设为首页 加为收藏 联系我们
当前时间:
咨询热线:400-1010-468  
http://www.shbzsw.com.cn  
E-mail:SHBZSW@163.COM  
地址:上海市世贸大厦
行业新闻 您的当前位置:首页 -> 新闻中心 -> 行业新闻  
 
干细胞修复中风患者受损神经,促进运动功能恢复
发布时间:2025-10-12 文章来源:本站  浏览次数:153

脑卒中,俗称“中风”,是一种以脑部缺血及出血性损伤为主要临床表现的疾病,具有极高的病死率和致残率。

图片

根据近年来的数据统计分析,我国中风患病人数和病发率呈现出持续上升的趋势。具体来看,2017年我国的中风患病人数为1253万人,而仅过了五年,到2022年时,这一数字已经飙升至1780万人,增长率接近12%。

我国每年脑卒中发生病例达500余万,其中约有196万人因此死亡,给患者及其家庭带来了巨大的生活负担和身心痛苦。

图片

尽管医学界一直在努力探索更有效的治疗方法,但脑卒中个体化差异大、救治条件要求高的特点,使得治疗效果并不十分理想。近年来干细胞技术的快速发展,为脑中风后遗症的治疗提供了新的可能。

图片
图片

脑中风的高危人群主要包括以下几类

图片
图片

1. 有脑中风家族史者:家族中有脑血管病史的人,特别是直系亲属如父母、兄弟姐妹中有病史者,本人罹患脑中风的几率相对较高。这可能与遗传因素有关。

2. 中老年人:年龄是脑中风的重要风险因素。几乎90%的中风发生在40岁以上的人群中,而60岁以上的人群发病机会更高。

3. 高血压患者:高血压被公认为脑血管病最重要的危险因素之一。长期高血压会损伤血管内皮,增加脑中风的风险。

4. 糖尿病患者:糖尿病患者的糖代谢和脂肪代谢紊乱,可导致心脑血管损伤,特别是微血管病变,从而增加发生脑血管疾病的危险性。

5. 心脏病患者:特别是冠心病、心律失常、心房颤动等心脏疾病,都可能不同程度地减少脑血流量,或形成心脏微血栓脱落,增加脑血管疾病的风险。

6. 曾有过一过性脑缺血发作的人:这种俗称“小中风”的情况往往是发生脑血管病的先兆。如反复发作,近期更易发展成完全性中风。

7. 高脂血症患者:高脂血症会导致动脉粥样硬化,增加血液黏稠度,从而容易形成血栓,引发脑中风。

8. 明显超重或肥胖者:肥胖通常与高脂血症、高血压和糖尿病相关联,这些都是脑中风的危险因素。

9. 不良生活习惯者:包括吸烟、经常过量饮酒、很少进行体育锻炼(每周少于3次)、饮食不健康(如高盐、高脂饮食)等,这些不良生活习惯都会增加脑中风的风险。

图片

近年来,高质量的临床研究发现了新的治疗方法。干细胞技术在修复脑中风后遗症方面取得了令人瞩目的进展。国内外的大量临床研究不仅证实了干细胞干预中风的安全性、可行性和有效性,更为我们提供了宝贵的临床案例和启示。

图片
图片

临床研究案例一

图片
图片

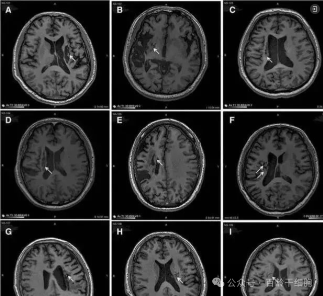
2019年,我国某医院在《干细胞转化医学》杂志上公布了一项令人振奋的研究成果。他们发现,干细胞回输有助于脑卒中偏瘫患者运动功能的恢复。在这项临床研究中,9名年龄在30至65岁之间的偏瘫患者接受了干细胞的脑内回输。这些患者在中风后5-24个月接受了治疗,干细胞被精确地回输至脑内梗塞灶附近。

图片

影像学研究的结果令人振奋,干细胞输入区出现了新的神经组织,这证明了干细胞干预偏瘫性脑卒中具有一定的临床益处。通过24个月的随访,临床结果显示,相对于基线,患者的分数发生了显著变化,9例患者的影像学显示病变区域的组织都发生了明显变化。

图片

这项研究的成功在于,回输到脑内梗塞病灶的干细胞能够分化为神经系统的各类细胞,并分泌营养因子。这些因子促进了神经和血管的再生,修复了受损的血-脑脊液屏障,并减轻了炎性反应。这一系列的作用共同促进了脑梗死动物的神经功能恢复,使得9例临床患者的偏瘫症状得到了明显改善。

图片
图片

临床研究案例

图片
图片

2019年发表在《Cell Transplant》上的动物研究也显示了人羊膜干细胞治疗对缺血大脑的益处。科研人员首先用大脑中动脉闭塞60 min后再灌注1 h、6 h、24 h的方法对大鼠脑缺血再灌注造成脑损伤,并对损伤大鼠进行尾静脉人羊膜干细胞注射治疗。结果发现治疗后24小时、14天和28天,这些细胞似乎对缺血的大脑有益的作用。这可能是基于它们增强内源性修复机制的能力。这些细胞具有与间充质干细胞相似的蛋白表达谱,具有抗炎的潜力,并且能够快速迁移到受损伤组织和炎症区域,维持细胞多能性和自我更新能力。

图片

还有研究发现,干细胞治疗可以减少梗塞面积,提高认知功能的恢复。2014年,《Front Cell Neurosci》杂志上发表的关于人羊膜干细胞治疗实验性缺血性脑卒中的疗效观察表明,细胞治疗的中风动物比灌液的中风动物显著减少了92%的梗塞体积,这可能促进了动物运动和认知功能的恢复。此外,细胞治疗的脑卒中动物的神经源性腹下区细胞增殖明显高于没有治疗的脑卒中动物;腹下区未成熟的神经元细胞也比没有移植的脑卒中动物增加。腹下区细胞增殖的增加和神经元损失的减少都是大脑组织修复重建过程的标志。

图片
图片

临床研究案例

图片
图片

2020年10月7日,《干细胞转化医学》杂志发表的一项研究指出了治疗缺血性中风的新途径。研究发现人羊膜干细胞可以恢复神经的可塑性——大脑的变化和适应能力,提高认知,取代由于缺血性中风导致的神经元受损或丢失。

图片

这项研究发现人羊膜干细胞衍生的外泌体激活了神经元的促生存途径,以及停止细胞凋亡的途径,参与保护神经元和控制神经元细胞死亡过程。他们的发现可能推动一种更广泛适用的中风疗法的发展,而不受原先狭窄的治疗途径或其他疾病的阻碍。

写在最后

通过对干细胞的临床研究,科学家们已经证明了干细胞在修复受损神经组织、促进运动功能和认知功能恢复方面的积极作用。干细胞在人体内的成功植入表明其能够分化为多种神经系统细胞并分泌营养因子,从而促进神经和血管再生,修复受损区域。同时,干细胞及其衍生的外泌体也被证实能够激活神经元的生存途径,减少细胞凋亡,提高神经可塑性。这些研究成果为脑中风患者带来了新的希望。

图片
图片
图片

上一篇: 健康无病时,为何要补充干细胞和免疫细胞?
下一篇: 外泌体C位当道修复受损肌肤,医用价值潜力无限
关于我们  |  公司掠影  |  新闻中心  | 联系方式  |  在线留言
版权所有 Copyright(C)2015-2016 上海本正清源干细胞科技集团有限公司