|
股骨头坏死(ONFH)又称缺血性股骨头坏死,是骨科中常见又难治的疾病,多发于中青年,主要病因是患者的股骨头血液供应遭到破坏,导致骨髓成分减少与骨细胞死亡,最终股骨头坏死塌陷,引起髋部疼痛,降低人们的生活质量。
股骨是人体最重要的骨骼之一,而股骨头更为重要,人的直立行走、活动、劳动都依靠股骨头的支撑作用。所以股骨头也是最容易受伤的部位。股骨头坏死又称股骨头无菌性坏死,或股骨头缺血性坏死,是骨坏死的一种。股骨头局部血运不良,引发股骨头血液循环障碍,从而使得股骨头进一步缺血、坏死、骨小梁断裂、股骨头塌陷的一种病变。最终导致严重的疼痛感和运动功能丧失,严重降低人们的生活质量。据了解,全世界约有3000万股骨头坏死人群,且有呈上升趋势。来自《中国成人股骨头坏死临床诊疗指南(2020)》的数据显示:我国非创伤性股骨头坏死患者累积已达812万,男性患病率(1.02%)显著高于女性(0.51%),城镇居民高于农村居民。股骨头坏死致病因素大体上分为创伤性和非创伤性,前者主要包括股骨颈骨折、髋关节脱位等,后者主要包括长期大剂量运用糖皮质激素、酗酒、链状细胞贫血、自身免疫性疾病等。其中,长期大剂量运用糖皮质激素是股骨头坏死的主要致病因素,约占50%以上。
大多数人因其早期临床症状不典型, 时常发生漏诊误诊, 因而在早中期没有采取积极措施,错过最佳干预时机, 最终导致股骨头变性、关节疼痛、活动受限,病情发展至末期,已难以完全修复。3-4年内可能出现股骨头塌陷或骨关节炎,最终导致严重的疼痛感和运动功能丧失,80%患者需要接受全髋关节置换术,但因其假体寿命有限,还可能造成假体松动和感染等并发症的发生,从而严重降低患者的生活质量。
而无论是哪一种致病因素,股骨头坏死修复的最终目的是:改善局部血液循环、促进骨组织再生、阻止骨坏死、防止关节软骨退行性变, 从而恢复股骨头组织正常结构和功能。
关于如何修复股骨头坏死,临床上通常采用高压氧、体外冲击波、脉冲电磁场、药物干预、针灸等方法,但干预效果有限,只能改善患者的症状,ONFH还是可能以不同程度进展到终末阶段,无法从根本上修复。因此多数患者最终只能选择股骨头假体置换。近年来随着再生医学与组织工程技术的发展,干细胞用于修复股骨头坏死成为了研究热点。干细胞被称为医学界的“万能细胞”,在体内应用干细胞修复组织缺损时,它可向受损组织自主迁移并可分化为局部组织的特定细胞,从而达到修复的目的。从脐带中分离培养出来的间充质干细胞(MSC)是起源于中胚层的原始细胞群,具有多系分化潜能,可以分化为骨,软骨或肌肉、肌腱、韧带、内皮等多种组织细胞。破骨细胞是影响骨吸收的主要功能细胞,在骨发育、生长、修复、重建中具有重要作用。干细胞可通过旁分泌作用发挥调节作用,2016年《J Cell Biochem》杂志报道,在正常生理状态下,干细胞与破骨前体细胞共同存在时可以促进破骨细胞分化成熟。外源性的干细胞输入可自主归巢到病灶处帮助消除炎症,改善MSCs的生存微环境,激活休眠的MSCs发挥分化再生作用,即有利于促进MSCs向成骨细胞分化,从而增加骨密度,填补骨缺损。股骨头坏死发生的根本原因是股骨头内部营养血管供应障碍,干细胞具有免疫调节及抗炎特性,并且可在某种特定条件下促进坏死区域的血管再生,为缺血坏死区提供营养支持,促进血管内皮细胞的修复再生,帮助恢复股骨头内的血供状态,从而改善或增加股骨头坏死区周围及髋部组织的血液循环。干细胞修复股骨头坏死的研究一直在进行着,并且研究者尝试将干细胞联合其他方式进行干预,探究其修复效果,这其中出现了许多成功的临床案例。《中国组织工程研究》杂志曾发布了一项关于股骨头坏死的回顾性研究:探讨了干细胞联合髓芯减压的有效性和安全性,在长达7.5年的随访中,分析股骨头塌陷率和髋关节置换率。
