设为首页 加为收藏 联系我们
当前时间:
咨询热线:400-1010-468  
http://www.shbzsw.com.cn  
E-mail:SHBZSW@163.COM  
地址:上海市世贸大厦
行业新闻 您的当前位置:首页 -> 新闻中心 -> 行业新闻  
 
干细胞帮助尿毒症患者走上康复之路
发布时间:2025-12-13 文章来源:本站  浏览次数:113

对终末期肾衰竭(尿毒症)患者而言,肾移植是摆脱透析、重获新生的终极希望。但术后终身服用的抗排异药,却像一道难以挣脱的枷锁 —— 不仅让患者承受长期经济负担,更会大幅削弱免疫力,使感染风险飙升,还可能诱发糖尿病、高血压甚至恶性肿瘤,不少患者因药物副作用陷入二次健康危机。

如今,意大利药理学研究所的科研团队带来了颠覆性突破。其发表在《干细胞医学杂志》上的研究证实,通过间充质干细胞治疗,一名 37 岁的尿毒症肾移植患者已停服抗排异药18 个月,且肾功能各项指标依旧正常,治疗后 8 年肾组织状态与术后 1 年基本一致。这一成果为全球尿毒症移植患者开辟了 “无药生存” 的新路径,被业内专家评价为 “改变器官移植游戏规则” 的重大进展。


Part.01

肾移植的核心困境:抗排异药困局

终末期肾衰竭患者的肾脏已丧失正常滤过功能,只能依靠血液透析或腹膜透析维持生命,而肾移植能重建肾脏功能,是目前最有效的根治方案。但移植后的排异反应,让患者陷入新的两难

图片

人体免疫系统会通过器官表面的 “特异性标志物” 识别 “外来者”,移植肾植入后,免疫系统会迅速调动免疫细胞发起攻击,破坏肾组织和血管,这就是排异反应为保护移植肾,患者必须终身服用免疫抑制剂,也就是抗排异药

这些药物虽能抑制排异反应,却属于 “全面压制” 模式 —— 无差别降低免疫系统活性。长期服用的副作用十分棘手:感染风险显著增加,小到感冒都可能引发严重并发症;代谢紊乱高发,诱发糖尿病、高血压的概率大幅上升;还会增加恶性肿瘤的发病风险,让患者在 “保肾” 与 “防病” 之间艰难平衡。“摆脱抗排异药”,成为无数移植患者的共同心愿。


Part.02

干细胞的 “免疫调节术”

给移植肾发 “安全通行证”

有没有办法让免疫系统主动 “接纳” 移植肾,无需药物压制也不发生排异?意大利科研团队将突破口锁定在间充质干细胞上。这种来自脐带的干细胞具有强大的免疫调节能力,能像 “调解员” 一样,从根源上改变免疫系统对移植肾的 “态度”。

图片


排异反应的本质:免疫系统的 “识别误判”

每个人的器官都有独特的 “免疫身份证”,移植肾的 “身份证” 与患者自身不符,就会被免疫系统判定为 “入侵者”,进而启动攻击程序。传统抗排异药是 “硬压制”,直接削弱整个免疫系统的战斗力;而间充质干细胞则是 “软调节”,通过精准干预,让免疫系统 “认识” 并 “接纳” 移植肾。


干细胞的双重 “绝招”:诱导免疫耐受

动物实验早已证实,间充质干细胞能诱导免疫系统对移植肾产生 “免疫耐受”。其作用机制主要有两点:一是分泌特殊细胞因子,“教育” 免疫细胞(如调节性 T 细胞),抑制其攻击活性,让免疫细胞不再把移植肾当作敌人;二是抑制炎症反应,减少免疫细胞向移植肾聚集,避免肾组织受到免疫攻击损伤。

这种 “不压制整体免疫、只调节针对性攻击” 的方式,完美解决了抗排异药的弊端 —— 既保护了移植肾,又保留了免疫系统对抗感染、肿瘤的正常功能,真正实现了 “免疫豁免”。


Part.03

真实案例:

5 年停药,8 年肾健康的临床奇迹

2010 年 10 月,一位 37 岁的终末期肾病男性患者接受了亲属活体肾移植,成为该干细胞治疗方案的临床试验对象。整个治疗流程设计极为精准:

