设为首页 加为收藏 联系我们
当前时间:
咨询热线:400-1010-468  
http://www.shbzsw.com.cn  
E-mail:SHBZSW@163.COM  
地址:上海市世贸大厦
行业新闻 您的当前位置:首页 -> 新闻中心 -> 行业新闻  
 
肝癌、肺癌、卵巢癌,NK细胞杀伤几乎所有癌细胞
发布时间:2025-07-28 文章来源:本站  浏览次数:455

人体之所以会患上癌症,是因为在某些情况下,细胞的正常生长调控机制出现了故障,导致细胞异常增殖并形成肿瘤。

尽管每个人的体内都可能存在一些具有恶性潜能的细胞,但多数情况下,这些细胞并不会发展成为癌症。这主要得益于人体内部强大的防御体系——免疫系统,它就像一群“癌症天敌”,时刻守护着我们的健康。

随着生物技术的飞速进步,基于提升机体免疫功能的自然杀伤细胞(NK细胞)免疫疗法已经在临床实践中得到广泛应用,并取得了显著的成效,成为了重要的肿瘤治疗手段之一。

早在1985年,美国国家癌症研究所(NCI)就已经认识到NK细胞免疫疗法的潜力,并将其视为继手术、放射治疗和化学治疗之后的第四种癌症治疗方法。

PART 01


1个NK细胞 可以杀死27个癌细胞


这个看似简单的等式——“1个NK细胞可以杀死27个癌细胞”——揭示了我们免疫系统中一项惊人的天赋能力,彰显了NK细胞的强大战斗力。

1、惊人的单兵效率: 这个数据直观地量化了单个NK细胞的杀伤潜能。它意味着在理想或特定的实验室条件下,一个NK细胞能够识别、攻击并成功消灭多达27个癌细胞。这远超普通细胞的工作效率,体现了NK细胞作为“自然杀伤者”的专长。

2、免疫防御的关键力量: NK细胞(自然杀伤细胞)是我们先天免疫系统的核心成员。它们无需预先“学习”或“记住”特定敌人(如癌细胞或病毒感染的细胞),就能快速响应,是身体抵抗肿瘤和感染的第一道快速反应部队。这“27:1”的比例正是它们强大杀伤力的量化证明。

3、持续作战与免疫监视: NK细胞的杀伤并非“一次性”的。它们具备“连环杀伤”能力。在杀死一个目标细胞后,可以迅速脱离,寻找并攻击下一个目标。这种高效、持续的作战模式,它们在人体内循环的速度非常快,完成一次全身循环只需大约6分钟的时间。这意味着在24小时内,NK细胞可以完成约240次的全身巡行,不间断地搜索并消灭潜在的威胁细胞,堪称细胞界的“劳模”。

4、健康与平衡的象征: 这个数字也提醒我们体内免疫平衡的重要性。NK细胞的活性和数量直接影响着机体清除异常细胞的能力。保持健康的生活方式(如均衡饮食、充足睡眠、适度运动、减压)有助于维持NK细胞的良好状态,让这些“超级战士”保持高水平的战斗力。

5、个体差异与医学意义: 需要理解的是,“27”是一个代表性的数值,源自特定研究环境。在真实人体内,实际杀伤效率会受到NK细胞活性、癌细胞类型、肿瘤微环境等多种因素影响。但这个概念至关重要,它推动了癌症免疫疗法(如NK细胞疗法)的研究,旨在通过增强或补充患者自身的NK细胞功能来对抗癌症。

 Nk细胞是免疫军团中的“特警部队”,是对抗癌细胞和病毒最强、最有效的免疫细胞。 更重要的是,NK细胞对多种常见的癌症类型均表现出杀伤活性,包括但不限于肺癌、乳腺癌以及肝癌等

PART 02


假如癌症没找上,全靠NK细胞在战斗


NK细胞,全称为自然杀伤细胞(Natural Killer Cells),是人体免疫系统中至关重要的组成部分。这些细胞在没有事先接触特定抗原的情况下,就能够识别并摧毁受到感染或发生变异的细胞,对于维护机体健康起着关键作用。

