设为首页 加为收藏 联系我们
当前时间:
咨询热线:400-1010-468  
http://www.shbzsw.com.cn  
E-mail:SHBZSW@163.COM  
地址:上海市世贸大厦
行业新闻 您的当前位置:首页 -> 新闻中心 -> 行业新闻  
 
从瘫痪到复健:干细胞疗法为脑卒中痊愈点燃希望
发布时间:2026-02-11 文章来源:本站  浏览次数:195

脑卒中俗称中风,是中国居民健康的首要威胁,也是导致国人寿命缩短的首要疾病原因。根据《中国脑卒中防治报告(2023)》,我国40岁及以上人群脑卒中现患人数达1242万,且发病人群呈年轻化。每年患上脑卒中的患者,其中约有120万人因并发症而不幸离世。并且,大约50%至80%的脑卒中患者会遗留不同程度的功能障碍。


图片


然而传统治疗方法在效果和时效性上存在诸多局限。以干细胞为代表的细胞替代治疗有望为相关疾病的治愈带来希望

图片

脑卒中:不容忽视的健康“杀手”

图片


脑卒中,又称中风,是急性脑血管病,由于脑血管突然破裂或血管阻塞导致大脑血流受阻而引起脑组织损伤的一组疾病,主要分为出血性脑卒中(脑出血或蛛网膜下腔出血)缺血性脑卒中(脑梗塞、脑血栓形成)两大类。


图片


脑卒中发病急、病情进展迅速、后果严重,可导致肢体瘫痪、语言障碍、吞咽困难、认知障碍、精神抑郁等危害。据统计,我国每年发生脑卒中患者达200万,发病率高达120/10万,每年脑卒中患者死亡120万。

脑卒中存活者中约有80%左右留有不同程度的残疾,其中约75%丧失劳动能力,40%是严重残疾,生活完全不能自理,给个人健康、家庭生活、社会发展带来了巨大的负担。

图片

脑卒中治疗现状

图片


脑卒中溶栓疗法时间窗短,且大多数患者因为种种原因,时常错过了这个极为短暂的最佳治, 疗时间窗口,最后无奈只能简单地接受支持性或姑息性护理。

脑卒中后遗症的治疗主要是从改善脑部血液循环,促进脑神经细胞恢复以及对应肢体器官功能的恢复两个方面着手。目前临床针对脑卒中后遗症患者的康复治疗主要有以下几种方式:中医针灸治疗、运动训练(肢体功能训练)、高压氧治疗、药物治疗。

然而传统的治疗方案往往只能缓解症状,对于已经受损的脑组织,很难实现真正意义上的修复,因脑组织损伤而失去的多种感知和活动能力也很难再回复

因此,寻找一种更有效的治疗方法,成为了医学领域亟待解决的难题。 而近年来,随着干细胞疗法快速发展,为治疗脑卒中带来新的思路

图片

干细胞治疗脑卒中的核心机制

图片


目前干细胞治疗脑卒中的作用机制主要包括细胞替代、神经回路的重建、血管生成、分泌神经营养因子、免疫调节、促进细胞存活。这些作用机制不是单一的过程,而是相互重叠,共同作用,促进受损脑组织修复。

免疫调节:抑制小胶质细胞过度激活,减少促炎因子(TNF-αIL-6),增加抗炎因子(IL-10);

神经保护:分泌BDNF(脑源性神经营养因子)、VEGF(血管内皮生长因子),促进神经元存活和突触重塑;

血管新生:改善脑微循环,修复缺血半暗带(penumbra)区域;

细胞替代,重建脑回路干细胞可分化为内、中、外胚层系细胞,包括神经元、内皮细胞和血管平滑肌细胞等,从而替代受损细胞,减少脑卒中后的神经功能缺陷。

图片

临床案例:干细胞改善脑梗后遗症安全有效

图片


近年来,国内外大量临床研究报道了干细胞干预脑卒中的安全性、可行性和有效性,表明干细胞是脑卒中疾病中极具前景的干预方案。

案例1

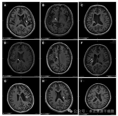
合作医院在《干细胞转化医学》(Stem Cells Translational Medicine)杂志上公布,干细胞回输有助于脑卒中偏瘫患者运动功能的恢复。9名年龄在3065岁之间的偏瘫患者参与了这项临床研究,他们在中风后5-24个月接受干细胞回输,干细胞被回输至脑内梗塞灶附近。影像学研究的结果表明,干细胞输入区出现了新的神经组织,这也证明了干细胞干预偏瘫性脑卒中拥有一定的临床益处。

