设为首页 加为收藏 联系我们
当前时间:
咨询热线:400-1010-468  
http://www.shbzsw.com.cn  
E-mail:SHBZSW@163.COM  
地址:上海市世贸大厦
行业新闻 您的当前位置:首页 -> 新闻中心 -> 行业新闻  
 
免疫细胞:肺癌治疗中逆袭的 “生命卫士”
发布时间:2024-12-18 文章来源:本站  浏览次数:601

图片

根据《中华医学会肺癌临床诊疗指南(2024版)》发布的数据显示,在我国,肺部在恶性肿瘤中的发病率和死亡率均居首位。2022年肺癌新发病例106.06万,占全部恶性肿瘤发病率的22.0%;死亡人数73.33万,占全部恶性肿瘤死亡率的28.5%。





什么是肺癌?



图片

肺癌,又称原发性支气管肺癌,是起源于支气管黏膜或腺体的肺部原发性恶性肿瘤。它主要发生在肺组织的细胞中,特别是气道上皮细胞。

根据细胞的类型和特性,肺癌可以分为两大类:非小细胞肺癌(NSCLC)和小细胞肺癌(SCLC)。

——非小细胞肺癌是最常见的类型,占所有肺癌病例的约85%,包括腺癌、鳞状细胞癌和大细胞癌等亚型。

——小细胞肺癌占约15%,生长和扩散速度较快,与吸烟密切相关。

肺癌通常按照国际肺癌研究协会(IASLC)制定的TNM分期系统进行分期:

Ⅰ期



癌细胞仅在肺组织内或支气管内,并未进入肺周围的淋巴结或远处组织,肿瘤范围相对局限。该阶段最常见的症状为咳嗽,常表现为无痰或少痰的阵发性刺激性干咳。治疗方式包括手术切除结合放疗或化疗,治愈率较高,治疗效果较好。

Ⅱ 期



癌细胞开始扩散到邻近组织或局部淋巴结,但未发生远处转移。患者可能出现持续性咳嗽、痰中带血、胸痛或气短等症状。这个阶段通常结合手术、放疗和化疗,目标是延缓病情进展并提高治愈率。

Ⅲ 期



癌细胞已经扩散至关键组织或淋巴结,但仍未发生远处转移,病情较为复杂。患者症状明显,包括严重的咳嗽、胸痛加重、声音嘶哑、呼吸困难、乏力及体重下降,部分患者还可能出现反复肺部感染的情况。此阶段多采用综合治疗,如手术、化疗、放疗、靶向治疗,目标是控制病情并延长生存期。

Ⅳ 期



这是肺癌最严重的阶段,癌细胞已经通过血液或淋巴系统扩散至远处器官(如肝、脑等)。患者会出现持续咳血、呼吸困难、严重消瘦等症状。这个阶段通常采用靶向治疗、免疫治疗或姑息治疗来缓解症状,以延长生存期和改善生活质量为主要目标。




肺癌的发病机制



当支气管黏膜或腺体细胞受到外部刺激或内部基因突变的影响时,可能会失去正常的生长控制,开始异常分裂并增殖,从而形成肺癌。这些异常细胞不仅丧失了原有的正常功能,还逐渐演变为具有侵袭性的恶性肿瘤。

肺癌的发生是一个复杂的多因素过程,涉及外部环境对肺部细胞的损伤以及内部基因的改变。外部因素主要包括吸烟、长期接触职业性致癌物(如石棉等工业化学物质)、空气污染以及不良饮食习惯等;而内部因素则涵盖遗传易感性和慢性阻塞性肺疾病(COPD)等既往肺部病史。这些因素相互作用,共同促进了肺癌的发生和发展。



肺癌的治疗方式



肺癌的治疗效果与发现的时间密切相关。早期肺癌通常可以通过手术切除或消融治疗实现治愈,治疗效果显著;但中晚期肺癌往往需要联合手术、化疗、靶向药物治疗等综合手段,部分患者甚至因病情进展而失去手术机会,治疗效果显著下降。因此,肺癌的早发现、早诊断和早治疗对改善预后至关重要。

尽管传统治疗方法在早期肺癌中疗效较好,但对于中晚期患者,其在控制肿瘤进展和延长生存期方面仍面临局限性。近年来,免疫细胞治疗作为一种新兴疗法,为这些患者带来了新的希望。其中,CIK细胞(细胞因子诱导的杀伤细胞)和NK细胞(自然杀伤细胞)因增殖能力强、杀瘤活性高以及安全性高的特点,在中晚期肺癌治疗中备受关注。

CIK细胞和NK细胞既可以单独应用,也可以与手术、化疗、放疗等传统方法联合使用,不仅有助于提高治疗效果,还能显著延长患者生存期并改善生活质量,为肺癌治疗提供了新的方向。




临床证明:免疫细胞治疗肺癌安全有效





临床案例1:非小细胞肺癌治疗




2022年12月,多名作者联合在国际知名呼吸医学期刊《Respiratory Medicine Case Reports》(《呼吸内科病例报告》)上发表了一篇题为“A case of response to combination treatment with autologous immunotherapy and bevacizumab in advanced non-small cell lung cancer”(晚期非小细胞肺癌免疫治疗联合治疗反应1例)的病例报告,该报告详细描述了一位非小细胞肺癌患者在接受免疫治疗与贝伐单抗联合治疗后取得的显著疗效。

