设为首页 加为收藏 联系我们
当前时间:
咨询热线:400-1010-468  
http://www.shbzsw.com.cn  
E-mail:SHBZSW@163.COM  
地址:上海市世贸大厦
行业新闻 您的当前位置:首页 -> 新闻中心 -> 行业新闻  
 
干细胞疗法为增强嗅觉再生和功能恢复带来可能
发布时间:2025-12-27 文章来源:本站  浏览次数:297

我们依靠视觉欣赏世界,凭借听觉沟通交流,但嗅觉——这个常被低估的感官,其实是我们健康的一面隐秘镜子。一项近期发表于《临床耳鼻喉科学》杂志的国际研究敲响了警钟:嗅觉异常与近140种神经性、躯体性及遗传性疾病相关联。正常的嗅觉不仅是享受美食、感知环境的基础,更与良好的营养状况、认知功能甚至心理韧性息息相关。

图片

该研究的牵头人、英国东安格利亚大学的卡尔·菲尔波特教授指出,嗅觉丧失往往是某些健康问题的早期信号,甚至是神经退行性疾病、身体衰弱和寿命缩短的一个独立风险因素。然而,全球的公共卫生议程却很少关注嗅觉健康,医疗工作者也普遍缺乏相关培训。这提醒我们,是时候像重视视力、听力一样,重视我们的嗅觉了。

当嗅觉出现问题时,我们能否修复它?前沿的科学研究正在探索一种充满潜力的方向——干细胞疗法。多项严谨的动物实验为此提供了令人鼓舞的初步证据。

01

保护“信号站”:干细胞延缓嗅觉神经退化

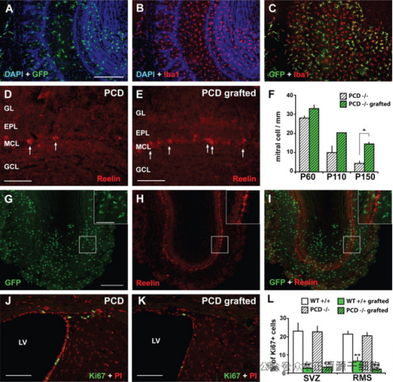
早在2012年,一项发表于《神经科学杂志》的研究就展示了干细胞在保护嗅觉神经细胞方面的可能性。研究人员使用了一种特殊的“浦肯野细胞退化(PCD)”突变小鼠,这种小鼠在成年后,其嗅觉的关键中转站——嗅球中的“僧帽细胞”会逐渐、特异性死亡,导致嗅觉功能受损。

图片

科学家们将干细胞回输给这些突变小鼠。结果发现,回输的干细胞在嗅球中主要转化为了另一种名为“小胶质细胞”的细胞。尽管干细胞没有直接变成新的僧帽细胞,但它们的存在显著减缓了僧帽细胞的死亡进程——治疗小鼠在150天时,僧帽细胞的存活数量比未治疗的同类多了约236%。

图片

更重要的是,功能测试证明了这种保护是有意义的。在需要辨别不同浓度或极其相似气味的精细任务中,未经治疗的突变小鼠表现很差,而接受了干细胞治疗的突变小鼠,其气味检测和分辨能力得到了显著的改善。这表明,干细胞能通过提供神经保护性环境,帮助保留了关键的嗅觉处理能力。

图片

02

修复“土壤”:干细胞促进嗅觉组织再生

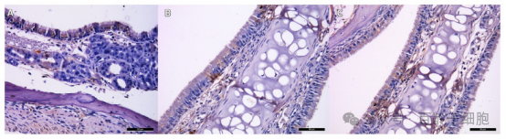
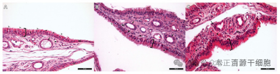
如果说前一项研究重在“保护”,那么2025年发表于《土耳其医学科学杂志》的研究则更侧重于“修复”。该研究使用化学药物(3-甲基吲哚)诱导小鼠患上嗅觉丧失(失嗅症),然后比较了干细胞治疗效果:脐带来源的间充质干细胞(MSCs)和安慰剂治疗。

研究人员将干细胞通过滴鼻的方式直接递送至小鼠的鼻腔。结果发现,无论是MSCs能成功迁移到了受损的嗅觉上皮组织和嗅球中。在随后几周的食物寻找测试中,接受干细胞治疗的小鼠,找到食物的时间明显短于只接受安慰剂治疗的对照组,显示了嗅觉功能的恢复。

图片

组织检查提供了更直接的证据:与对照组相比,接受干细胞治疗的小鼠,其嗅觉上皮组织更厚,显示损伤(如纤毛丢失、空泡化)的评分更低,并且表达“嗅觉标记蛋白”(成熟嗅觉神经元标志)的细胞数量也显著增多。这些指标都指向了嗅觉组织的结构性再生。

图片
图片
图片
图片

综合这些研究,我们可以看到:嗅觉健康是整体健康的重要一环,其异常是一个需要警惕的广泛信号。同时,干细胞疗法在动物模型中,已显示出通过神经保护和组织再生两条路径来改善嗅觉功能的潜力。

也许在不远的将来,常规的健康筛查会包含简单的嗅觉测试。而对于那些深受嗅觉困扰的人们,基于干细胞或其它再生医学原理的创新疗法,或许能帮助他们重新找回生活中那些熟悉而美好的气息。这一切的起点,始于我们今日对嗅觉——这个古老而重要感官的,重新认识与重视。

图片
图片
图片

上一篇: 以为是感冒,没想到是肺炎?NK细胞为肺部“加固屏障”
下一篇: 干细胞治疗可减少癫痫发作频率,恢复大脑神经稳定
关于我们  |  公司掠影  |  新闻中心  | 联系方式  |  在线留言
版权所有 Copyright(C)2015-2016 上海本正清源干细胞科技集团有限公司