设为首页 加为收藏 联系我们
当前时间:
咨询热线:400-1010-468  
http://www.shbzsw.com.cn  
E-mail:SHBZSW@163.COM  
地址:上海市世贸大厦
行业新闻 您的当前位置:首页 -> 新闻中心 -> 行业新闻  
 
干细胞为我国1.2亿肾病患者燃起新希望
发布时间:2025-07-24 文章来源:本站  浏览次数:445

近日,世界卫生组织确定肾脏疾病为第五大非传染性疾病,紧随心血管疾病、癌症、糖尿病和慢性呼吸道疾病之后。在我国,慢性肾脏病(CKD)患者人数已高达约1.2亿。预计到2032年,患病率将升至14%,中重度患者将突破7000万大关。肾脏如同身体的“精密筛子”,负责清除废物与多余水分。一旦肾小球硬化,“筛孔”堵塞,肾功能便悄然衰退,体内毒素堆积,最终引发肾衰竭及心血管疾病、贫血、骨质疏松等严重并发症。

图片

更令人忧心的是,慢性肾病进程隐匿无声:

1-2期:肾功能轻微下降,症状轻微(如偶发腰酸、夜尿增多)。

3期:肾功能中度下降,疲劳、水肿、贫血显现。

4期:肾功能重度下降,恶心呕吐、皮肤瘙痒缠身。

5期(尿毒症期):肾功能严重衰竭,透析或肾移植成为生存必需。

然而,希望之光已从再生医学领域透出。干细胞凭借其强大的组织修复与再生潜能,已成为攻克包括肾病在内的多种慢性疾病的研究焦点。近期发表于《临床医学杂志》的重要综述指出,干细胞递送方式的革新——特别是介入放射学引导下的精准递送——正改变慢性病治疗的未来格局。

图片


突破瓶颈:介入放射学赋能精准递送

传统干细胞疗法面临细胞难以靶向归巢、治疗后存活率低、易引发炎症反应及“肺滞留效应”等挑战。介入放射学(IR)技术的引入,为这些难题提供了关键解决方案:

1.微创:介入放射学程序是微创的,减少了与开放式手术相关的风险,促进患者更快的康复。

2.精确和安全:先进的成像技术使介入放射科医生能够实时可视化输送过程,确保干细胞的准确放置,并降低并发症的可能性。

3.可重复和可扩展:介入放射学程序是可重复的,允许多次干细胞注射,允许基于患者反应和疾病进展的个性化治疗计划。

图片


干细胞静脉+动脉介入干预肾病

一项针对40名III-IV期慢性肾病患者的突破性临床试验,揭示了干细胞疗法的巨大潜力:治疗组(A组)接受两次无细胞脐带血间充质干细胞来源的细胞外囊泡(CF-CB-MSCs-EVs)注射:首次经静脉,一周后第二次经介入放射学引导的肾动脉精准递送。

第一个剂量是通过肘正中静脉注射,间隔一周,第二个剂量是选择性肾动脉内C-T引导给药的无细胞脐带血间充质干细胞细胞外囊泡(CF-CB-MSCs-EVs),剂量为100μg/kg/剂(每位患者一条脐带血)。每条脐带(25-30厘米长)产生大约120-150×10^6个骨髓间充质干细胞,每一百万个骨髓间充质干细胞产生80-150微克蛋白质。

图片

MSCs EVs注射期间的计算机断层扫描(Rt. & Lt .肾脏)

在治疗期间或之后以及整个研究期间(一年),没有参与者经历任何显著的不良事件。大多数患者在股动脉穿刺过程中出现轻度不适,但在手术结束后不适很快消失。

结果:A组的参与者表现出eGFR、血清肌酐水平、血尿素和UACR的显著改善。

图片

两组中eGFR的变化

图片

两组血尿素变化

图片

两组血清肌酐变化

图片

UACR在两组中都发生了变化

治疗组“A”的患者还表现出TGF-β1和IL-10的血浆水平显著升高,TNF-α的血浆水平显著降低。对照组B的参与者在研究期间的任何时间点都没有表现出任何前述参数的显著改善。

图片

整个研究期间的免疫调节标记

图片

两组的TGF-β变化

图片

两组中IL-10的变化

图片

两组中TNF-α的变化

图片

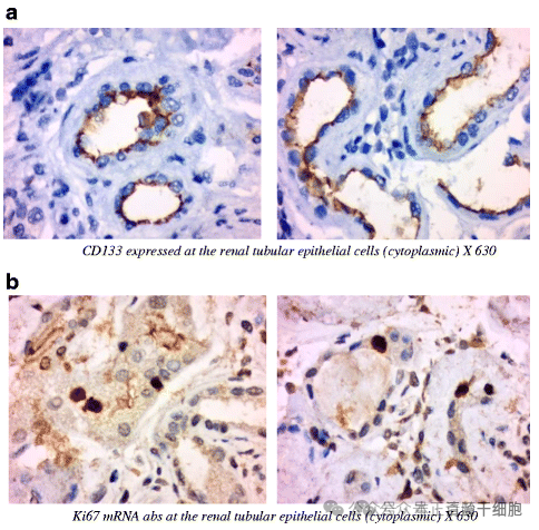
治疗组(HTN肾硬化)患者的肾活检×630:图板(a)显示了肾小管上皮细胞中CD133的表达,表明肾小管细胞的主动恢复。面板(b)显示Ki67 mRNA abs的表达,表明肾小管上皮细胞的活跃增殖。这两种标记物在对照组的类似染色的肾活检中都没有显示。这有力地证明了这些变化与MSC-EVs有关。

图片

对照组(HTN肾硬化)患者的肾活检照片×100

结论:细胞脐带血间充质干细胞衍生的细胞外囊泡(CF-CB-MSCs-EVs)是安全的,并且可以改善III-IV级CKD患者的炎症免疫反应和改善整体肾功能。

作用机制解密:双管齐下,协同增效

该疗法的卓越效果源于动静脉联合策略的科学设计:

静脉注射:发挥系统性抗炎作用,调节全身免疫(如升高TGF-β1、IL-10)。

动脉介入:突破传统递送屏障,将高浓度外囊泡直接送达肾组织,其携带的miRNA、mRNA等“修复指令”高效转移至肾小管上皮细胞,强力促进原位修复与再生。

写在最后

面对我国日益沉重的肾病负担及2032年7000万中重度患者的严峻预测,传统治疗手段显得力不从心。介入放射学引导下的干细胞精准递送疗法,凭借其微创性、靶向性、显著改善肾功能及调控炎症的明确效果,为逆转肾病进展带来了革命性希望。随着研究的深化与技术的完善,这种融合尖端再生医学与精准介入的疗法,将为无数挣扎在肾病阴影下的患者点亮生命的曙光。每一次精准的介入,都是向衰竭的肾脏传递一份再生的希望——当科技与生命的韧性相遇,沉默的器官终将重获新声。

图片
图片
图片


上一篇: 干细胞治疗卵巢早衰:静脉与靶向注射哪种更适合你
下一篇: 养肝即养命!干细胞疗法修复再生破解肝病难题
关于我们  |  公司掠影  |  新闻中心  | 联系方式  |  在线留言
版权所有 Copyright(C)2015-2016 上海本正清源干细胞科技集团有限公司