 |
|
|
 |
咨询热线:400-1010-468 http://www.shbzsw.com.cn E-mail:SHBZSW@163.COM 地址:上海市世贸大厦
|
|
 |
|
|
|
|
| |
| 干细胞治疗修复神经损伤:功能近乎完全恢复 |
| 发布时间:2026-02-05 文章来源:本站 浏览次数:65 |
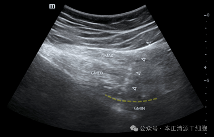
| 周围神经损伤是长期困扰临床的一大难题,其导致的顽固性疼痛与运动功能障碍,往往使患者陷入漫长的康复困境。传统疗法效果有限,但再生医学的进展,尤其是间充质干细胞疗法的应用,正为这类损伤的修复带来全新希望。本文将通过一则发表于Cureus期刊的最新案例,展现其在治疗严重神经损伤中的惊人潜力。案例中的患者为一位71岁女性,因重度髋关节炎接受全髋关节置换术后,出现了严重的臀上神经损伤并发症。术后她持续经历烧灼性神经性疼痛,疼痛评分达到极限的10分,同时臀肌肌力和敏感度下降,行走和日常活动完全依赖助行器。尽管后续接受了包括再次手术、长期抗生素治疗及系统康复训练,历时一年余,其功能仍无显著改善,生活备受困扰。2024年4月,肌电图检查明确显示臀上神经存在轴突损伤,其控制的臀中肌与臀小肌表现出神经功能丧失的特征,但同时也检测到神经正在尝试重新生长的早期信号。鉴于常规治疗无效,医疗团队决定采用创新性的间充质干细胞进行治疗。治疗于2024年6月实施。在超声实时精确引导下,将制备好的细胞悬液注射到目标神经损伤区域,即臀中肌和臀小肌之间的平面。图1:超声图像显示MSCs浸润至臀小肌与臀中肌之间的筋膜层疗效评估在治疗后60天进行。肌电图复查结果令人振奋:此前清晰的神经损伤迹象已完全消失,神经传导恢复正常。患者的自觉症状同步大幅改善:疼痛评分从10分降至3分。运动功能客观检测数据更为显著:· 右髋伸展力量测试中,最大扭矩提升55%,最大功率提升9%。· 右髋屈曲力量测试显示,最大扭矩增加24%,最大功率显著增长93%,总做功能力增加58焦耳。图2: 髋部伸展的等速动图:扭矩(牛顿米)×角度(度数)图(a)于2024年4月11日MSC浸透前进行,图(b)于2024年8月26日浸透后进行。(蓝线表示右髋关节,红线表示左髋关节。)这些数据共同表明,髋关节周围肌力、肌肉做功效率及整体运动功能均获得实质性提升。患者步行能力改善,对辅助设备的依赖减轻,日常生活质量得到显著恢复。该案例证实,间充质干细胞能有效促进周围神经结构与功能的修复,其作用机制是多方面的,主要基于干细胞的旁分泌功能与免疫调节特性。它们通过释放神经营养因子支持神经元存活与轴突再生,同时调控损伤局部的免疫反应、减轻炎症与纤维化,从而优化神经修复的微环境。此外,干细胞还具有向神经支持细胞分化的潜能,可参与髓鞘重塑,进一步促进结构与功能的恢复。这一成功案例不仅为周围神经损伤治疗提供了新思路,也反映了再生医学更广泛的潜力。间充质干细胞凭借其多向分化、组织修复及免疫调节等特性,在神经系统疾病、骨关节修复、心血管疾病等多个领域展现出广阔的应用前景。随着未来研究的深入与技术的规范化,细胞疗法有望为更多难治性疾病带来突破性的治疗选择。
|
|
|