对65例1/2期股骨头坏死受试者进行干细胞回输和髓芯减压,7.5年随访塌陷及髋关节置换情况。
结果发现,非置换的有50例,其中35例无塌陷(占54%)现象,即非置换率即髋关节保存率为77%;Harris髋关节功能评分大于75分的35例,平均为(79.5±11.9)分,临床成功率70%;目测类比评分(评测疼痛感)下降为(2.3±0.5)分,疼痛感缓解明显;需要辅助负重行走的情况从60.9%下降为18%。
图中A和C:典型病例术前正位和蛙式位X射线片,
股骨头内不规则高密度影;
图B和D:典型病例术后7年正位和蛙式位X射线片,
股骨头外形规整,无塌陷。
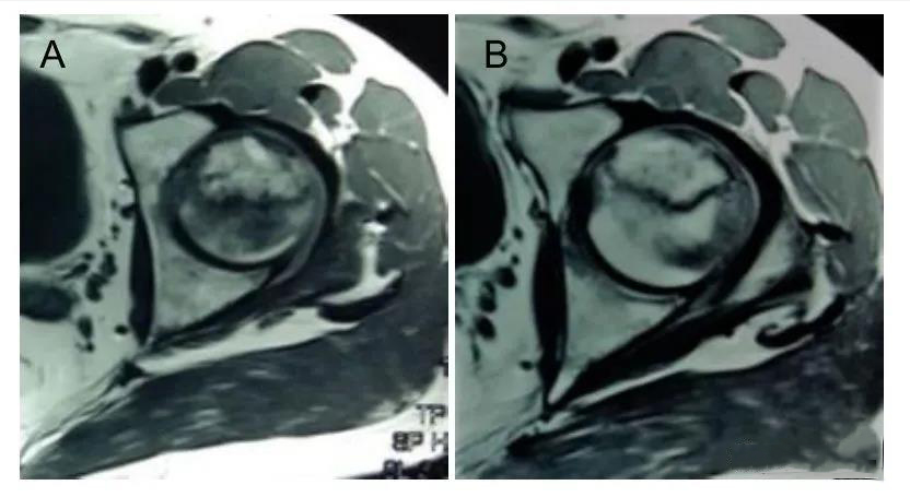
此外,MRI片上坏死面积较术前明显减小,细胞使用前坏死面积为(31.0±5.3)mm2,细胞使用后为(24.3±3.5)mm2,具有差别意义。
图A:MRI图像股骨头坏死;
图B:显示细胞使用后股骨头坏死面积缩小。
通过此项临床试验的中远期评估,发现干细胞联合髓芯减压能有效降低塌陷率,提高临床成功修复率。
选择2010年5月至2013年5月在合作医院骨外四科住院的股骨头坏死病例27例, 男21例, 女6例;年龄36~55岁, 平均40.5岁。致病原因:长期饮酒19例, 外伤后5例, 长期服用激素2例, 不明原因1例。提取培养的脐带间充质干细胞MSCs。并对患者进行髓芯减压植骨术联合脐带MSCs回输调理。
27例患者细胞使用后12~20个月 (平均18个月) 随访, 按Harris髋关节功能评分, 疼痛消失, 能从事各种劳动, X线片或MRI显示股骨头基本正常23髋 (76.7%) ;疼痛明显减轻, 行走基本正常或者轻微跛行7髋(23.3%);行走间距延长28髋 (93.3%) , 髋关节功能障碍明显好转18髋 (60%) 。干细胞还能重建骨组织中的神经回路。在股骨头坏死的早中期,骨中的交感神经纤维化情况较轻,干细胞能启动修复神经细胞功能,调控骨代谢、骨内微循环,恢复髋关节功能。此外,干细胞对晚期的股骨头坏死也有缓解病症的作用。
股骨头坏死是由多病因综合导致的骨缺血性、难治性疾病。临床研究已证实干细胞对股骨头坏死的干预效果确切, 使髋关节功能在一定程度上得以恢复,改善股骨头坏死区域的血液循环,能促进坏死区骨组织及血管的再生、缓解髋关节症状及延缓股骨头坏死进程等。而临床上应用干细联合髓芯减压植骨支撑术可为股骨头坏死人群带来更好的选择和帮助。
上海本正生物工程有限公司提供的干细胞是从脐带、胎盘中提取的一种修复器官机理的未完全分化的原始细胞,具有自我更新、多项分化和高度繁殖的能力,医学上称为“万能细胞”,它是形成人体各种组织器官的起源细胞。干细胞对临床上一些疑难疾病的治疗如:脑瘫、老年痴呆、脑萎缩、帕金森病、中风、肝硬化、糖尿病、红斑狼疮、股骨头坏死、软骨和关节损伤、心脏和脊髓损伤等,取得显著效果,它拥有更加鲜活细胞能量,可以快速、有效进入体内,分泌多种有益细胞因子,调节体内微环境,激活干细胞再生能力,重启时光之门,追溯青春绽放源头,实现对人体衰老状态减缓,同时有效改善身体亚健康以及预防肿瘤发生。

|