
干细胞是人体内具有复制和多向分化潜能的原始细胞,是我们机体的起源细胞,是可形成人体内各种细胞、器官的原始细胞。具有自我复制能力的多潜能细胞,是一种未充分分化,尚不成熟的细胞,具有再生各种组织器官和人体的潜在功能。通过细胞分裂的方式复制自身,从而补充受损或凋亡的组织细胞,在特定的生理或体外诱导条件之下,可以分化成具有不同功能的成熟细胞,医学界成为“万用细胞”。干细胞疗法给临床治疗带来什么样的思考?干细胞用于针对慢性病的调理和修复这一研究,是否推动科学发展,为治疗开拓了新的道路呢?
1
朋友,你的肾还好吗?
我们在电视广告上经常看到类似关于肾脏不好的广告,其实关于肾脏不好的各种慢性肾病大多发生在中年人群中。根据流行病学的研究数据发现,在我国,慢性肾病的发病率为10.8%,而尿毒症(肾衰竭末期)发病率为每百万人口300-400人。这说明肾病正在悄无声息地威胁着我们的健康。

近年来,我国急慢性肾病的发病率呈逐年上升趋势。因此,临床上急需寻找更有效地干预肾病,促进肾组织修复的治疗手段。

干细胞是目前再生医学领域的研究热点,是当今生物医学研究中最激动人心的研究领域,是最具应用前景的前沿学科。
干细胞在肾病领域中也越来越受到医学界重视。目前,干细胞用于糖尿病肾病、狼疮肾炎已相继进入我国干细胞备案的临床阶段,并且开展多中心临床研究方式,提高了临床试验的真实有效性。干细胞已逐渐在慢性肾病、急性肾损伤、糖尿病肾病、肾纤维化等肾脏疾病的基础研究中表现出良好研究成果,为临床应用奠定了基础。
2
间充质干细胞,成为4类肾病的理想选择
间充质干细胞(mesenchymal stem cells,MSCs)是一类起源于中胚层的具有自我更新与多向分化潜能的成体干细胞,其来源主要包括骨髓、脐带、脐带血、胎盘、肝脏和肺等。MSCs 呈现纤维细胞形态特征,为长梭型或纺锤状,贴壁生长,选择性旁分泌水平较高,MSCs 具有很强的自我更新能力,其免疫原性低且无排异反应,在干细胞研究及转化应用领域更有优势。

到目前为止,已有的研究证实:间充质干细胞具有强大的抗炎特性和免疫调节功能,在干预多种肾病上具有很大的优势。1)分化作用:由于归巢效应,干细胞会自动趋附到肾脏病灶,分化成肾固有细胞,肾实质细胞,肾小球上皮细胞等。从而修复受损肾脏,重建肾脏血液循环,改善肾脏功能。2)旁分泌作用:释放的某种活性因子还会刺激肾细胞分泌促红素,而促红素可以促使红细胞的生成,这样就缓解了机体贫血的状况。3)免疫调节作用:干细胞具有免疫调节的功能,可有效减轻肾小球肾炎症状,来实现对肾脏的改善作用。
一、慢性肾病
各种原因引起的慢性肾脏结构和功能障碍≥3个月成为慢性肾病(CDK),主要指标是肾小球滤过率GFR<60mL/min。
对61例CDK患者采用全身和局部输注干细胞,两周后患者的血β2-MG、尿素氮、肌酐、尿酸等指标显著下降,尿β2-MG、IgG、Alb、THP、24h尿蛋白、24h白蛋白排泄等指标也显著改变,证明患者的肾功能提高,干细胞对CDK的治疗是卓有成效的。

另外,研究人员纳入30例慢性肾病患者,采用静脉回输方法进行干细胞治疗,治疗后第1、3、6个月,干细胞治疗组的血清肌酐清除率明显高于对照组,且2例患者蛋白尿消失。
慢性肾脏病(CKD)是我国成年人高发的一种疾病,患病人群大,而且每年以10%的速度进行递增,慢性肾脏病治疗不及时可能导致尿毒症。据了解,我国约有9成人群不知自己得了“慢性肾脏病”。
脐带间充质干细胞(UCMSC)主要通过定向归巢和分化、分泌细胞因子和营养物质促进损伤修复,可使氧化损伤和炎症细胞因子的局部表达减少,调节T淋巴细胞池增加,从而抑制慢性炎症反应和促进肾小管上皮再生速度。
大量的临床前动物慢性肾病模型细胞使用实验研究已经证明[1],外源性 UCMSC即便在肾组织中分布较少,但结果同样显示出一定的疗效,可以促进肾脏血管的微循环,改善肾功能,并且通过一系列复杂机制促进肾损伤修复,延缓CKD的进程。研究还发现,间充质干细胞的这些作用机制更多源于其“旁分泌”特性,而不是复制分化潜能。

