 |
|
|
 |
咨询热线:400-1010-468 http://www.shbzsw.com.cn E-mail:SHBZSW@163.COM 地址:上海市世贸大厦
|
|
 |
|
|
|
|
| |
| NK细胞疗法让晚期肝癌患者重获生机,肝功能奇迹恢复 |
| 发布时间:2025-03-07 文章来源:本站 浏览次数:728 |
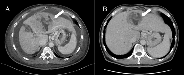
| NK细胞是一种天然免疫细胞,具有与T细胞完全不同的靶细胞识别方式,能泛特异性识别并杀死瘤细胞。NK细胞对肿瘤、病毒、寄生菌和机体老化变异细胞都具极强杀伤和清除能力。目前,NK细胞等免疫细胞疗法成为继手术、化疗、放疗和靶向治疗之后的第五种肿瘤治疗方法。01 、NK细胞联合疗法,让晚期肝癌患者脱离姑息治疗2024年8月5日,国际权威期刊《Cureus》发布了一项最新的临床案例分析,一名罹患晚期肝细胞癌(HCC)的患者,在接受了一种联合NK细胞治疗方案后,其肝功能得到明显改善,并且肿瘤体积也显著缩小,为后续治疗创造了有利条件。一位61岁的男性病患,既往存在丙型肝炎病毒感染,因腹部鼓胀症状入院,体内积聚超过3升的大量腹水紧急入院,被确诊为HCC T4N1M1 ⅣB期,伴有广泛的淋巴结转移、多发性肺部转移以及骨转移。因肿瘤导致的门静脉高压处于显著的腹水累积状态。检测结果揭示,患者淋巴细胞占比偏低,肝功能受损严重,且肿瘤标志物含量较高。鉴于其肝功能储备不良,仅能采取姑息性治疗手段,患者决定尝试联合新型免疫细胞疗法。研究团队制定了一套免疫治疗方案。首先,从脐带中分离出血液成分进行培养,经过14天的培养后,开始实施DC疫苗与纳武利尤单抗的联合治疗,前4个疗程每周一次,之后调整为每2周一次,共计7个疗程。同时,每3周进行一次NK细胞疗法,共3个疗程。经过3轮联合治疗,患者的体能状态有所好转,腹部紧张感明显缓解。在6个联合疗程后,患者的肝功能得到了显著提升,CT显示原发肿瘤及转移瘤的体积均有所减小,腹水完全消失。同时,治疗后患者的肿瘤标志物水平显著下降,维生素K缺乏诱导的蛋白-II也恢复正常范围。白细胞的整体状况及淋巴细胞比例均改善至正常。在肝功能得到改善后,于第7个联合疗程起开始接受标准治疗,进一步增强抗癌效果。02、 肿瘤术后进行NK细胞治疗,预防结直肠癌复发转移2023年7月,《Cancer Reports》期刊上公布了一则临床案例,一名患有结直肠癌的64岁女性患者接受NK细胞治疗2个周期后,复发转移停止进展。该案例是一位64岁女性患者,因横贯性结肠肿瘤引发的肠梗阻和血性腹泻就医。2018年12月,她接受了横结肠切除术,术后病理报告显示为横结肠腺癌,淋巴结受累阳性(III期),且肿瘤被完整切除(R0状态)。术后两个月,患者的癌胚抗原(CEA)水平为1.3ng/mL。她拒绝了辅助化疗,六个月后,PET-CT扫描显示间膜淋巴结葡萄糖摄取阳性,可能存在肿瘤复发。随后,患者接受了两个周期的NK细胞疗法,第二次治疗与第一次相隔三个月。在切除手术后三年,患者接受了PET-CT扫描随访。PET-CT扫描结果显示,未发现更多的葡萄糖摄取,患者对治疗的耐受性极佳,未报告任何与免疫相关的不良反应。在结肠癌根治性手术后三年的随访中,患者能够良好地适应日常活动,至今仍未出现局部复发的迹象和症状。在人体免疫系统的众多细胞“战士”中,NK细胞无疑是一位杰出的“抗癌英雄”,NK细胞无需预先激活,就能直接识别并消灭癌细胞,展现出强大的抗肿瘤作用。在这个不断发展的环境中,NK细胞疗法有望成为最有效的肿瘤治疗方式之一,肿瘤治疗不仅仅是一场战斗,而是一种个性化的、有针对性的、有效的治疗策略。
|
|
|