设为首页 加为收藏 联系我们
当前时间:
咨询热线:400-1010-468  
http://www.shbzsw.com.cn  
E-mail:SHBZSW@163.COM  
地址:上海市世贸大厦
行业新闻 您的当前位置:首页 -> 新闻中心 -> 行业新闻  
 
干细胞重塑免疫平衡,为桥本甲状腺炎提供治疗新路径
发布时间:2025-10-16 文章来源:本站  浏览次数:213

一、桥本之痛:

自身免疫攻击下的甲状腺“慢性死亡”

图片

桥本氏甲状腺炎(Hashimoto's Thyroiditis),又称慢性淋巴细胞性甲状腺炎或自身免疫性甲状腺炎,是一种由免疫系统攻击甲状腺组织导致的慢性炎症性疾病。

桥本氏甲状腺炎(HT)占甲状腺炎病例的 80%,我国患病率超 2%,女性发病率是男性的 10倍。其本质是免疫系统持续攻击甲状腺组织,导致进行性功能减退

病程各阶段表现:

1、沉默期:在发病的前期,免疫系统已开始攻击甲状腺,只是导致产生针对甲状腺过氧化物酶(TPO)和甲状腺球蛋白(TG)的抗体的升高,患者并没有出现症状。

2、甲亢期:在这个阶段,造成t3、t4水平的增高,TS值水平的减低,持续的时间往往是1-6周。临床上表现出心悸、吃得多、乏力、出汗等症状,此时给予忌碘饮食。

3、亚临床甲减期:在这个阶段,甲状腺激素分泌开始变少,导致血液中的促甲状腺激素(TSH)水平升高。但是,患者可能没有明显的症状。

4、甲减期:在这个阶段,甲状腺滤泡严重受损,表现为:t3、t4的下降,tsh增高,甲状腺激素的产生显著减少,导致疲劳、抑郁、体重增加、便秘、皮肤干燥、怕冷等症状。

传统困境:激素替代仅补充甲状腺素,无法阻断免疫攻击或修复损伤组织。 

二、间充质干细胞(MSCs):

免疫调节+组织再生的“双引擎”

图片

间充质干细胞具有低免疫原性、多向分化及旁分泌能力,通过以下机制干预桥本氏甲状腺炎:

1

免疫调控:纠正自身免疫失衡


抑制过度免疫应答 

调节T细胞亚群平衡:间充质干细胞通过分泌TGF-β、IL-10等抗炎因子,抑制促炎性Th17细胞分化,同时促进调节性T细胞(Treg)增殖,重建免疫耐受。 

抑制B细胞活化:阻断B细胞异常增殖及自身抗体(如TPOAb、TgAb)产生,减少对甲状腺滤泡的破坏。 

调控巨噬细胞极化:促使促炎M1型巨噬细胞向抗炎M2型转化,减轻甲状腺局部炎症。 

多途径抗炎作用 

分泌抗炎介质:间充质干细胞释放前列腺素E2(PGE2)、吲哚胺2,3-双加氧酶(IDO)等分子,直接抑制NK细胞、树突状细胞的活化。 

细胞间接触依赖调控:通过表面分子(如PD-L1、HLA-G)与免疫细胞直接作用,诱导免疫失能。

2

组织修复与再生:重建甲状腺功能


定向分化为甲状腺细胞 

在甲状腺微环境诱导下,间充质干细胞可分化为甲状腺滤泡上皮细胞,补充受损组织。 

旁分泌促进修复 

释放营养因子:分泌血管内皮生长因子(VEGF)、肝细胞生长因子(HGF)等,促进血管新生及滤泡细胞增殖。 

抗纤维化作用:降低TGF-β1信号通路活性,抑制甲状腺组织纤维化进展。 

保护残余甲状腺细胞 

通过减少氧化应激及线粒体损伤,阻断甲状腺细胞凋亡(如下调Bax/caspase-3通路)。

三、临床突破:

