
全球范围内肾脏病患者数量激增,现有诊断技术和治疗措施存在诸多不足,导致患者住院率、病死率和致残率均较高,生活质量和社会回归率差,给世界各国带来沉重的医疗负担,对社会经济政治产生全面影响,已成为严峻的公共卫生问题。
为应对这一挑战,2024年5月,中国肾脏创新与转化联盟(China Kidney Innovation Association,CKIA)专家们共同制定了《肾脏病领域“十大创新方向”中国专家共识(2024年版)》。

旨在通过汇聚肾脏病领域专家的学术思想,共识该领域重大需求的创新突破点,引领肾脏病的未来发展方向。在这 “十大创新方向” 中,肾脏病的细胞疗法备受瞩目。
近年来,细胞疗法在再生医学、恶性肿瘤、自身免疫性疾病等多个疾病领域取得了快速进展。在肾脏病领域,应用干细胞治疗多种急性肾损伤及慢性肾脏病动物模型显示出多靶点的肾脏保护作用,具有临床转化前景;以嵌合抗原受体T细胞免疫疗法(chimeric antigen receptor T-cell immunotherapy,CAR-T)为代表的免疫细胞疗法已经成功应用于自身免疫性疾病的临床治疗,其在重症免疫性肾炎中的应用值得进一步研究与转化。
研发方向:
1.优化和研发安全有效的肾脏病细胞治疗制剂,建设完善肾脏病细胞治疗的质控体系。
2.开展干细胞治疗肾脏病的临床前和临床研究,评估其安全性和有效性,建立肾脏病干细胞治疗策略。
3.开展细胞治疗重症、难治性免疫性肾炎的临床应用研究。
肾病是指一组影响肾脏功能的疾病和状况。肾脏是体内重要的器官,负责过滤血液中的废物、调节体液平衡、维持电解质水平以及产生激素等。肾病可以导致肾脏功能的减退,进而影响整个身体的健康。常见的肾病包括:
-
慢性肾病(CKD):指肾功能逐渐下降,可能由糖尿病、高血压、肾小管疾病等引起。
-
急性肾损伤(AKI):通常是由于严重感染、脱水或药物毒性等原因导致的肾功能突然下降。
-
肾炎:通常是由感染或免疫反应引起的炎症,常见的有急性肾小球肾炎和慢性肾小球肾炎。
-
肾结石:肾脏内形成的结晶,可能导致疼痛和尿路梗阻。
-
多囊肾病:遗传性疾病,肾脏内出现多个囊肿,影响正常肾功能。
传统的肾脏疾病治疗方法主要包括药物治疗、透析和肾移植。然而,这些方法都存在一定的局限性和挑战。
近年来,随着干细胞技术的快速发展,通过输注干细胞,可改善甚至逆转慢性肾病的病情发展。干细胞已逐渐在慢性肾病、急性肾损伤、糖尿病肾病、肾纤维化等肾脏疾病的基础研究中表现出良好研究成果,越来越多的临床试验证实了干细胞治疗肾病的有效性和安全性。
干细胞治疗肾病的临床研究
1、干细胞治疗慢性肾病
2024年3月14日, 中国科研人员在期刊《疾病与健康研究最新更新》上发表了一篇关于‘间充质干细胞治疗慢性肾病(肾衰竭和多次发作的肾结石)’的临床病例报告。

本病例报告描述了一名58岁的男性,他有复发性肾结石病史,估计肾小球滤过率 (eGFR) 下降,血尿素氮 (BUN) 升高,血清肌酐升高,担心慢性肾病 (CKD) 第3期发展,在两个月内共接受了四次间充质干细胞治疗,每次输注5.0×108间充质干细胞。
治疗五年后显示没有复发性肾结石,eGFR、血清BUN和肌酐水平正常,这表明间充质干细胞可以成为一种安全有效的现代慢性肾病和肾结石治疗方法。
研究表明,早期诊断和使用间充质干细胞疗法治疗有可能改善肾衰竭,并可能成为预防未来血液透析或肾移植的黄金标准。
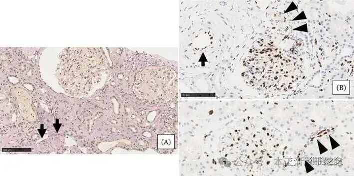
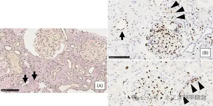
2、干细胞治疗狼疮肾炎
2022年9月17日,国家肾脏病临床研究中心在行业期刊《狼疮》上发表了一篇关于’干细胞治疗难治性狼疮性肾炎的长期随访——20例患者系列研究‘的临床研究成果。