急性肾损伤(acute kidney injury,AKI)是严重危害健康的重要疾病,近年来其发病率有逐年增多的趋势。重症AKI死亡率高、预后差,约50%最终进展为尿毒症。AKI还会增加机体各系统的并发症,医疗花费大。AKI缺乏有效治疗手段,临床上通常以去除病因、纠正可逆危险因素,进行对症治疗、支持治疗或者肾脏替代治疗。目前国内外没有特异性治疗AKI的药物,无法减轻已发生的肾脏损伤,无法促进损伤细胞正常修复,或抑制病理性修复。循证医学研究表明,肾脏替代治疗无论启动治疗时间早或晚、不同的治疗剂量,均未证明对AKI患者及肾脏预后有改善作用。因此,研究AKI新的治疗方法,对降低患者死亡率,改善肾脏预后至关重要。2008年开展了MSC用于AKI的临床治疗,评价MSC在心脏直视手术后AKI中应用的安全性和有效性。对16例AKI高危患者,术后经股动脉导管注入脐带源性MSC。经过6个月的随访没有观察到严重不良反应。说明脐带MSC是一种安全的干预方法。随后在2017年开展的MSC用于AKI的多中心随机对照临床治疗,观察脐带MSC加速AKI肾功能恢复的疗效。156例心脏手术患者接受MSC调理,结果发现脐带MSC安全、患者耐受性良好。

干细胞治疗有望成为预防慢性肾脏病及并发症转化急性肾损伤(AKI)的理想方法,目前已应用到多种因素引起的急性肾损伤。
用MSC治疗AKI的临床治疗人群为具有AKI高危因素的心脏手术病人,用以评价MSC治疗的安全性。病人入组标准是:慢性肾脏病1~4期,年龄> 65岁,伴有以下疾病之一,糖尿病、充血性心衰、慢性阻塞性肺病、高血压,体外循环超过2 h。目前得到的初步结果是:MSC组16个月肾功能良好,无需依赖肾脏替代治疗,而对照组约20%发展为AKI;且住院天数及再住院率较对照组降低40%;在目前的观察期间未发现MSC的明显副作用。实验结果证实干细胞能够预防慢性肾脏病转化的AKI,为干细胞治疗急性肾损伤提供良好的思路。
干细胞治疗的机制是多因素的,即可通过自我更新能力分化成肾脏细胞,又可通过释放细胞因子或生长因子加速其修复。此外,干细胞作用于急性肾损伤机制的各个环节,通过旁分泌、抗炎和免疫调节性能,从而实现肾脏保护。

日前,日本湘南合作医院研究团队在《干细胞转化医学》上发表文章,分享了利用干细胞成功干预急性肾损伤患者的经验。

据了解,这个临床治疗是采用外周血CD34+细胞用于一名36岁男性患者的严重急性肾损伤,因顽固性高血压合并微血管病态溶血导致急性肾损伤合并慢性缺血性肾损伤,经血液透析后血肌酐水平仍然很高,因此接受了干细胞干预。

研究人员将脐带干细胞直接注入双侧肾动脉。细胞使用后除了出现一过性发热和血小板增多外,未出现任何重大不良事件。细胞使用后23周,他的血清肌酐水平显著改善,肾功能得到有效改善,此外仅用60mg硝苯地平和20mg奥美沙坦便可以很好地控制之前难以控制的顽固性高血压。
该案例初步证实干细胞用于急性肾损伤安全有效,但由于数据有限,未来还需要更大规模的临床来评价其长期效果。
干细胞干预急性肾损伤的机制是多因素的,即可通过自我更新能力分化成肾脏细胞,又可通过释放细胞因子或生长因子加速其修复。此外,干细胞作用于急性肾损伤机制的各个环节,通过旁分泌、抗炎和免疫调节性能,从而实现肾脏保护。
在基础研究证实间充质干细胞及其他类型干细胞对急性肾损伤的干预效果后,不少科学家已经开展临床来进行进一步验证。截止目前,已经有多项间充质干细胞用于急性肾损伤的临床注册在美国国立卫生研究院的最大临床注册库http://clinicaltrials.gov上。

