细胞疫苗(激活NKT细胞增强免疫反应)
自体自然杀伤细胞(NK细胞,直接攻击肿瘤细胞)
此外,每次治疗当天还会配合小剂量的PD-1抑制剂(纳武利尤单抗)进行辅助。

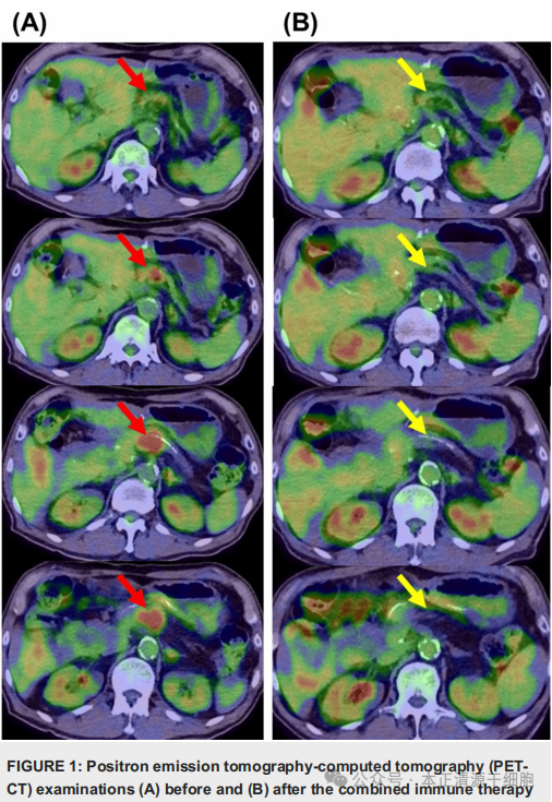
在连续约3个月,共7个周期的治疗后,医生们惊喜地发现:原本多处转移的肿瘤,在PET-CT影像检查中完全消失。肿瘤标志物CA19-9下降了38%,DU-PAN-2更是下降了72%。更令人鼓舞的是,患者不仅没有化疗常见的不良反应,体重与食欲反而逐渐恢复,整体健康状态显著提高。
研究团队分析,这种联合疗法之所以如此成功,关键在于精准“组合拳”的协同效应。WT-1树突状细胞疫苗精准激活特异性T细胞,α-GalCer树突状细胞疫苗激活NKT细胞,让肿瘤微环境从“冷”变“热”,增强T细胞的攻击力。而NK细胞则直接杀伤癌细胞,配合低剂量PD-1抑制剂解除免疫抑制,最终实现了疗效的最大化。
虽然这一病例尚属个例,但背后的治疗理念却值得广泛关注。胰腺癌免疫治疗之所以困难,很大程度上在于肿瘤微环境呈现“冷”状态,难以被免疫系统识别攻击。而此次日本研究团队通过多种细胞联合作用,成功打破这一限制,为全球胰腺癌患者带来了新的治疗思路。

当然,我们也应看到,这种疗法目前仍存在制备成本高、治疗周期长等现实问题,且其普适性和长期疗效尚需更多临床试验加以验证。但不可否认的是,这一突破性的成功案例无疑为攻克胰腺癌打开了一扇新的窗口。
相信随着免疫细胞制备技术的不断优化和治疗标准的完善,这类方案一定能走出“个案”范畴,成为更多患者的可及选择。我们也期待更多类似研究,早日实现癌症的有效攻克。