本次研究数据来自22例接受细胞治疗的难治性狼疮性肾炎患者。
20例长期随访患者,平均随访时间为92个月(63.25–109.5)。18例患者获得完全缓解,1例患者获得部分缓解。10年总生存率、10年无病生存率及10年肾脏生存率分别为100%、35%及90%。复发率为45%。
结论:本研究提示ASCT治疗难治性狼疮性肾炎安全、有效,有利于改善其长期疗效。
3、干细胞治疗糖尿病肾病
2016年4月福州某医院泌尿外科对15 DN患者,男8例,女7例 ;年龄(46.40 ± 8.91)岁,经胰背动脉、双肾动脉介入及外周静脉回输UCMSC治疗糖尿病肾病的患者为实验组,另外肾内科收治的15例单纯采用口服缬沙坦,皮下注射胰岛素治疗糖尿病肾病的患者为对照组。
监测两组患者治疗前及治疗后3个月的血压、血糖、C肽值以及肾功能指标的变化情况来分析比较两组患者的治疗效果。
疗效评估:经治疗后,两组患者的收缩压、 舒张压、空腹血糖、餐后2h血糖、尿素氮、血清肌酐、24h尿白蛋白定量均较治疗前下降,空腹C肽、餐后2hC肽值均较治疗前升高,见下表。


对两组患者治疗前及治疗后3个月的各项指标差值进行比较,在舒张压、尿素氮、血清肌酐、24h尿白蛋白定量这4个指标方面,实验组患者下降程度较对照组明显,见下表。

安全性分析:经胰背动脉、双肾动脉介入及外周静脉回输UCMSC后,患者出现穿刺点渗血1例、乏力症状2例、低热(体温36.9℃)l例,给予对症处理后可完全缓解。
实验结果提示:经胰背动脉、双肾动脉介入及外周静脉回输UCMSC治疗DN,与单纯控制血压、血糖等常规治疗DN的方法均能有效控制患者血压、血糖以及改善患者肾功能。
但经胰背动脉、双肾动脉介入及外周静脉回输UCMSC治疗DN,在控制舒张压、尿素氮、血清肌酐和24h尿白蛋白定量方面,其疗效优于单纯控制血压、血糖等常规治疗方法,尤其在改善患者肾功能方面效果显著。
4、干细胞治疗急性肾损伤
2021年5月6日,日本研究团队在《干细胞转化医学》上发表文章,分享了利用干细胞成功治疗急性肾损伤患者的经验。

研究团队选取了一名36岁男性患者的严重急性肾损伤,因顽固性高血压合并微血管病态溶血导致急性肾损伤合并慢性缺血性肾损伤,患者经血液透析后血肌酐(7.56 mg /dL)仍然很高,后接受了干细胞治疗。

方法:将期待来源的干细胞直接注入双侧肾动脉。治疗后除了出现一过性发热和血小板增多外,未出现严重不良事件。
结果:治疗后23周,他的血清肌酐(2.96mg/dl)水平显著改善,此外仅用60mg硝苯地平和20mg奥美沙坦便可以很好地控制之前难以控制的顽固性高血压。
综上所述:干细胞治疗肾脏疾病作为一种新兴的治疗手段,具有巨大的潜力和广阔的应用前景。相信未来将为众多肾病患者带来实质性的改善,更有可能使他们彻底摆脱疾病的痛苦。



|