三、糖尿病肾病糖尿病患者肾病的患病率高达20%~40%,是导致终末期肾病的主要原因之一。日前,《干细胞转化医学》杂志发表了一篇论文,通过对40项相关研究进行整理和归纳,总结了关于干细胞及其衍生产物在糖尿病肾病中的效果,探讨了相关因素对治疗结果的影响,综合分析后获得的结论是,细胞治疗有利于改善糖尿病动物的肾脏功能,为进一步临床治疗糖尿病肾病提供了证据。

研究表明,间充质干细胞的自我更新和适应能力强,以及低免疫原性等特点使其在治疗领域获得成功。接受异体间充质干细胞的糖尿病模型动物血清肌酐和尿素明显降低,糖尿病引起的肾小球硬化等组织学改变得到改善,蛋白尿减少。

另有研究人员对15例2型糖尿病患者进行干细胞治疗,结果发现舒张压、尿素氮、血清肌酐、24h尿白蛋白定量等指标均有所下降,且优于常规疗法。
四、肾移植术后免疫耐受
临床实验证实,间充质干细胞在移植物抗宿主病起到缓解、调控作用。间充质干细胞能够缓解慢性肾移植后免疫排斥反应,针对血液肌酐水平升高、肾功能减退、蛋白尿等症状有良好效果。
其次,间充质干细胞也能诱导肾移植后的免疫耐受。据《Stem Cells Translational Medicine》杂志报道,一例活体肾脏移植受者用间充质干细胞输注诱导免疫耐受获得成功的案例。在没有使用免疫抑制剂的情况下,可完全耐受新器官18个月。

在2010年10月,一位患有终末期肾病的 37 岁男性,接受了活体肾移植,同时接受干细胞治疗。在器官移植前一天,患者进行了间充质干细胞回输,并在器官移植后的六天内,每天静脉接受低剂量的兔抗人胸腺细胞免疫球蛋白输注治疗。

患者经器官移植前回输间充质干细胞,之后肾功能迅速恢复,且在移植后2年内功能稳定。同时血液检测结果显示, 患者对供体肾脏产生了耐受性。患者所服用的免疫抑制剂逐渐减少,直到完全停止服用。截止报道时,患者已经 18 个月没有使用免疫抑制剂,且移植后的肾脏功能正常。

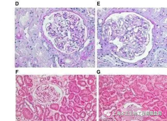
患者移植后1年(D,F)和8年(E,G)肾活检显示患者具有免疫耐受状态
研究人员认为,本案例成功真正归因于移植前干细胞输注所诱导出持续促耐受性环境。本病例提供了新的证据,证明在活体肾移植中,间充质干细胞可在移植后安全、完全停用维持性抗排斥药物,最终达到免疫耐受状态。
临床治疗证实了干细胞治疗慢性肾病的有效性和安全性,通过MSCs的干预调节可改善急性肾损伤、糖尿病肾病、肾移植后慢性排斥反应,提高肾功能,为慢性肾病患者的临床治疗提供了新方法。相信未来干细胞技术让更多的肾病患者受益。
肾病新前景干细胞疗法
近期,国际干细胞研究学会(ISSCR)发布了2021年更新版《干细胞研究和临床转化指南》。这一版本融入了该领域最新进展,包括基于干细胞的胚胎模型、人类胚胎研究、嵌合体、类器官和基因组编辑。该指南由来自14个国家的科学家和伦理学家进行了同行评议。
“2021年的更新版本为监督给研究人员和公众带来独特的科学及伦理问题的研究提供了实用的建议。”ISSCR指南工作组主席、英国弗朗西斯·克里克研究所干细胞生物学和发育遗传学部门主任Robin Lovell-Badge称,“这增强了研究人员、临床医生和公众的信心,使他们相信干细胞科学能够以负责任的、合乎伦理的方式进行,并时刻维护公众和病人的利益。”
科学家、研究组织和科学期刊长期依赖ISSCR指南作为干细胞研究的科学和伦理严密性、监督及透明度的国际标准。这些准则还为没有相关监督制度的国家实施新的监管框架提供了基础。遵循相关指南保证了研究的完整性,保证了新疗法是安全、有效且循证的。