图片

这名61岁的男性患者在2019年被诊断为IV期非小细胞肺癌。患者初期接受的治疗方案包括传统化疗和放疗,虽然短期内肿瘤的生长得到了控制,但病情一直不稳定。在2020年9月肺部CT检查中,发现原发性肿瘤面积变大并且出现了新的病灶。

由于常规治疗效果不佳,医生决定尝试新的治疗方法。患者在2020年10月开始接受NK细胞疗法联合使用抗癌药物吉西他滨和贝伐单抗治疗,经过18周的治疗,患者共接受了6次NK细胞输注(每3周一次)。患者治疗前后的CT扫描显示,患者的原发性肿瘤从之前的26×35毫米缩小了将近一半,纵隔和锁骨上淋巴结也显著缩小。

图片

患者的CT扫描:A. 第二线治疗后进展;B. 在接受NK细胞+吉西他滨和贝伐单抗联合治疗后肿瘤缩小;C. 治疗3个月后;D.治疗6个月后。

在整个治疗过程中,患者没有出现明显的副作用,血液检查、肝功能和肾功能指标始终保持在正常范围内。这表明,NK细胞疗法联合抗癌药物治疗不仅有效,而且对患者的身体负担较小,具有良好的安全性。



临床案例2:小细胞肺癌治疗



2024年6月14日,研究团队在知名期刊《Frontiers in Oncology》(《肿瘤学前沿》)上发表了一篇题为“Long-term, 13-year survival after immune cell therapy combined with chemotherapy for extensive-stage small-cell lung cancer: a case report”(病例报告:免疫细胞疗法联合化疗治疗广泛期小细胞肺癌后的 13 年长期生存)的研究报告,文章详细描述了一例广泛期小细胞肺癌成年男性患者,通过细胞因子诱导的杀伤细胞免疫治疗联合化疗,成功实现了13年的长期生存。

图片

这位患者在2011年通过支气管镜活检被确诊为广泛期小细胞肺癌。患者初期接受的治疗方案包括传统化疗和放疗,虽然肿瘤的生长在短期内得到了控制,但随后病情持续恶化。同时,化疗药物引发了严重的副作用,患者出现明显的恶心、呕吐等胃肠道反应,并伴随免疫抑制状态,导致身体难以有效抵御感染或清除肿瘤。

针对这一情况,研究团队决定尝试联合细胞疗法,以增强患者的免疫功能,遏制肿瘤的发展,同时缓解化疗带来的不良反应。

在2013年至2015年期间,患者共接受了10个周期的细胞疗法,每个周期包括连续3次的静脉输注。在此期间(2013~2014年间),患者还接受了CE方案化疗(卡铂+依托泊苷),疗程共6个周期。

经过前4个月的联合治疗,影像学复查结果显示,患者右肺的原发肿瘤明显缩小(如下图所示)。在随后的治疗和随访中,患者的病灶逐步趋于稳定。

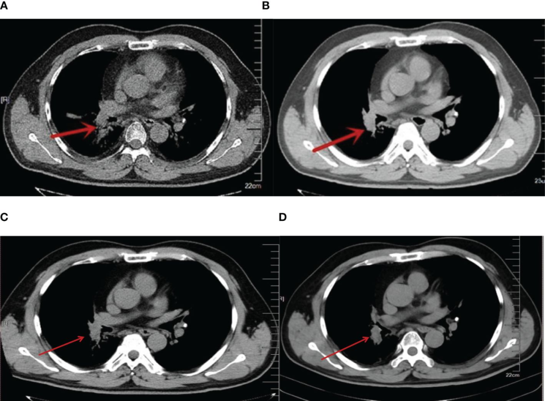
图片

患者的肺部CT扫描:A. 2013年化疗后;B. 2013年细胞疗法与化疗的联合治疗后;C.2016年;D.2023年。

在经历了两年的细胞疗法与化疗相结合的治疗后,患者的病灶控制效果理想,且未出现其他明显的不良反应。从2011年确诊至今,患者已存活长达13年,远远超出广泛期小细胞肺癌的预期生存期。

研究团队认为,细胞疗法与化疗的结合可以提升免疫功能和增强对癌细胞的杀伤作用,为小细胞肺癌患者带来了新的治疗方向,也为进一步优化治疗方案提供了宝贵经验。




小结




免疫细胞疗法作为一种新兴的肿瘤治疗策略,为肺癌患者带来了新的希望。它可以加强人体自身的免疫系统,强化对癌细胞的精准攻击能力,有效抑制肿瘤的发展。免疫细胞疗法正在逐步成为传统治疗手段(如化疗和放疗)的有力补充。

随着医学研究的深入和技术的进步,这种疗法有望成为肺癌治疗领域的重要手段之一,为更多患者带来长期生存的几率,以及更高的生活质量。

图片
图片

图片



上一篇: 间充质干细胞首次成功治疗重度肺动脉高压
下一篇: 间充质干细胞帮助脊髓损伤患者改善病症
关于我们  |  公司掠影  |  新闻中心  | 联系方式  |  在线留言
版权所有 Copyright(C)2015-2016 上海本正清源干细胞科技集团有限公司