
间充质干细胞(MSC)可来源于各种组织如脐血。这些细胞有能力在体外增殖和分化成一系列组织,包括成骨细胞,软骨细胞,脂肪细胞,心肌细胞和血管细胞。由于这种能力,间充质干细胞为组织再生领域的研究和临床用途提供一个广阔前景。
人体内软骨有三种类型:关节软骨(articular cartilage,又称透明软骨,覆盖在关节表面),纤维软骨(如半月板,椎间盘),及弹性软骨(如外耳廓)。
正常关节软骨表面光滑,呈现蓝白色,软骨细胞分泌合成的软骨基质和软骨基质的降解保持平衡,使得关节软骨光滑有弹性,可发挥保护、减轻震荡和减少摩擦等重要生理作用。关节软骨,俗称“脆骨”,关节部位白白的那一层很薄的“骨头”就是关节软骨,人的关节也被这一层软骨覆盖。
随着高能、高速创伤不断增多和人口老龄化加速,关节软骨损伤和退变的患者日益增多。关节软骨损伤的治疗是骨科领域一个难题,因为关节软骨无神经、血管及淋巴组织,自我修复能力极其有限。
由于关节面有透明软骨覆盖,透明软骨一旦损伤,可引起关节的僵硬、不稳和疼痛,加速关节退变,导致骨关节炎的发生,当关节软骨损伤后发展到最终末期就会形成骨关节炎,又称“老年性关节炎”。
关节软骨损伤是运动爱好者及运动员的常见疾病。在超过60岁的人群中,80%以上在膝关节可见骨关节炎X线征象,50%被疼痛困扰。美国软骨损伤患者每年约4300万,治疗软骨损伤及并发症医疗费用约耗资640亿美元。
关节软骨损伤对人类健康带来极大危害,加重了社会医疗的负担。关节软骨的损伤可以是急性创伤所致,也可以是慢性退变的结构。关节软骨没有血管供应,所以一旦发生急性浅层软骨损伤,往往很难治愈。
对于已经进展至骨性关节炎的病人,传统治疗采用方法是:非手术治疗+手术治疗。
非手术治疗方式包括:物理治疗,改变生活方式(如减轻体重,减少关节活动),口服或注射药物(如止痛药物、软骨保护药物等)。手术治疗方式包括:截骨矫形及关节置换。
非手术治疗时间长,且只能起到暂时缓解疼痛的作用,而手术治疗后关节假体有使用年限,超过使用期限还需再手术更换假体,平时还需注意关节使用程度和频率,也不能从事体力劳动,治疗效果可想而知。
近年来随着科技的发展,间充质干细胞疗法给软骨修复带来福音。干细胞疗法治疗关节软骨损害已成为国内外学者共同研究的热点。
作为关节软骨治疗的理想种子细胞,间充质干细胞疗法在治疗关节软骨的四种作用机制:
1、干细胞强大的自我更新、增殖能力及分化潜能,可替代受损软骨细胞;
2、通过旁分泌和自分泌合成多种生物活性分子如胰岛素样生长因子(IGF)—I、转化生长因子(TGF)-β、血管内皮生长因子(VEGF)等,激活细胞和血管再生途径,对软骨起到营养作用;
3、归巢性,在体内微环境作用下主动迁移至软骨缺血或受损部位进行修复重建;
4、免疫抑制和抗炎作用,即表达主要组织相容性复合体(MHC)—I而逃避宿主免疫清除,并通过抑制T淋巴细胞活性和抑制自然杀伤细胞分化实现抗炎作用。
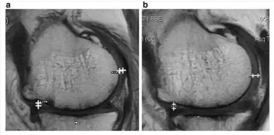
临床治疗1:膝关节内注射ADSC(SVF)和PRP治疗骨性关节炎 (J Transl Med,2017)
对10例患者关节腔内注射脐带来源干细胞和PRP,治疗后2年检测结果,WOMAC评分也得到改善,60%的病人的软骨体积增加。
治疗后(b)比治疗前(a)的软骨厚度增加
注:两条白色长度表示厚度
临床治疗2:成人间充质干细胞经关节内注射到膝关节(J Bone Joint Surg Am,2014)
对55例部分关节切除患者进行关节腔内注射间充质干细胞,通过VAS及self-Lysholm评估:关节疼痛得到缓解,关节功能改善;随访1年,MRI检测发现半月板体积显著增加。
随着组织工程等学科的迅猛发展,使得间充质干细胞疗法治疗关节软骨损伤成为了可能。在未来基础科学以及临床科学的研究中,干细胞疗法治疗关节软骨损伤前景广阔。

上海本正生物工程有限公司提供的干细胞是从脐带、胎盘中提取的一种修复器官机理的未完全分化的原始细胞,具有自我更新、多项分化和高度繁殖的能力,医学上称为“万能细胞”,它是形成人体各种组织器官的起源细胞。干细胞对临床上一些疑难疾病的治疗如:脑瘫、老年痴呆、脑萎缩、帕金森病、中风、肝硬化、糖尿病、红斑狼疮、股骨头坏死、软骨和关节损伤、心脏和脊髓损伤等,取得显著效果,它拥有更加鲜活细胞能量,可以快速、有效进入体内,分泌多种有益细胞因子,调节体内微环境,激活干细胞再生能力,重启时光之门,追溯青春绽放源头,实现对人体衰老状态减缓,同时有效改善身体亚健康以及预防肿瘤发生。

|