从动物模型到临床试验

动物模型

一篇发表在《Autoimmunity》杂志上名为《干细胞通过调节Th17/Treg细胞平衡对大鼠桥本氏甲状腺炎有改善作用》的研究成果。

在这项研究中,研究人员利用雌性SD大鼠诱导的桥本氏甲状腺炎来评估回输的MSC在大鼠桥本甲状腺炎(HT)模型系统中调节Th17 / Treg相互作用的能力。

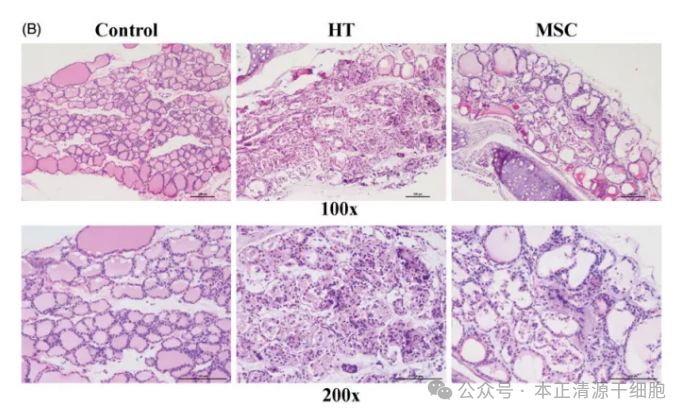
(1)间充质干细胞治疗可减少甲状腺病变和淋巴样浸润

桥本氏甲状腺炎组模型鼠甲状腺滤泡明显损伤萎缩,腺泡腔呈薄胶质,且间质淋巴浸润明显。与桥本氏甲状腺炎组相比,间充质干细胞处理的桥本氏甲状腺炎模型鼠表现出更少的甲状腺病变,并提高了组织的完整性。

图片

(2)间充质干细胞处理动物的血浆细胞因子水平

桥本氏甲状腺炎组血清中抗甲状腺球蛋白(Tg)和甲状腺过氧化物酶(TPO)的自身抗体显著升高,说明桥本氏甲状腺炎建模成功。间充质干细胞处理的HT模型鼠自身抗体水平降低。与桥本氏甲状腺炎组相比,间充质干细胞处理的桥本氏甲状腺炎模型鼠血浆IL-6,TSH,FT3和FT4水平显着降低。

图片

(3)Th17细胞与Treg细胞变化

桥本氏甲状腺炎组模型鼠比对照组的Th1细胞频率高,而Treg细胞频率比显著降低,FoxP3表达水平降低,而RORct表达水平升高。与桥本氏甲状腺炎组模型鼠相比,间充质干细胞处理组模型鼠Treg细胞频率升高,Th17细胞频率降低,Treg/Th17比例高于升高,FoxP3表达水平降低,RORct表达水平显著升高,Caspase3表达水平降低。

图片

(4)在体外,间充质干细胞对Th17细胞与Treg细胞百分比的影响

间充质干细胞能提高Th17细胞百分比,降低Treg细胞百分比,而且FoxP3表达水平升高,RORct表达水平降低,表明间充质干细胞可以在体外减少CD4+CD25+FoxP3 +T淋巴细胞的数量并增加CD4+IL-17+T淋巴细胞的数量。

图片

总结

间充质干细胞可以降低桥本氏甲状腺炎模型鼠的甲状腺自身抗体水平,减少相关的甲状腺组织损伤,不仅可通过减少Treg细胞群和增加Th17细胞群来减少甲状腺组织的凋亡,而且在体外可减少CD4+CD25+FoxP3 +T淋巴细胞的数量并增加CD4+IL-17+T淋巴细胞的数量。

国内临床试验:

合作医院正式注册开展了脐带间充质干细胞(UC-MSC)治疗甲状腺功能减退症(简称“甲减”)的临床研究,并面向社会公开招募符合条件的患者。(注册号:ChiCTR2400092566 )这项研究旨在探索干细胞疗法在甲减治疗中的安全性和有效性,成为治疗甲减的新尝试。

研究亮点及设计

此次研究为单臂探索性临床试验,研究周期为三年,计划招募14名患者。研究的主要亮点如下:

1、安全性与有效性的全面评估

通过监测治疗后不同时间点(1个月、3个月、6个月、12个月等)的关键指标,系统评估干细胞治疗的效果。主要观察指标包括:甲状腺相关抗体水平(TPOAb和TgAb),这些指标反映了免疫系统对甲状腺的攻击程度;甲状腺功能(TSH、FT3、FT4),这些指标直接反映甲状腺激素的分泌状态。

2、症状改善与影像学评估相结合

研究还会根据患者主诉的症状改善情况以及甲状腺超声影像学变化来综合评价疗效。这种多维度的观察方式能够全面呈现治疗效果。

3、精准招募确保研究质量

研究严格设置了纳入标准和排除标准,确保入组患者符合桥本氏甲状腺炎导致的甲减诊断,同时排除合并其他疾病或无法遵从试验方案的患者。

结语

间充质干细胞通过“免疫调节-组织修复”双核心机制干预桥本氏甲状腺炎:免疫层面:重塑Th17/Treg平衡,抑制自身抗体生成;组织层面:分化为甲状腺细胞+旁分泌修复信号,逆转纤维化与功能障碍。尽管临床前景广阔(尤其脐带间充质干细胞),大规模应用仍需临床试验支撑。未来需攻克细胞存活率、递送精准性等瓶颈,推动个体化治疗方案落地。随着再生医学与免疫工程技术的融合,未来十年或迎来从“控制疾病”到“逆转损伤”的范式转变。

图片
图片
图片
图片

上一篇: 没有猝不及防的癌症,只有蓄谋已久的癌细胞
下一篇: 干细胞作为“活体药物”,不治之症的新机会
关于我们  |  公司掠影  |  新闻中心  | 联系方式  |  在线留言
版权所有 Copyright(C)2015-2016 上海本正清源干细胞科技集团有限公司