移植前 1 天,医生将脐带组织分离出间充质干细胞通过静脉输液回输患者体内。这一步是为了让干细胞提前在体内 “铺路”,预先调节免疫系统状态,为移植肾的 “到来” 做好准备。移植后 6 天内,患者每天接受低剂量的兔抗人胸腺细胞免疫球蛋白输注,作为辅助治疗降低早期排异风险。

术后随访过程中,医生持续监测患者的肾功能指标、免疫功能状态及排异迹象:

移植后第 2 年,患者肾功能稳定,医生开始逐步减少抗排异药剂量,整个过程缓慢谨慎,避免出现波动;

移植后 5 年多,患者彻底停服所有抗排异药,成为 “无药维持” 的移植者;

图片

停药 18 个月后,复查显示血肌酐、尿素氮等核心肾功能指标全部正常,无任何排异反应迹象,日常生活与健康人无异;

图片

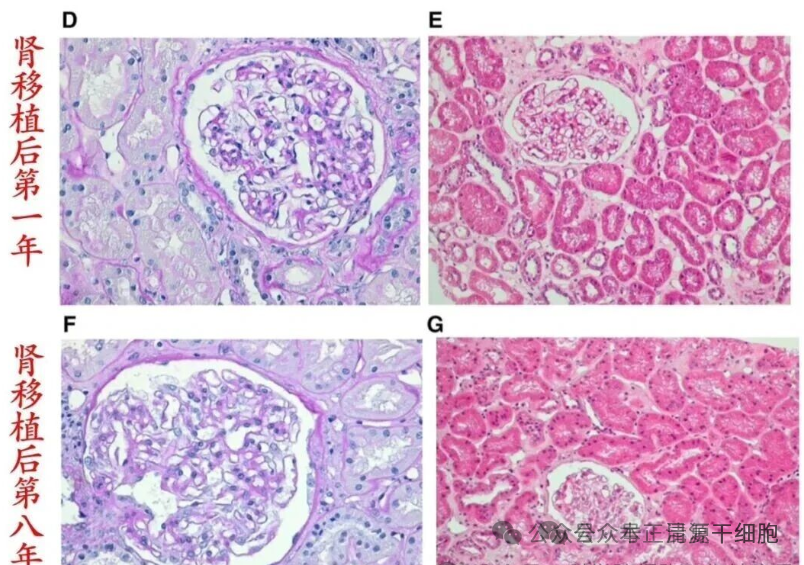
移植后第 8 年,肾活检结果显示,移植肾的组织结构和功能与术后 1 年时几乎一致,无排异损伤,也无明显老化迹象,免疫系统始终稳定 “接纳” 这颗移植肾。

图片

值得注意的是,该研究并非一帆风顺。团队早期曾尝试在移植后输注干细胞,导致患者出现短暂肾移植功能障碍;后续调整方案,将干细胞输注时间改为移植前 1 天,才成功避免了不良反应,这也为后续临床应用提供了关键经验。


Part.04

未来可期:尿毒症治疗的新方向

这例 “停药 18 个月、8 年肾健康” 的案例,虽目前仍是全球首例,但已打破了 “肾移植必须终身服用抗排异药” 的固有认知。业内专家表示,尽管该技术仍处于早期阶段,但一旦成熟推广,将彻底改变器官移植的临床格局。

对尿毒症患者而言,这一突破带来了多重希望:不仅能降低移植后的长期用药负担,更能减少药物副作用带来的健康风险,大幅提升生活质量。未来,随着研究的深入,间充质干细胞治疗可能会应用于更多肾病患者,甚至为其他器官移植(如肝移植、心移植)提供参考方案。

需要提醒的是,目前该技术仍处于临床试验阶段,尚未普及应用。对广大肾友来说,当下仍需遵循医嘱,做好日常健康管理和术后护理,密切关注医学前沿进展。医学的进步从不会停止,这例干细胞治疗的成功,正是无数科研工作者努力的成果,也预示着未来会有更多新技术、新疗法,帮助肾病患者摆脱病痛,回归健康生活。

图片
图片
图片


上一篇: 外泌体心血管健康卫士,预防动脉粥样硬化风险
下一篇: 干细胞研究为唐氏综合征开辟新路径
关于我们  |  公司掠影  |  新闻中心  | 联系方式  |  在线留言
版权所有 Copyright(C)2015-2016 上海本正清源干细胞科技集团有限公司