图片
图片
图片

NK细胞的具体作用


01

免疫监视:能高度识别、监视体内细胞病变,防止超敏反应,执行免疫监视和抗肿瘤的作用。

02
清除病原体:具有抵抗外来的细菌和病毒的作用,在病毒感染时不需要抗原刺激,可以产生细胞因子,例如白细胞介素、干扰素等因子,对肿瘤的发生和感染起到一定的杀伤作用。
03
抗衰老:可诱导老细胞凋亡,提升精力、体力、延缓衰老。
04
杀伤肿瘤细胞:机体重要的免疫细胞,可靶向性杀伤肿瘤细胞,是治疗肿瘤的首选细胞。
05
调节人体免疫功能:调节人体免疫功能,防止产生免疫功能异常以及自身免疫性疾病。
图片

PART 03


NK细胞对几乎所有 常见类型癌细胞都有杀伤作用


01
NK细胞在卵巢癌中的应用

卵巢癌由于早期症状隐匿,往往被称为“沉默的杀手”。许多患者在初次诊断时已处于疾病的晚期阶段,导致五年生存率相对较低,仅为29%左右。尽管传统的治疗方法如手术和化疗在一定程度上能够缓解病情,但大多数患者仍可能在三年内经历癌症复发。

在此背景下,NK细胞作为免疫系统中的“精锐部队”,它们对肿瘤细胞的识别不是抗原依赖性的,无需预先致敏就能直接杀死肿瘤细胞。

图片

《Gynecologic Oncology》杂志上发表的一篇名为“Harnessing natural killer cells for the treatment of ovarian cancer”的文章探讨了卵巢癌对NK细胞功能的影响、现有治疗手段对NK细胞生物学特性的作用,以及NK细胞疗法在治疗卵巢癌方面的有效性证据。

研究指出,在涉及六种不同治疗策略的临床试验中,共有31名卵巢癌患者接受了NK细胞的过继性细胞转移治疗。结果显示,大多数患者在接受治疗后病情保持稳定,其中部分患者的肿瘤体积有所减小,而且整个治疗过程中观察到的副作用较为轻微。

02
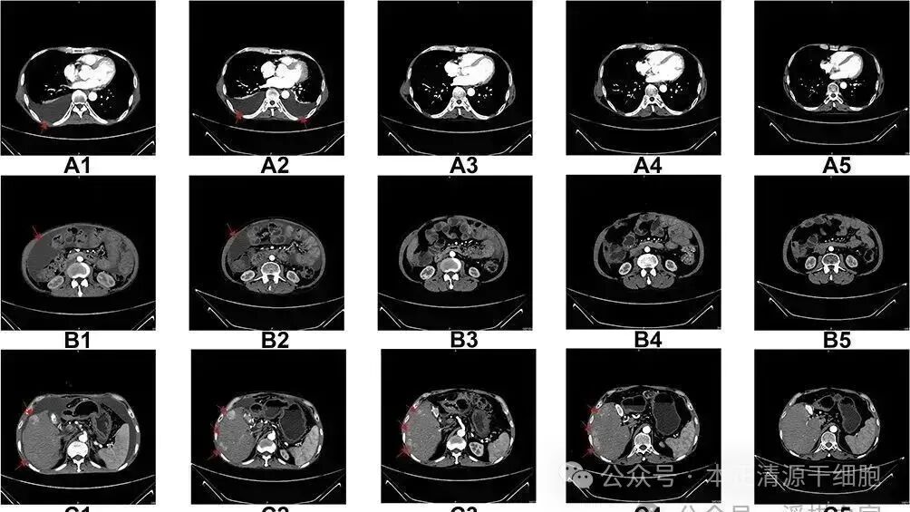
NK细胞在肝癌中的应用

一项发表在国际期刊《Oncotargets and Therapy》上的研究报道了一个晚期肝细胞癌患者接受NK细胞疗法后的积极成果,展示了NK细胞疗法的有效性和安全性。这名男性患者在2016年6月被确诊患有晚期弥漫性肝细胞癌,根据TNM分期标准被定为T3N1M1,即属于第IV期。

自2017年3月至2018年7月期间,该患者接受了共计17轮的NK细胞治疗,每轮治疗间隔一个月,每次连续输注两天。值得注意的是,在此期间患者并未接受其他形式的治疗。

