我们的眼睛,好比一台精密的照相机。而黄斑,就是相机最核心的“感光底片”,负责让我们看清细节、识别面容。老年性黄斑变性,就是这台“底片”随着年岁增长,逐渐老化、受损的过程。
它主要分为两类:
科学家发现,一个与阿尔茨海默病密切相关的“坏蛋白”——β淀粉样蛋白,也大量沉积在患者的黄斑区。它像一种“毒素”,会触发眼底的氧化损伤和慢性炎症,最终“毒害”并杀死负责视觉的关键细胞。

传统药物(如抗VEGF针剂)对于抑制湿性病变的血管渗漏有效,但对于已经萎缩的“底片”却无能为力,也无法清除“坏蛋白”。这正是医学界急需突破的困境。
如果有一种疗法,能精准找到受损区域,并“快递”多种修复物质,同时对抗炎症、氧化和细胞死亡,那会怎样?这就是干细胞外泌体被寄予厚望的原因。

图:AT-MSC衍生的外泌体保护视网膜功能免受Ap毒性的影响
你可以把它理解为干细胞派出的“超级纳米修复小队”:
它们携带着蛋白质、核酸等“修复工具包”,不仅能对抗“坏蛋白”的毒性,还能系统性调节整个损伤环境,促进细胞存活。
这项前沿技术,为目前缺乏有效疗法的干性黄斑变性带来了全新的干预思路,也可能惠及其他视网膜退行性疾病。
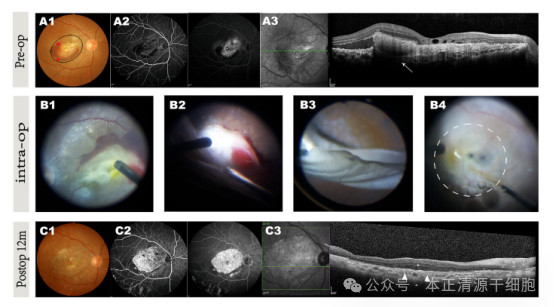
对于晚期湿性病变,当“底片”结构已严重破坏,传统打针效果不佳时,更彻底的“修复手术”成为新的探索方向。

我国研究团队在这一领域取得重大进展。他们采用了一种创新的 “先清扫,后治疗” 两步法:
通过精细的微创手术,安全移除黄斑下那些“漏水”的异常血管。随后,将由干细胞定向培育的视网膜色素上皮细胞,像“播种”一样注射到受损区域。这些新细胞旨在替代死去的细胞,重建支撑感光细胞的“土壤”。
手术后,患者接受4个月的免疫抑制治疗,并定期检查视力与眼底情况。
结果显示,术后12个月内,患者未出现严重并发症,如眼内炎或视网膜脱离,也无回输细胞异常增殖的迹象。60%的患者术后视力提高超过10个ETDRS字母(视力测试单位),30%(3/10)提高超过20个字母。

图:患者1手术眼的视网膜形态学变化
通过光学相干断层扫描(OCT),无术中出血的患者在治疗区域形成了稳定的类RPE层,支持视网膜外核层恢复,未见CNV复发。
未来研究团队计划开展多中心II期临床试验(预计纳入60例),进一步验证长期疗效及安全性。
无论是“细胞纳米快递”还是“底片修复术”,科学对抗老年性黄斑变性的策略,正从单纯的“延缓恶化”向积极的“功能修复”迈进。
在当前老龄化的时代,守护每一寸光明,不仅关乎科学,更关乎尊严与生活质量。
|