通过24个月的随访临床结果,显示了相对于基线的分数变化。

图片


9例患者的影像学显示病变区域的组织都发生了明显变化。回输到脑内梗塞病灶的干细胞,通过分化为神经系统的各类细胞、分泌营养因子,促进神经和血管再生,修复受损的血-脑脊液屏障,减轻炎性反应等促进脑梗死患者的神经功能恢复,让9例临床患者偏瘫的症状得到了明显改善。

图片

案例2

2019年初,休斯顿大学健康科学中心招募了110位缺血性脑卒中患者参与向脑内注射干细胞的临床研究,此疗法已进入临床II期试验。

临床试验:对脑出血病程为1-3月的20例患者进行干细胞治疗后2年随访,发现经干细胞治疗的患者肌张力改善最为明显,肌张力均有所下降,语言表达能力有所改善,吐字清晰。这表明了干细胞对脑卒中患者的预后程度优于未经干细胞治疗同期脑出血的患者。


图片

案例3

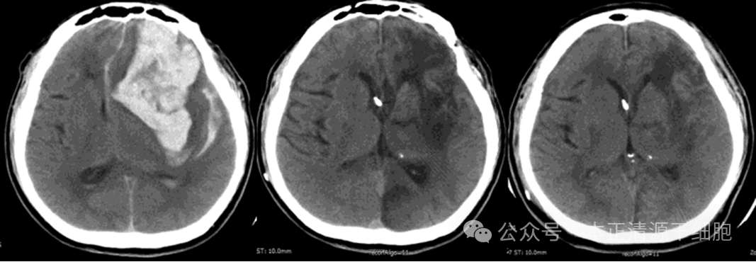
一例为51岁男性患者,有左额顶叶脑出血性卒中病史,患者也有高血压病史,以植物状态出院,并接受了气管切开术,采用鼻胃(NG)管喂养。在家庭护理期间,他的功能状态保持不变,没有明显的改善。

图片

然后,他的家人带着病人接受干细胞治疗。检查显示患者处于持续性植物人状态,国家卫生研究所卒中量表(NIHSS)评分23分,右偏瘫,患者气管切开并连接NG管。3周后,进行脑室部位间充质干细胞治疗,治疗后24小时的观察中未显示任何不良反应。随后患者回家,在1个月和2个月时,又进行了脑室部位的间充质干细胞治疗。

研究结果3个月、6个月和12个月的随访显示NIHSS评分有所改善(分别为20分、19分和19分),之前是23分。

在最后一次随访中,患者能够坐在轮椅上,取出气管切开术,不使用NG管进食,未发现其他副作用。

图片


神经成像的发现,治疗后枕部梗死面积变化明显,治疗后血肿周围低密度面积减小。

图片

前景展望

图片

这些临床案例不仅为我们展示了干细胞技术在修复脑卒中后遗症方面的巨大潜力,更为我们提供了宝贵的启示。目前干细胞治疗脑卒中展现出的潜力和初步临床效果令人鼓舞。

随着研究的深入和技术的成熟,干细胞治疗有望在未来成为改善脑卒中患者生活质量的重要手段。这一技术的应用,将为再生医学的发展开启新的篇章,为众多顽疾的治疗提供新的思路和方法。

图片
图片
图片
上一篇: 干细胞唤醒胰岛血糖 13.8 降至 5.7,停药观察!
下一篇: 免疫疗法:为何需“多管齐下”而非“一针定乾坤”
关于我们  |  公司掠影  |  新闻中心  | 联系方式  |  在线留言
版权所有 Copyright(C)2015-2016 上海本正清源干细胞科技集团有限公司