


如今,随着生物科学的长足发展,银屑病治疗已经发生翻天覆地的变化。
银屑病
俗称“牛皮癣”,是一种表现为「银白色鳞屑且边界清楚的红斑」常见慢性炎症性皮肤病;症状及发病情况一般冬重夏轻,与冬季天气寒冷干燥相关;
等等...
可发生于任何年龄,成人发病几率高于儿童,且发病高峰期集中在30-39岁和50-69岁两个年龄段。银屑病常见症状是皮肤表面覆盖鳞屑、红斑,伴有瘙痒,挠后容易出现脱屑、出血等症状。根据症状又可以分为寻常型、脓疱型、关节型、红皮病型4种。
No.1
寻常型银屑病
寻常型银屑病占银屑病的90%以上,以斑块型银屑病最常见。

通常表现为大小不一的红斑,表面覆有多层疏松的银白色鳞屑,刮出鳞屑后,出现薄膜现象和点状出血。
No.2
关节型银屑病

临床上表现为既有“类风湿关节炎”又有“强直性脊柱炎”,出现关节僵硬或出现畸形。
No.3
脓包型银屑病

No.4
红皮型银屑病
表现为大于体表面积90%的皮肤弥漫性潮红、浸润肿胀并伴有大量的糠状鳞屑。

因为明显的皮肤症状,银屑病患者通常承担了极大的心理压力与社交障碍:
坐公交车时,我习惯坐最后一排,因为总感觉别人会盯着我耳朵后面的皮损看。
我知道银屑病不传染,但儿子小时候,我从不和他睡一起,偶尔抱抱也要穿好长袖。
最严重时“体无完肤”,头上皮损连成片,就像有个帽子。那时候从不出门,想着这病根本治不好,万念俱灰。
然而除皮肤症状、心理负担以外,银屑病还具有更为广泛的临床表现:如关节损害、内脏损害、代谢综合征、动脉粥样硬化性心血管疾病以及克罗恩病等。

根据《中国银屑病诊疗现状2020蓝皮书》数据显示,47.93%患者对治疗结果“一般满意”,17.88%“不满意和非常不满意”。因此,找到一种有效治疗银屑病的新策略对于患者至关重要。干细胞具有强大的免疫调节能力,主要体现在其可分泌大量可溶性细胞因子,如巨噬细胞集落刺激因子( M-CSF)、转化生长因子(TGF-β)、肝细胞生长因子 (HGF)、血管内皮生长因子 (VEGF)、前列腺素 E2 (PGE2)、白血病抑制因子 (LIF) 等。

这些细胞因子可直接接触细胞,介导其免疫调节活性,或通过抗原递呈细胞参与介导免疫调节,或直接诱导T细胞凋亡,还可通过信号通路介导形成综合网络调控作用。与此同时,银屑病是一种慢性复发性炎症性皮肤病,发病机制可能与Th1、Th2、Th17及Treg细胞及其分泌的细胞因子关系密切。

炎症性细胞因子作为主要介质,在过度活化多种免疫细胞及角质形成细胞相互作用下,导致细胞因子网络恶性循环。研究证实,银屑病患者皮损及外周血中Th17过度活化及增殖,Treg 数量减少,免疫抑制功能降低,是导致免疫功能紊乱关键环节。而间充质干细胞(MSC)对损伤组织的修复以及免疫功能的调节有重要作用,可维持 Th17/Treg 的平衡,目前已经被用于临床治疗Th17/Treg 失衡相关疾病。 截至目前,在clinicaltrials.gov网站上注册的有关干细胞治疗银屑病的临床研究有多项其中最常应用的是间充质干细胞。在2016年发表的一项研究中,研究者利用间充质细胞治疗了2名银屑病患者,结果表明:2名患者均未出现严重的不良事件,皮肤损害发生好转,炎症指标也显著下降。

2018年发表的一项研究对一位患有严重银屑病的43岁男性进行间充质干细胞注射,在12个月的随访期间患者皮肤质量明显改善,症状减轻,生活质量显著提高。

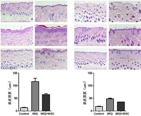
2020年,有动物实验将小鼠随机分为对照组模型组和hUC-MSCs(脐带间充质干细胞)组。采用银屑病样皮损面积和疾病严重指数(PASI)评分标准观察银屑病样小鼠模型皮损变化情况;通过HE染色观察表皮层厚度,角质层角化程度及炎性细胞浸润程度;检测小鼠血清白细胞介素-6(IL-6)的浓度,评估小鼠炎症反应。

图1 小鼠皮损观察

图2 小鼠皮损组织学观察

图3 小鼠血清中IL-6的含量测定
实验表明脐带间充质干细胞能延缓小鼠银屑病的发生,并减轻银屑病症状,加快银屑病样皮损部分的恢复,可能通过调节IL-6发挥免疫调节作用。干细胞治疗银屑病等自身免疫性疾病的优势在于其不仅可以替代和修复损伤或死亡的细胞组织,还可以在免疫紊乱的发病环节进行干预,从根源进行治疗,未来前景可期。
上海本正生物工程有限公司提供的干细胞是从脐带、胎盘中提取的一种修复器官机理的未完全分化的原始细胞,具有自我更新、多项分化和高度繁殖的能力,医学上称为“万能细胞”,它是形成人体各种组织器官的起源细胞。干细胞对临床上一些疑难疾病的治疗如:脑瘫、老年痴呆、脑萎缩、帕金森病、中风、肝硬化、糖尿病、红斑狼疮、股骨头坏死、软骨和关节损伤、心脏和脊髓损伤等,取得显著效果,它拥有更加鲜活细胞能量,可以快速、有效进入体内,分泌多种有益细胞因子,调节体内微环境,激活干细胞再生能力,重启时光之门,追溯青春绽放源头,实现对人体衰老状态减缓,同时有效改善身体亚健康以及预防肿瘤发生。

|