设为首页 加为收藏 联系我们
当前时间:
咨询热线:400-1010-468  
http://www.shbzsw.com.cn  
E-mail:SHBZSW@163.COM  
地址:上海市世贸大厦
行业新闻 您的当前位置:首页 -> 新闻中心 -> 行业新闻  
 
干细胞成为神经慢性顽固疾病的“新选择”
发布时间:2021-11-11 文章来源:本站  浏览次数:1537

图片

据统计,目前我国慢性疼痛患者超过3亿人,且每年以2000万的速度增长。最典型的就是神经病理性疼痛,占各类慢性疼痛的30%以上,包括椎间盘源性疼痛、三叉神经痛、晚期癌痛、 中枢性疼痛等。传统方法不尽人意,无法有效改善疼痛,人们一直期待有效的疗法能够尽快到来。

图片

 急性疼痛是症状 慢性疼痛是疾病 

No.1

疼痛现状值得关注 



疼痛可分为急性疼痛与慢性疼痛,国际上定义一般以3个月为界,3个月以内为急性或亚急性疼痛,3个月以上为慢性疼痛。全球慢性疼痛发病率一般为20%~40%,美国的慢性疼痛发生率为30%,中国慢性疼痛发病率也在30%左右。
慢性疼痛作为一种病症,已经引起人们的高度重视,现代医学将疼痛确认为“人类第5大生命指征”。慢性疼痛不仅是疾病带给身体的一个“危险信号”,更严重影响着人们的生活质量。

图片

No.2

慢性疼痛的高发人群



目前,常见的慢性疼痛包括神经和脊髓损伤引起的神经病理性疼痛、关节炎引起的炎性疼痛、癌症疼痛和药物治疗引起的疼痛。
办公室白领、运动员、中老年人、体力劳动者这四类人群,最易受到慢性疼痛的“青睐”。白领长时间坐在电脑前,导致腰部两侧肌肉处于不平衡状态,这样处于紧张状态的一侧肌肉,疼痛会悄然而至;运动员关节、肌肉重复运动,承受重压,容易产生肌肉关节损伤,继而产生疼痛。同时,有数据显示,65岁以上人群中,90%女性和80%男性患有骨性关节炎,骨性关节炎产生的疼痛,常见于膝盖、手指和手腕等。

No.3

止痛药治标不治本 



当发生疼痛时人们首先想到的是该如何止痛。很多人认为止痛见效最快、最方便的方法就是服用止痛药,但对于胃肠道本身就非常脆弱的患者来说,任意使用止痛药,很易引发消化道不适。未经过专业医疗人员指导,叠加服用不同的止痛药,或者将止痛药与其他药物混服,都会导致危险。
最关键的是,止痛药只能缓解当下的疼痛,而未能根除潜在病因。所以,疼痛还是会反反复复,甚至可能延误最佳的治疗机会。
有没有一种相对安全的方式,来帮助我们应对慢性疼痛,甚至修复疼痛背后的机体损伤呢?

No.4

干细胞改善慢性疼痛 



随着再生医学的发展,科学家们发现,干细胞作为医学界的“万能细胞”,能与身体自然愈合因子共同作用消除疼痛。
更为重要的是,干细胞具有改善慢性疼痛背后疾病的潜力,例如修复受损或退化的细胞或组织。在美国,干细胞可作为慢性疼痛传统治疗手段的替代方案,成为慢性疼痛患者的理想选择。

椎间盘源性疼痛

《Transplantation》杂志发布的一项运用间充质干细胞修复椎间盘的研究表明:10名腰椎间盘退化的慢性腰疼患者接受了间充质干细胞治疗后,患者腰椎部位有了明显改善。这证明了间充质干细胞为改善退行性腰椎间盘疾病提供了新的思路,且安全可行,仅需微创处理,无需手术或住院治疗。