干细胞治疗慢性肾病机制
因干细胞具有无限增殖,多向分化潜能,具有造血支持,免疫调控和自我复制等特点,可作为理想的“种子”细胞用于病变引起的组织器官损伤修复。
干细胞到达肾脏病灶后会分化成肾脏所需要的各种类细胞 ,改善肾脏局部微循环,降低肾小球内的高压力,缓解肾脏缺血缺氧状态,使全身血液循环不断的得到恢复和改善, 释放的某种活性因子还会刺激肾细胞分泌促红素,促使红细胞的生成,这样就缓解了机体贫血的状况。
并且还会抑制免疫反应,调节免疫系统功能恢复正常,以此达到逐步修复肾脏的目的 ,这些是干细胞治疗肾脏病所发挥的整体作用,同时会依据不同的病情进行不同程度的修复。
干细胞对慢性肾病的修复疗效体现:
1.抗肾脏纤维化,抗肾脏细胞凋亡;
2.减少炎症细胞浸润,消除炎症反应;
3.蛋白尿消失,尿酸,肌酐等指标好转;
4.提高肾功能,避免肾透析带来的痛苦.
干细胞的发展前景广阔
干细胞治疗肾病的临床研究
2016年至2019年,我国中央财政经费拨款支持干细胞临床研究涉及重症急性肾损伤等多种疾病,并且国家卫健委 批准了 《脐带间充质干细胞治疗狼疮性肾炎的随机盲态平行对照多中心研究》的备案项目。
案例一:人脐带间充质干细胞治疗慢性肾衰竭
一例62岁的印尼籍妇女,被诊断为胸部截瘫、慢性肾功能衰竭、糖尿病,长期肾脏受累,慢性肾功能衰竭2年,肌酐水平为11 mg/dL,无小便。采用人脐带间充质干细胞方案治疗。鞘内注射1.6×107个间充质干细胞,静脉注射1.6×107个间充质干细胞。鞘内注射和静脉注射后三周后,患者可以移动脚趾,肾功能得到改善。肌酐水平降至9 mg/dL。8个月后,患者可以抬起腿,肌酐水平是2mg/dL,小便恢复正常。
患者,男,29 岁。6 岁时确诊为1型糖尿病。2001年出现肾功能异常,诊断为 “ 糖尿病肾病、尿毒症”,遂开始血液透析,约3次/ 周。在行同种异体肾移植术+门静脉置管术后,次日及第三日分别给予施行成人胰岛及间充质干细胞肝内治疗。治疗后,患者肾功正常,生命体征正常,血糖控制平稳,胰岛素用量约15单位/天,比术前减少了近40单位/天。空腹和餐后C肽水平较移植前有明显的提高。出院后给予密切随访,及时调整免疫抑制剂、胰岛素剂量,并将用药时间合理调整,顺应工作需要,帮助患者顺利走上工作岗位,实现从毫无劳动能力的重症患者到创造社会价值的劳动者的转换。案例三:对61例CDK患者采用全身和局部输注的方法干细胞治疗,两周后患者的血β2-MG、尿素氮、肌酐、尿酸等指标显著下降,尿β2-MG、IgG、Alb、THP、24h尿蛋白、24h白蛋白排泄等指标也显著改变,证明患者的肾功能提高,干细胞对CDK的治疗是卓有成效的!综上所述,干细胞治疗慢性肾病的技术会让更多的患者受益!
上海本正生物工程有限公司提供的干细胞是从脐带、胎盘中提取的一种修复器官机理的未完全分化的原始细胞,具有自我更新、多项分化和高度繁殖的能力,医学上称为“万能细胞”,它是形成人体各种组织器官的起源细胞。干细胞对临床上一些疑难疾病的治疗如:脑瘫、老年痴呆、脑萎缩、帕金森病、中风、肝硬化、糖尿病、红斑狼疮、股骨头坏死、软骨和关节损伤、心脏和脊髓损伤等,取得显著效果,它拥有更加鲜活细胞能量,可以快速、有效进入体内,分泌多种有益细胞因子,调节体内微环境,激活干细胞再生能力,重启时光之门,追溯青春绽放源头,实现对人体衰老状态减缓,同时有效改善身体亚健康以及预防肿瘤发生。

|