
NSCLC(非小细胞肺癌)是最常见的肿瘤,约占所有肺癌的85%,,男性发病率与死亡率均高于女性。
非小细胞肺癌,包括腺癌、鳞癌、腺鳞癌、大细胞癌等几种亚型,约75%的NSCLC患者发现时已处于中晚期,整体的5年生存率很低。
近日,Respiratory Medicine Case Reports杂志报告了一例NK细胞联合贝伐单抗治疗晚期NSCLC的成功案例。
一例61岁晚期非小细胞肺癌患者,接受了keytruda标准治疗后(PD-L1),仍然出现了新的病变。因此,患者联合NK细胞疗法、吉西他滨、贝伐单抗治疗。
经6次NK细胞输注联合吉西他滨、贝伐单抗治疗后,患者原发、转移病灶大小明显减小,生活质量明显改善。此外,在联合治疗期间,没有发现副作用,在造血系统、肝脏和肾脏中没有观察到毒性。这个病例表明,这种治疗方案对于PD-L1表达的晚期非小细胞肺癌是一种潜在的治疗方法。
案例详情:
2019年5月
男性,时年60岁,诊断为NSCLC。无吸烟史、无咳嗽/背痛/乏力等症状。胸部CT显示左肺上叶25×31mm大小的原发肿瘤(下图A),伴纵膈淋巴结浸润。多发纵膈淋巴结肿大,最大者5×5mm。经穿刺活检和组织病理检查确定为肺腺癌,病理分期为T4N2M1a(IV期)。肿瘤标记物CA125轻微升高,CA199和CEA正常。基因检测未发现EGFR突变。由于病灶较大,且有纵膈浸润,手术不宜进行。
2019年6月到2019年12月
患者接受3个周期的一线治疗方案:卡铂+紫杉醇双药化疗,并在第三个周期联合放疗。治疗后PET/CT显示病灶缩小到12×7mm(上图B),取得部分缓解,肿瘤标志物回复正常,并改善了一些临床症状。
2020年5月
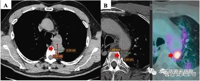
PET/CT复查显示局部进展,原发病灶大小增大为28×29mm,SUVmax值为11.2,并侵袭到纵膈胸膜和主动脉。此外,左侧锁骨上淋巴结新发转移灶,9×6mm(下图B)。
接下来,患者接受了4个周期的二线治疗方案:卡铂+培美曲塞双药化疗,并因具有25%的PD-L1阳性率,而与K药联合用药。
2020年9月
很不幸,PET/CT复查评估显示原发病灶增大到26×35mm,且SUVmax值为22.6(下图A),并且又出现了多个新发病灶。因此,患者的治疗方案不得不又要改变。
图3。联合治疗前后的原发性肿瘤。原发性肿瘤在二线治疗后进展(4个周期的阿力玛、卡铂、凯曲达)(A)。联合NK细胞治疗、吉西他滨、贝伐单抗(B)、3个月后(C)和6个月后,原发性肿瘤在治疗结束时减少(D)。
2020年10月
患者开始在4个半月内,接受6个疗程的NK细胞治疗,三周一次,并且联合了吉西他滨和贝伐单抗。期间,患者出现了干咳、胸痛等身体反应。
随着治疗的进行,患者的干咳和胸痛逐渐消失了,食欲也较前变好,患者的生活质量也明显提升。在治疗期间,没有明显的副作用出现,肝肾功能均在正常范围内。
2021年3月/2021年9月
两次复查PET/CT影像显示原发病灶明显缩小(上图B和D)。并且,纵膈淋巴结和双侧锁骨上淋巴结的转移灶也都消失了。
在治疗的全过程和治疗后对患者进行监测,到目前为止,尚未报告出现任何副作用,例如发烧,发冷,皮疹,高血压/低血压,呕吐/酸痛,腹泻,关节痛或肌肉疼痛。同时,每次治疗后评估的临床指标仍在正常范围内,在造血系统,肝脏和肾脏中未观察到毒性。
此外,在治疗前,患者出现钝性胸痛,干咳和食欲不振。然而,治疗后,上述症状消失或显着下降,治疗结束后进行的生活质量评估的评分也显着增加。患者不再出现胸痛,咳嗽症状减轻,食欲增加,整体健康状况得到改善。
干细胞是从脐带、胎盘中提取的一种修复器官机理的未完全分化的原始细胞,具有自我更新、多项分化和高度繁殖的能力,医学上称为“万能细胞”,它是形成人体各种组织器官的起源细胞。干细胞对临床上一些疑难疾病的治疗如:脑瘫、老年痴呆、脑萎缩、帕金森病、中风、肝硬化、糖尿病、红斑狼疮、股骨头坏死、软骨和关节损伤、心脏和脊髓损伤等,取得显著效果,它拥有更加鲜活细胞能量,可以快速、有效进入体内,分泌多种有益细胞因子,调节体内微环境,激活干细胞再生能力,重启时光之门,追溯青春绽放源头,实现对人体衰老状态减缓,同时有效改善身体亚健康以及预防肿瘤发生。
|