图片

间充质干细胞,能促进组织愈合并可通过免疫系统调节炎症。经过扩增的干细胞注入患者受损的椎间盘,可以减少炎症,促进周围组织修复自身,刺激椎间盘结构的蛋白质。

骨性关节炎疼痛 

2020年,科研团队开展了一项临床研究,从临床层面评价间充质干细胞修复骨关节炎的效果。82位患者中,平均病程为3.2年,随机分为两组:一组以口服药物进行治疗,另一组采用药物和间充质干细胞联合疗法。结果显示,接受间充质干细胞联合疗法的患者,在软骨损伤直径以及疼痛评分等方面要低于仅接受药物治疗的患者,且差异具有统计学意义。

图片

干细胞可促进软骨再生,能在体内微环境作用下主动迁移至受损部位进行修复重建,并且可分泌多种生物活性分子,具有调节免疫和抗炎作用。这些特点可减轻和缓解骨关节炎的临床症状,从根本上改善了关节炎患者的软骨缺陷,降低患者的痛苦和药物副作用。

神经病理性疼痛

神经病理性疼痛有多种临床类型,包括三叉神经痛 、糖尿病性神经病变、脊髓损伤后神经病理性疼痛等 。

神经病理性疼痛是极具异质性的一类疾病,其病程迁延,常规的神经阻滞、外科手术、以及阿片类强镇痛药物的治疗效果都不甚理想,一直是疼痛治疗领域的难题。因传统方法不能对损伤神经进行修复或促进神经再生功能。所以,研究者寻找有效途径干预神经病理性疼痛显得尤为重要。

2008年5月至2011年1月广东省某医院开展58例神经系统疾病临床研究,其中包括脊髓损伤20例,脑卒中13例,多发性硬化11例,周围神经损伤7例,运动神经元病7例。

图片

所有患者通过干细胞疗法干预后结果显示:与治疗前比较治疗后血液中白细胞,中性粒细胞,淋巴细胞计数增加,肝肾功能水平均升高,但均在正常范围内。

图片

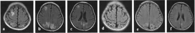
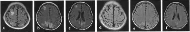
头部 MRl T2 Flare像:a-c是治疗前;d-f是治疗后8个月

免疫检测未发现异常,治疗后脑脊液中白细胞和红细胞数量增加,有利于修复受损神经系统。唯一出现副反应是头疼或发热,但两者均在短期内会自动消退。

另外Venturi等人对15例难治性阴部神经痛受试者进行局部干细胞治疗,12个月后其中10例疼痛症状明显改善,平均疼痛评分从8.1分降至3.2分。

Vaquero等人将干细胞注射入蛛网膜下腔治疗10例脊髓损伤后神经病理性疼痛患者,干细胞治疗1个月后患者疼痛评分明显降低。

尽管修复神经病理性疼痛十分困难,但对于传统修复反应不佳的病人,干细胞疗法仍是存在潜力且可尝试的方法。

图片

慢性疼痛给人们带来了巨大的痛苦,但干细胞技术对于顽固性慢性疼痛有着极大的应用前景。相信随着医学的进步,疼痛治疗方法和观念的变革,干细胞将为慢性疼痛患者打开一扇希望之门!
图片

       上海本正生物工程有限公司提供的干细胞是从脐带、胎盘中提取的一种修复器官机理的未完全分化的原始细胞,具有自我更新、多项分化和高度繁殖的能力,医学上称为“万能细胞”,它是形成人体各种组织器官的起源细胞。干细胞对临床上一些疑难疾病的治疗如:脑瘫、老年痴呆、脑萎缩、帕金森病、中风、肝硬化、糖尿病、红斑狼疮、股骨头坏死、软骨和关节损伤、心脏和脊髓损伤等,取得显著效果,它拥有更加鲜活细胞能量,可以快速、有效进入体内,分泌多种有益细胞因子,调节体内微环境,激活干细胞再生能力,重启时光之门,追溯青春绽放源头,实现对人体衰老状态减缓,同时有效改善身体亚健康以及预防肿瘤发生。

图片


上一篇: 干细胞代替透析、换肾,肾衰不再别无选择!
下一篇: 免疫细胞有效预防癌症
关于我们  |  公司掠影  |  新闻中心  | 联系方式  |  在线留言
版权所有 Copyright(C)2015-2016 上海本正清源干细胞科技集团有限公司