| 卵巢是女性的“青春之源”,而对于一些卵巢早衰的女性来说,不仅影响了生育,还让衰老提前到来。临床上针对卵巢早衰的治疗手段十分有限,通常以缓解症状为主,而干细胞具有增殖分化、旁分泌、免疫调节、促进血管生成等功能,在抑制颗粒细胞凋亡、改善卵巢功能方面有望为卵巢早衰患者带来新的希望。其实,在女性与衰老这场拉锯战中,起着决定性作用的便是——卵巢。它可以说是操控着女人青春和衰老的“魔力之手”,会影响到女性皮肤、神经、免疫等400多个组织器官的青春与活力。可以说,卵巢就是女性的“青春之源”。通常情况下,女性在50岁左右开始进入绝经期,但往往有些女性因为种种原因导致45岁前就出现停经及更年期症状,这不仅影响了女性的生育能力,更让女性提前陷入“早衰期”。而卵巢早衰的治疗,临床上也主要以补充激素暂缓症状为主,根本无法治愈,且长期的激素干扰恐怕还会引发副反应。干细胞被喻为“万能细胞”,近年来颇为火热,成为科学家们探索难治性疾病的新选择。一项干细胞治疗年轻女性卵巢早衰的结果显示:干细胞让卵巢早衰女性恢复生育能力,且推迟了患者的更年期。研究中2名患者血清激素水平在回输干细胞后3个月开始显著增加,效应至少维持了一年,她们的更年期症状也已经被完全消除!有些患者的月经也恢复了正常。

△ 干细胞疗法可能有助于逆转更年期的影响,恢复生育能力
这对卵巢早衰患者而言,无疑是最好的结果,干细胞或许能够成为她们新的治疗选择。卵巢老1岁,女人老10岁,可见卵巢对女性的意义尤为重大。但在人生的某个时候,女性卵巢的功能总归有一天会衰老,对于一般女性来说,在50岁左右卵巢会失去正常功能,进入更年期。但对于有些女性来说,甚至在40岁之前卵巢就失去了正常功能,绝经了!在医学上,这叫卵巢早衰(premature ovarian failure, POF),近年来,卵巢早衰发病越来越年轻化,对女性造成了不小的麻烦,她们怕绝经、怕衰老、怕怀不了孩子……
而在日常生活中更困扰她们的是一些摆脱不了的症状:潮热、盗汗、头痛、血压不稳、心悸、骨关节疼痛、情绪变化、睡眠不佳,甚至几个月都不来月经,对于一些三四十岁还想要孩子的患者来说,更是难上加难。
这些都是更前期综合征,因为卵巢的早衰让这一切都提前了,面对这些综合征,很多女性的态度是“过了这一阵儿就好了”,而她们不知道,围绝经期的危害不仅是综合征,在她们默默忍受痛苦的时候,身体也在悄悄改变:随着体内雌激素的下降,骨量呈陡坡式快速丢失,血脂改变进而引发心脏病等。
卵巢早衰绝对不能混过去,只有积极进行医疗干预,才可以挽回年轻,但传统的方法也只能暂缓症状,甚至激素的使用还会增加乳腺癌等恶性肿瘤的患病风险。
随着如今再生医学技术的成熟,干细胞或能帮助卵巢早衰患者,摆脱困扰!
改善卵巢功能,逆转更年轻——干细胞做到了
经过多年的科学实验、临床研究以及医学报道,干细胞对多种卵巢功能退化有比较好的改善功效。
一项干细胞治疗年轻女性的卵巢早衰的研究结果证明了干细胞的神奇功效。
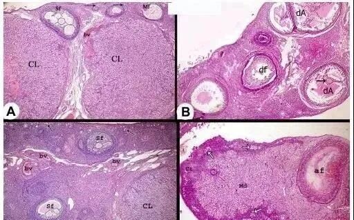
这项研究从脐带组织中提取了间充质干细胞,并且通过微创腹腔镜的手段将细胞输入患者一侧的卵巢中,同时保证另外一侧卵巢不受影响。之后,研究人员对患者的血常规、卵巢成像以及更年期症状进行定期调查。
△ 干细胞治疗后,卵巢体积、各级卵泡数等都明显增加
结果显示:接受治疗的一侧卵巢相比对照侧卵巢体积有明显增大,而且患者接受干细胞治疗后也没有出现明显的副作用。
更为惊奇的是,其中有2名已经完成治疗的参与者血清雌激素水平在注射干细胞后3个月就开始增加,效应至少维持了一年!而且她们的更年期症状完全被消除了。另外,也有6名参与者的月经周期也恢复了正常。
干细胞有“归巢”属性,可迁移定植于损伤部位如卵巢,并能在器官内存活生长,分化为卵巢细胞,替代并修复受损的组织,同时还会分泌细胞因子抑制卵巢细胞的凋亡,从而达到改善卵巢功能,平衡激素水平的作用,改善由生殖系统衰老引起的一系列症状,实现由内而外的年轻态。
其实,不仅仅是治疗卵巢早衰,大量的研究数据和临床表现证明,对于正常女性临近更年期,或者有延缓卵巢衰老的需求都可以接受干细胞治疗。而干细胞也不止在抗衰的“新武器”,更在多种疾病治疗中得到广泛应用,比如血液系统疾病、神经系统疾病、心血管系统疾病以及代谢性疾病等等,并取得良好的临床效益。
相信随着对干细胞研究的深入,干细胞将为更多人带来益处。
写在最后
干细胞的再生和修复功能,让其成为了有望抵抗人类衰老的“新武器”,不止是在卵巢早衰的疾病治疗中,在退行性疾病,阿尔兹海默症,骨关节退化甚至糖尿病、自身免疫病等疾病中都被证实了具有一定疗效,干细胞注定将为人类抗衰带来一场新的变革,让人类活到终极年龄120岁,将不再是梦。



|