根据国家癌症中心“2022年肿瘤登记年报”显示,我国新发恶性肿瘤约482.5万例,相当于每分钟确诊9人。其中肺癌独占106万,乳腺癌、结直肠癌、甲状腺癌紧随其后,且35岁后发病率陡升,60岁以上人群占新发病例的60%以上。
中国工程院院士樊代明在《健康观察室》栏目座谈时指出:“约50%的癌症患者并非因肿瘤本身致命,而是因治疗过程中的并发症,如器官功能衰退或感染等导致死亡。”
他还直言:“化疗药物自始至终都存在危害,许多患者即使肿瘤得到控制,也会因心、肝、肾等脏器受损而失去生命。”
点击观看视频 ☟
NK细胞,全称为自然杀伤细胞,是我们体内与生俱来的 “健康守护者”。它之所以能成为抗癌的关键力量,源于其强大的四大抗癌机制:
精准识别,直接杀伤:NK免疫细胞能够直接识别并清除癌细胞和病毒感染的细胞,实现精准打击,且副作用远小于放化疗。
增强免疫,预防复发:通过激活全身免疫系统,NK免疫细胞有助于建立长期的“免疫记忆”,有效预防癌症复发。
广泛适用,突破耐药:对于传统治疗效果不佳的肿瘤类型,NK免疫细胞疗法同样展现出良好效果,并能逆转靶向药的耐药性。
长期监控,持续保护:NK免疫细胞在体内形成“免疫监视网”,能够长期监控并清除残留的癌细胞,提供持久的保护。
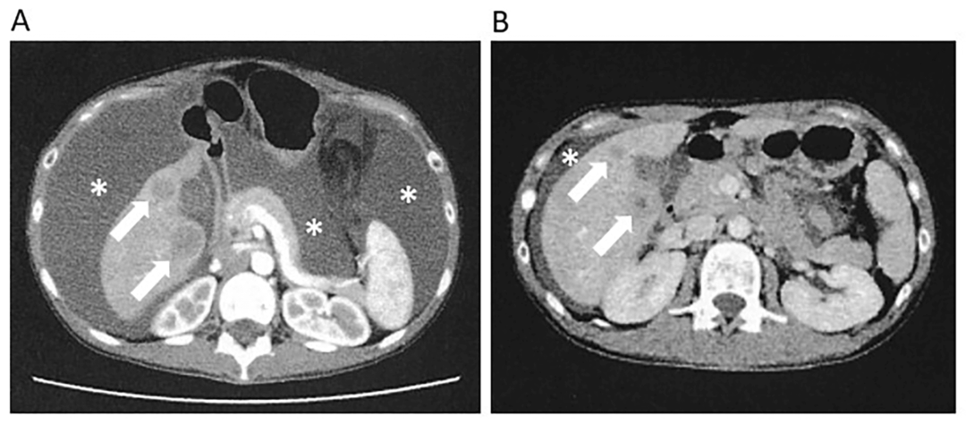
1、卵巢癌:原发肿瘤显著缩小,多发转移消失
2024 年 4 月,《Cureus》医学杂志报道了一名双侧卵巢癌多发转移患者,通过应用联合免疫细胞疗法成功抗癌的故事。结果显示:
肿瘤标志物下降,腹水消退:经过三次NK细胞治疗后,患者的病情出现了临床改善。在第四次和第五次N细胞治疗后,患者的肿瘤标志物也呈现出积极的变化。癌胚抗原(CEA)和糖类抗原 125(CA125)从最初的不稳定状态,在经过多次 NK 细胞治疗后,都出现了显著下降,同时腹水也明显减少。

原发肿瘤缩小,多发转移消失:治疗进行到第 142 天时,PET-CT 检查显示,患者体内的肺转移和腹膜播散情况已经消失,肝转移和原发性病变也明显缩小。
安全性良好:治疗中,除免疫细胞注射引发发热反应外,患者无其他副作用及身体损害。研究人员认为,此发热反应是抗肿瘤免疫激活指标,但非所有患者都会出现。
2、晚期肝癌:放化疗+NK细胞,疾病控制率达81.8%
2022年6月发表于《Frontiers in Immunology》的研究显示,13名晚期肝细胞癌患者接受肝动脉化疗与局部高剂量NK细胞联合治疗后:4名患者完全缓解,3名患者部分缓解,2名患者病情稳定,客观缓解率为63.6%,疾病控制率高达81.8%。
3、结直肠癌:术后+NK细胞,3年无复发
《Cancer Reports》报道了一例III期结直肠癌患者,术后复发后接受NK细胞治疗,3年内无复发转移,疗效稳定。另一例64岁女性患者,术后化疗复发且出现严重过敏反应,接受两轮NK免疫细胞治疗后,3年无肿瘤复发,生活质量良好。
放化疗、手术、靶向药等传统治疗手段,能帮助患者清除大部分癌细胞,但往往难以彻底清除残留癌细胞和耐药细胞。而NK细胞疗法与传统治疗的联合,既能清除残留及耐药细胞,又能重建免疫系统,还能减轻传统治疗的毒副作用,同时提供持续的免疫监视,预防癌细胞复发和转移。
那么,哪些患者适合NK细胞疗法呢?专家给出了明确建议:
放化疗前后/术后患者:联合NK细胞治疗,能有效清除体内残留的癌细胞,降低癌症复发的风险。
中晚期患者:中晚期癌症治疗难度较大,传统治疗效果往往有限。联合 NK细胞疗法,能显著提高治疗效果,帮助患者延长生存期,改善生活状态。
耐药患者:对于对传统治疗产生耐药性的患者,NK细胞疗法能打破耐药僵局,让患者重新获得治疗机会,避免因无药可用而陷入绝望。
体质虚弱者:部分癌症患者体质较弱,难以承受传统治疗的毒副作用。联合NK细胞治疗,能减轻治疗带来的不良反应,如恶心、呕吐、免疫力下降等,提高患者的生活质量。
追求长期稳定者:对于希望实现长期带瘤生存、保持病情稳定的患者,NK 细胞疗法能帮助建立起强大的免疫防护体系,为患者的长期健康提供保障。
樊代明院士强调:“癌症一经开始治疗,便要着重维护正常器官功能。”NK细胞疗法与传统治疗的结合,标志着癌症治疗从 “单一攻击” 转向 “综合治理” 的新阶段,它不再是简单的 “替代疗法”,而是癌症综合治疗中不可或缺的一环,为无数癌症患者照亮了抗癌之路。
|