 |
|
|
 |
咨询热线:400-1010-468 http://www.shbzsw.com.cn E-mail:SHBZSW@163.COM 地址:上海市世贸大厦
|
|
 |
|
|
|
|
| |
| 干细胞治疗有望成为血栓性疾病治疗的重要手段 |
| 发布时间:2025-08-20 文章来源:本站 浏览次数:481 |
血栓性疾病和微血管病变是全球范围内的重大健康问题,严重影响患者的生活质量和生存率。血栓性疾病已经成为中青年和老年人群的常见疾病之一,其发病率逐年上升,不仅对个体健康构成威胁,也给整个社会医疗系统带来了巨大的压力和挑战。血栓类疾病之所以令人恐惧,不仅在于其高发病率,还在于一旦血栓形成,组织细胞的损伤往往不可逆转,随之而来的缺血缺氧会引起器官功能的损伤。血栓的形成通常与血管壁损伤、血流缓慢、血液黏稠等因素有关。血栓常发生于动静脉、毛细血管等整个循环系统部位,患有肿瘤、动脉粥样硬化、心力衰竭、糖尿病、血管炎等疾病史的患者更易增加血栓发生风险。血栓起病急,进展快,一旦超过48小时,治疗难度将大大增加。因此,早期发现和积极治疗至关重要。干细胞治疗已被证实对多种血栓性疾病具有显著疗效。2020年,《华西医学》发表的研究指出,干细胞治疗为那些旁路手术、腔内治疗及保守治疗无效的血栓闭塞性脉管炎(TAO)患者提供了新的方法,且患者的临床症状能够得到明显缓解。2024年的一项研究也表明,干细胞治疗在心血管术后并发症预防方面表现出色,能够显著降低术后血栓形成的风险。
降低截肢率
干细胞治疗不仅改善了患者的症状,还显著降低了截肢率。研究表明,接受干细胞治疗的TAO患者截肢率明显下降,且治疗过程基本安全。
多机制作用
干细胞通过多种机制发挥治疗作用,包括分化为内皮细胞、促进血管新生、抗炎、抗纤维化和免疫调节等。这些机制共同作用,能够有效改善微血管病变和血栓形成。干细胞治疗不仅适用于TAO,还在其他血栓性疾病(如心肌梗死、脑卒中等)的治疗中展现出良好的应用前景。此外,干细胞治疗还可以作为传统治疗的补充手段,进一步提高治疗效果。
缺血性脑卒中
缺血性脑卒中又称脑梗死、缺血性脑中风,是指各种脑血管病变所致脑部血液供应障碍,导致局部脑组织缺血、缺氧性坏死,而迅速出现相应神经功能缺损的一类疾病。中风难治愈主要在于受损的神经元几乎无法再生,而《STEM CELLS》上的一项研究表明,干细胞可再生修复受损的大脑神经元,从而恢复脑中风患者后遗症症状。在9名年龄不等的中风偏瘫患者实验中,应用干细胞治疗到脑内梗塞灶取得了一定的临床效益。这证明了干细胞治疗有助于脑卒中偏瘫患者运动功能的恢复,且干细胞应用于人体安全、有效,无副作用。
急性心肌梗死
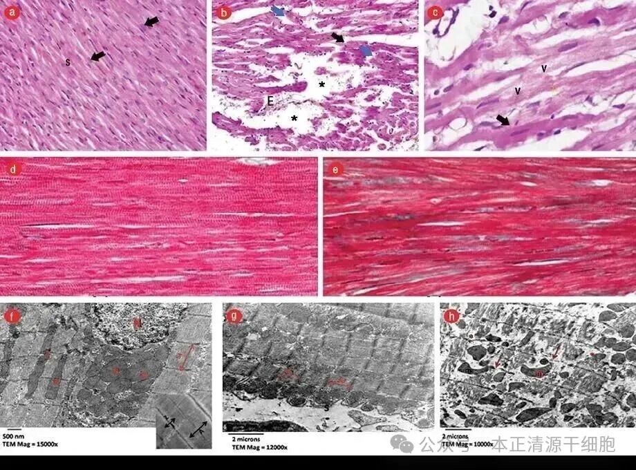
对于心梗患者来说,干细胞也是一道福音。一项来自《OMJ》杂志的文章证实,通过使用间充质干细胞治疗可以恢复心肌梗死症状,使梗死面积明显减少,组织病理学检查显示心肌组织再生迹象。已有研究表明:干细胞的修复作用涉及分泌旁分泌因子,可以改善心肌梗死缺血性损伤后的伤口愈合;同时还可以调节受伤心脏的免疫反应,从而促进心脏组织的修复。此外,为了攻克心肌梗死,研究人员研发了一种可控、稳定和可重复的潜力方案,能将多能干细胞诱导分化为心肌祖细胞(CCP),这些CCP在被植入心肌梗死的猪心后,能修复受损组织并改善心脏功能,为心梗治疗提供了全新的可能选择。干细胞治疗在血栓性疾病和微血管病变的治疗中展现出显著的临床疗效,能够显著改善患者的临床症状,降低截肢率,并通过多种机制发挥治疗作用。随着研究的深入和技术的成熟,干细胞治疗有望成为血栓性疾病治疗的重要手段,为患者带来更多的希望和选择。 |
|
|