研究结果显示,在经历了17个月的治疗后,患者外周血中NK细胞的比例增加了接近七倍,免疫功能也显示出改善或至少没有恶化。此外,患者的肝功能指标保持在正常范围内,除了甲胎蛋白(AFP)以外的其他肿瘤标志物水平也有所下降,生活质量有了显著提升。

图片

在进行了六个疗程后,患者胸部和腹部积液显著减少。至治疗结束时,患者的状态得以保持,并且右肝叶中的多处肿瘤病灶体积有所缩小。

尤其重要的是,截至报道时,患者的生存时间已经超过48个月,即超过四年的时间。这一案例为NK细胞疗法在晚期肝细胞癌治疗中的应用提供了有力的证据支持。

03

NK细胞在治疗肺癌中的应用


近期,《临床肿瘤研究》杂志发布了一项关于使用CAR-NK细胞治疗晚期非小细胞肺癌(NSCLC)的二期临床试验结果。该试验共招募了16位III期NSCLC患者,分为两组进行对比治疗:一组采用传统的放化疗方案,另一组则在放化疗的基础上联合使用了经Hsp70预处理的NK细胞回输治疗。

结果显示,与单纯放化疗相比,采用Hsp70预激活的NK细胞回输结合传统治疗的方法,显著提高了患者的生存率。具体而言,一年的生存率从33%提升到了67%,这一初步成果令人鼓舞。

最新研究


在最新的研究中,NK细胞疗法已经被广泛应用于各种癌症治疗,包括:血液系统肿瘤、神经母细胞瘤、卵巢肿瘤、横纹肌肉瘤、乳腺癌、胃癌等。并在这些研究中取得不错治疗效果。

随着对NK细胞功能研究的不断深入,其在癌症治疗领域展现出了新的潜力。2021年,中国国家药品监督管理局药品审评中心批准了一款自主开发的、用于治疗晚期上皮性卵巢癌的靶向间皮素(Mesothelin,MSLN)嵌合抗原受体NK细胞(CAR-NK)注射液进入临床治疗。这款产品是我国首款“即用型”异体来源的CAR-NK细胞疗法,标志着我国在利用免疫细胞药物治疗实体瘤方面迈上了新的台阶。

图片

先天具有免疫活性的NK细胞,在经过CAR技术改造后,展现出了对抗肿瘤的强大潜力,为肿瘤患者带来了新的希望。 

 展望未来,随着更多先进技术与CAR技术相结合,预计将为攻克更多种类的恶性肿瘤开辟新的路径。

NK细胞的作用机制


NK细胞之所以能够对多种癌细胞产生强大的杀伤作用,主要得益于其独特的作用机理。具体来说,NK细胞的作用机理主要包括以下几个方面:

释放穿孔素与颗粒酶:NK细胞能够分泌穿孔素,这是一种能够在靶细胞膜上形成孔洞的蛋白质,导致细胞内容物流失。随后,颗粒酶通过这些孔洞进入细胞内,触发细胞凋亡程序,从而实现对肿瘤细胞的直接杀伤。

分泌细胞因子和趋化因子:NK细胞可以释放多种细胞因子,如IFN-γ和TNF-α,这些因子不仅能直接促进肿瘤细胞凋亡,还能通过激活其他免疫细胞如T细胞,增强整体免疫反应。

通过死亡受体诱导细胞凋亡:NK细胞表面的配体可以与肿瘤细胞表面的死亡受体结合,激活细胞内的凋亡信号通路,促使细胞自我毁灭。

介导抗体依赖性细胞介导的细胞毒作用(ADCC):在存在特异性抗体的情况下,NK细胞可以通过其表面的Fc受体识别并与抗体结合,进而对被抗体标记的靶细胞实施杀伤。这种机制也是当前抗体药物在临床应用中发挥效用的重要方式之一。

图片

NK细胞作为人体先天免疫系统中不可或缺的一部分,对于维护健康和保持免疫力至关重要。确保NK细胞的数量维持在正常水平,并保持其高度活性,可以使它们成为机体抵抗衰老和维护健康的核心力量。 

图片
图片
图片

上一篇: 干细胞回输9 个令人心动的年轻化改变,值得期待
下一篇: 干细胞为中风患者带来曙光:运动功能改善效果显著
关于我们  |  公司掠影  |  新闻中心  | 联系方式  |  在线留言
版权所有 Copyright(C)2015-2016 上海本正清源干细胞科技集团有限公司