设为首页 加为收藏 联系我们
当前时间:
咨询热线:400-1010-468  
http://www.shbzsw.com.cn  
E-mail:SHBZSW@163.COM  
地址:上海市世贸大厦
行业新闻 您的当前位置:首页 -> 新闻中心 -> 行业新闻  
 
间充质干细胞治疗再生障碍性贫血疗效显著
发布时间:2025-05-08 文章来源:本站  浏览次数:540

再生障碍性贫血(AA)是一种以骨髓发育不全和外周血全血细胞减少为特征的骨髓衰竭综合征。患者往往依赖于血液的输注,未及时治疗易导致死亡,最常见的是感染或出血。目前治疗主要集中在造血干细胞(HSCs)移植或抑制免疫介导的骨髓干细胞破坏。研究发现MSCs输注可以恢复骨髓造血微环境、产生多种细胞因子,MSCs还在调节移植免疫方面发挥着重要作用,可以降低移植物抗宿主病(GVHD)的发生。

图片

01

治疗现状

    导致AA骨髓造血衰竭的确切机制尚不清楚,可能包括:原发性HSCs缺陷、免疫介导的造血抑制、BM 微环境缺陷等。目前再生障碍性贫血的治疗方法为雄激素、免疫抑制治疗或造血干细胞移植。但由于我国独生子女比较多,人类白细胞抗原(HLA)相合配型比较困难,且费用昂贵,5%~15%的患者因GVHD影响生活质量。因此有必要探索一种新的治疗手段。研究表明间充质干细胞是一种多能干细胞,能够与造血干细胞相互作用,提供造血干细胞生长所需的基质及生长因子、改善造血微环境,恢复骨髓造血功能。

02

干细胞疗法及其研究

研究发现。AA患者骨髓间充质干细胞明显异常,表现为分化缺陷、血管生成减少、骨髓脂肪化。

图片

基因表达谱分析发现,与健康对照组相比,AA患者骨髓间充质干细胞中有300多个基因差异性表达:这包括细胞凋亡和免疫应答相关基因的上调,此外AA患者骨髓间充质干细胞通过趋化因子(CXCLl2)和成纤维细胞生长因子(FGFI表达下调而降低其增殖潜能。

研究将MSCs(1×106/只)输注给AA小鼠,21 d后治疗组血象逐渐恢复,而模型组血象未恢复。

图片

外周血白细胞的变化。各组白细胞在7d时均下降,MSCs组和放疗组在21 d时恢复正常,而AA模型组白细胞未恢复正常。

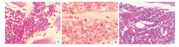
小鼠股骨病理切片显示治疗组细胞比例明显低于AA模型组,与单纯照射组结果一致。

图片

三组小鼠大腿骨造血功能的变化(HE染色)。A: 放射治疗组B:AA模型组C:MSCs组

在动物实验中发现HSCs联合MSCs输注可显著提升外周血及骨髓中有核细胞数量,并且证明输注的MSCs可长期存在于造血微环境中。有研究发现,接受致死剂量放疗,导致骨髓抑制的小鼠,输注MSCs后骨髓可恢复造血功能,MSCs的作用在输注的早期即可起效。

03

MSC作用机制

3.1 MSCs的免疫调节作用

MSCs调节免疫反应的机制包括与各种免疫细胞相互作用,在不同的微环境中分泌可溶性介质。此外间充质干细胞具有低免疫原性,抑制免疫排斥反应,促进免疫重建。MSCs不表达主要组织相容性复合体Ⅱ类分子(MHCII)、B7-1、B7-2、CD40、CD40L及Fas配体。因此很难被机体的免疫系统识别,这为间充质干细胞的临床应用打下基础。间充质干细胞对T细胞、NK细胞和抗原递呈细胞,具有显著的免疫抑制作用。

3.2 MSCs改善人造血微环境

骨髓造血微环境由骨基质细胞、胞外基质及一些细胞因子等组成。骨髓基质细胞包括骨髓间充质干细胞(BMSC)以及一些较成熟细胞,如成纤维细胞、脂肪细胞、内皮细胞和成骨细胞等,通过分泌某些细胞因子调控HSCs的生理功能。骨髓间充质干细胞作为骨髓微环境的关键前体细胞,在血细胞形成过程中起着重要的作用,MSCs分化为多种基质细胞构成HSCs生态位,分化后的MSCs支持造血,几乎调节全身免疫细胞功能,维持机体免疫稳态。MSCs在维持长期造血中起着重要作用,有研究表明,间充质干细胞缺陷可抑制造血功能。

3.3 MSCs分泌多种细胞因子支持造血作用

MSCs通过分泌各种细胞因子和可溶性分子对免疫系统具有抑制或调节作用,这些可溶性分子可以迁移到特定的受损部位发挥长时间免疫调节效应。这对于AA改善骨髓微环境、保护造血干细胞和祖细胞尤为重要。据推测,骨髓间充质干细胞缺陷可能会阻止足够的造血功能。此外MSCs还可以产生多种具有调控和支持造血的物质:如粒细胞.巨噬细胞集落刺激因子(GM—CSF)、白介素(IL)等多种黏附分子

图片

结语

综上所述,越来越多的研究表明,间充质干细胞可促进移植造血干细胞的归巢,改善造血微环境,产生多种细胞因子,加速造血功能的恢复,降低GVHD的发生。间充质干细胞在AA治疗中有着显著的疗效,随着对间充质干细胞深入研究,将为临床应用打下坚实的基础。总之,充分探索间充质干细胞的免疫学特性和所存在的问题,将有望为临床治疗AA开阔新的前景、创造新的希望。

图片
图片
图片


上一篇: 干细胞疗法为系统性硬皮病患者减轻痛苦!
下一篇: 干细胞疗法为慢阻肺患者打开肺修复新可能
关于我们  |  公司掠影  |  新闻中心  | 联系方式  |  在线留言
版权所有 Copyright(C)2015-2016 上海本正清源干细胞科技集团有限公司